王女士,48岁,半年前当地检查ct发现左肺结节,无明显症状,当时医生嘱3~6个月复查,后来我院查ct,影像及报告见下图


问症状,患者仅有微咳嗽,胸闷,舌质淡,苔薄白,脉弦细。考虑为寒痰凝结,温化寒痰治疗一个月后查ct,影像及报告见下图:


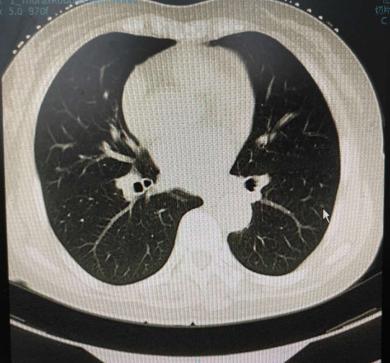
结节明显变小,前方继续加减治疗2个月,停药半个月,复查查ct,影像及报告见下图,结节基本消失。


肺内很多疾病都会形成结节,如炎症、结核、霉菌、亚段肺不张、出血等。良性的包括炎性假瘤、错构瘤、结核球、真菌感染、硬化性肺细胞瘤等。恶性的则可能是原发性肺癌或肺内转移癌。也有部分良性病变,时间久了也可能转化为恶性。西医基本处理方法是连续CT扫描密切随访观察(一般需要6年以上)、非手术活检和外科手术。
在临床实践中发现肺部结节,特别是小于8mm的结节,由于病灶小,非手术活检,操作困难,纤支镜检查很难达到这个位置,经皮肺穿刺也很难这么精准的定位,所以很难定性。手术切除的代价又太大,如果不是恶性肿瘤,就没必要手术切除,假如进行了手术切除,经济花费不说,手术对身体的损伤,特别是对人体元气的损伤,是很长时间恢复不了的,实在得不偿失。即使费尽周折暂时定性为非恶性,西医目前还没有统一治疗方案,还是继续观察。耗时长,心理压力大。
主张不能消极等待,应该积极介入,充分发挥中医药特色优势进行治疗。在临床上,有时ct报告建议抗炎治疗,但抗炎治疗基本无效。抗菌素从中医角度看都是苦寒之品,通过临床观察发现肺结节很多是寒痰凝结,需用温化之药才能消散。
经过近年的临床观察总结,深入挖掘古代典籍有关这方面的论述,结合患者临床表现,及自己的诊治经验,目前把肺部结节可以分为以下几个类型:
一是寒痰凝结,二是热痰凝结,三是津亏痰结,四是血瘀凝结,治疗时需分别不同类型辩证治疗,收到了很好的疗效。一般服中药1~3个月后,一部分结节会消散吸收,一部分会发生钙化,这两种情况属治愈。
还有一部分结节继续增大,这种情况一般是恶性的,建议患者及时手术切除。这样处理可以短时间解决问题,或者明确诊断,不会延误病情。 中医诊治的优势非常明显。