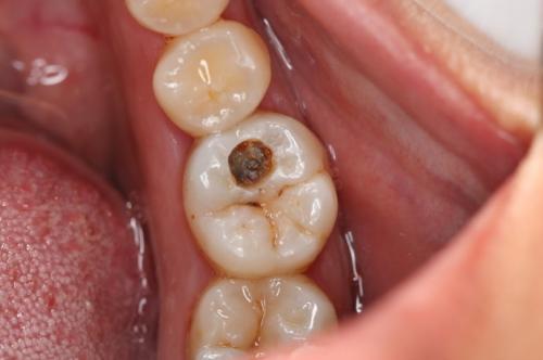
当牙齿硬组织出现脱钙、软化、破坏,最后便会形成蛀牙洞,我们就来说说龋齿(蛀牙)补牙这回事儿。
补牙材料有哪些?怎么选?
银汞合金
传统的补牙材料,修复性良好,价格最实惠,但美观度欠佳,对牙髓的刺激较大,适合后牙的填充修补。

玻璃离子
修复性好,有一定的防龋功能,对牙齿有保健作用,但抗压强度低、硬度低,易磨耗,适合其他补牙材料不易固位的,以及不配合治疗的儿童。

复合树脂
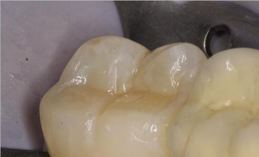
目前最常用的补牙材料,修复性好,颜色与牙齿相似,自然美观,但坚固性不及银汞合金。一般人群都适用,也可用于前牙的美容修复。
复合体
性能介于复合树脂和玻璃离子之间,一般人群都适用。

纳米树脂
它填料的颗粒度达到纳米级,半透明性,且有乳光色泽,相比复合树脂,逼真度更好、更耐磨、不易脱落。目前比较流行的是3M纳米树脂。

很多人问补牙的价格差别怎么那么大?这不仅跟牙齿的龋坏程度有关,也跟补牙材料有关。面对这么多的补牙材料,是不是选越贵的越好呢?并不一定!可以根据自己的龋坏情况、自身诉求、经济状况来选择。

只要发现龋洞,不管大小、深浅、部位,一定要及时修补。因为龋齿不会消失,只会越来越严重,越早补越省钱,当拖到牙髓炎时就需要做根管治疗了,要经历几周至3个月的治疗时间,费用也更高。