栏目介绍
彤心飞传是由天津医科大学第二医院心脏科刘彤教授和郑州大学附属洛阳中心医院心内科谷云飞共同推出的一档心血管前沿文献速读栏目。每期精选国际顶级期刊心血管领域的最新文献进行深度呈现,以期让国内相关专业人员可以同步跟踪学科进展,了解前沿动态资讯,获取最新研究结论。
功能性二尖瓣返流的严重程度与心力衰竭患者全因死亡率和HF再住院治疗密切相关。然而,手术或经皮介入治疗的临床获益应与手术相关风险进行权衡,目前尚无证据表明通过干预重度功能性二尖瓣返流(MR)可提高心衰患者存活率,或长期改善患者症状。尽管二尖瓣手术是原发性重度MR的标准治疗,但对于继发性重度MR的二尖瓣干预治疗的结果仍然不甚理想,这些患者常常出现对最佳药物治疗无反应的严重症状,也是目前心血管疾病治疗领域的一大难题。
心肌损伤后左室重构可导致功能性MR,常见于心肌梗死或心力衰竭(HF)患者。由于继发性功能性MR通常由左室功能障碍进展而来,因此针对HF的治疗是目前治疗继发性功能性MR的主要方法。虽然β受体阻滞剂,血管紧张素转换酶*制剂抑**和血管紧张素受体拮抗剂可以部分减轻心肌损伤后左室扩张和重构,但这些药物对左室重构的影响可能不足以改善MR的严重程度。此外,目前还没有前瞻性临床研究通过定量评估MR来评价药物治疗能否改善功能性MR。
沙库巴曲/缬沙坦含有脑啡肽*制剂抑**沙库巴曲和血管紧张素受体拮抗剂缬沙坦,在射血分数下降的症状性心衰患者中较ACEI显著降低患者死亡风险和再住院风险,目前心衰指南已经推荐沙库巴曲/缬沙坦可替代ACEIs或ARBs。由于脑啡肽酶*制剂抑**具有血管扩张作用并促进钠排泄,肾素-血管紧张素系统和脑啡肽酶的联合抑制比单独使用ACEI或ARB具有更大的血流动力学和神经激素改善作用。功能性缺血性二尖瓣返流药物干预试验(PRIME)旨在评价沙库比曲/缬沙坦(ARNI;血管紧张素受体脑啡肽酶*制剂抑**),通过双重抑制肾素-血管紧张素系统和脑啡肽酶,在改善功能性MR方面是否优于单独使用缬沙坦治疗,其结果刚刚发表在Circulation杂志上。
这项双盲随机对照临床试验入选了118名心衰患者,所有患者均合并继发于左心功能不全的慢性功能性MR,随机分为两组,除接受心力衰竭标准药物治疗外,分别接受沙库巴曲/缬沙坦或缬沙坦治疗。主要研究终点为自基线到12个月随访期间功能性MR的有效返流面积(EROA)的变化。次要研究终点包括二尖瓣返流量、左室收缩末期容积、左室舒张末期容积和二尖瓣叶关闭不全面积的变化。
最终完成1年随访的117例患者的意向性分析显示,相比缬沙坦组,沙库巴曲/缬沙坦组患者EROA下降更显著(-0.058±0.095 Vs -0.018±0.105cm2;P = 0.032)。与缬沙坦组比较,沙库巴曲/缬沙坦组患者二尖瓣返流量也显著下降(平均差-7.3 ml,95%CI为-12.6至-1.9; P = 0.009)。除LV舒张末期容积(P = 0.044)外,二尖瓣关闭不全面积和左室容积变化值两组间无显著差异。两治疗组间的血压变化没有显著差异,沙库巴曲/缬沙坦组有7例(12%)患者、缬沙坦组9例(16%)患者发生一个及以上严重不良事件(P = 0.54)。
PRIME试验证明血管紧张素受体-脑啡肽酶*制剂抑**较血管紧张素受体拮抗剂更有效地改善与心力衰竭相关的功能性MR。与缬沙坦相比,沙库比曲缬沙坦进一步降低了有效返流面积、左心室舒张末期容积指数、左心房容积指数和二尖瓣口血流速度与二尖瓣环运动速度(E / E')的比值。研究提示血管紧张素受体脑啡肽酶*制剂抑**可能是心力衰竭合并功能性MR的最佳药物治疗方案。(临床试验注册号:NCT02687932)。

图1 研究患者入选流程图

图2 两组患者的基线特征比较

图3 两组患者随访期间心衰治疗药物的变化

图4 意向性分析结果比较

图5 两组完成随访患者研究终点比较

图6 两组患者不良事件的比较

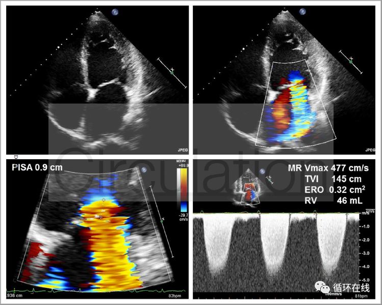
图7(A):基线超声心动图显示重度功能性MR.采用PISA半径和MR射流的峰值速度计算

图7(B):使用沙库比曲/缬沙坦治疗12个月后二尖瓣返流改善,EROA显著下降

图8 两组患者二尖瓣返流变化情况
专家简介

刘彤,天津医科大学第二医院心脏科主任医师,教授,天津心脏病学研究所心房颤动诊疗中心副主任。美国Cedars-Sinai医学中心医学博士/博士后,天津医科大学博士生导师。主要从事心脏起搏与射频消融、心房颤动的基础和临床研究。现任中华医学会心脏起搏与电生理分会青年委员、中华医学会心脏起搏与电生理分会房颤工作组委员、中国心电学会委员、中国医师协会心力衰竭专业委员会青委会常务委员、中国心力衰竭学会常务委员兼秘书、中国心脏联盟晕厥学会委员。承担国家自然科学基金项目3项,获天津市科技进步奖2项,在JACC等SCI杂志发表第一作者及通讯作者论文60余篇,主编及主译英文专著各1部,副主编专著2部。

谷云飞,郑州大学附属洛阳中心医院心内科副主任,副主任医师,现任中国医师协会心脏重症委员会青年委员、中国老年保健医学研究会老年心血管分会青年常务委员、中国医促会心律与心电分全国委员、海医会心脏重症委员会河南分会秘书、河南省心电生理与起搏分会射频消融学组委员、河南省生物医学工程学会介入分会委员、河南省卒中学会心律失常房颤委员会委员,《实用心电学杂志》、《医师在线》杂志编委,洛阳心脏网、循环在线微信公众平台主编。2015年获河南省青年心电图大赛一等奖,发表各类论文20余篇,参译专著2部,参编专著1部。擅长心律失常的诊断治疗、疑难心电图分析,主攻心内科的临床电生理检查、射频消融及永久起搏器植入。