前些天在门诊遇到了一位前来就诊的中年阿姨,阿姨的主诉是发现颜面部不对称,牙齿有浮出的感觉。通过口腔专科的检查发现患者的下颌右侧磨牙区前庭沟膨大突出,让患者做曲面断层片发现患者是右下颌颌骨囊肿,通过询问发现这位阿姨在半年前右下颌磨牙疼痛难忍,但是患者没有及时到口腔科进行相关检查和治疗。只是自行服用了一些抗炎的和镇痛的药物,过了一段时间后牙齿疼痛消失了,患者以为没事了,直到最近发现前天沟区肿胀,导致颜面部不对称,患牙有浮出的感觉才来就诊,专科检查加上影像学检查后告诉患者颌骨内发生了囊肿,需要手术治疗。患者一脸茫然,怎么牙齿就疼痛了几天而且现在已经不疼了,怎么还能有囊肿呢?
先说说这位阿姨的颌骨囊肿是如何产生的?
我们的牙齿长在颌骨当中,牙齿需要靠牙髓的滋养,牙齿的结构是“三硬一软”三硬分别指牙釉质、牙骨质、牙本质。牙髓是软软的结缔组织存在于硬组织所构成的髓腔当中,由于患者口腔保健不好或者自身的体质原因,容易发生龋坏,如果龋坏没有得到及时的充填治疗,病情会向严重方向发展,发展成为牙髓炎,牙髓炎的明显特点是疼痛并且疼痛非常的难忍,特别是化脓期的牙髓炎,由于牙髓腔空间有限,化脓期的牙髓炎会导致髓腔压力的增高,使疼痛变得异常的难忍,这是缓解疼痛的方法,最好是通过开髓引流将压力得到释放,待炎症控制住再进行根管治疗!

如果说牙髓炎症没有得到控制,任其自由的发展它会转变成根尖周炎,牙髓炎的病灶仅仅局限在牙髓腔内,如果炎症没有得到很好的控制,那么炎症就会通过牙齿的根尖孔向牙槽骨内扩散,导致根尖周的炎症。当发生根尖周的炎症时,患者的疼痛变得更加的疼痛难忍,但是对于冷热刺激不再感到疼痛,转变为对于咀嚼食物会感到疼痛难忍,此时如果及时的采取根管治疗,那么根尖周的病灶也会逐渐的消退,直至消失!
如果说对于此症状任其发展,只是单纯的服用镇痛抗炎类的药物,仅仅使疼痛得到了缓解,那么病灶没有消除,会在颌骨内继续发展,形成三种类型的颌骨疾病,它们分别是根尖的肉芽肿、根尖的脓肿、根尖的囊肿!
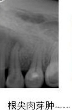
- 首先牙齿的根尖周炎最开始表现为根尖周的肉芽肿,影像即牙片上看到的肉芽肿,显示为中心为低密度区,而且病变范围要小于一个厘米,周围的边界清晰,肉芽肿早期也可以通过根管治疗达到治愈的目的,也就意味着根管治疗肉芽肿会逐渐消退,变回到正常的结构!

2.根尖周脓肿也是根尖周炎的一种,其也可以通过根管治疗进行根治,随着根管的开放,口腔治疗药物的逐渐作用,会导致根尖周的病灶逐渐的吸收,达到正常状态。根尖周肉芽肿的影像表现是病变范围,同样小于一个厘米,并辩中心显示为低密度区,但是与正常组织的边界并不清晰,显示出云雾状。

根尖周肉芽肿和根尖周囊肿都可以通过根管治疗达到治愈的效果。
如果这两种情况没有及时的处理,那么将会发生比较严重的根尖周囊肿,根尖周囊肿是这三种情况当中最严重的,可能的原因是由于根尖周肉芽肿中心部位的血运不足,中心发生化脓液化变大,变成根尖周囊肿,根尖周囊肿体积较大对颌骨造成破坏,在影像学上显示出低密度的影像,边缘界限清晰!

6根尖周囊肿的临床表现表:
根尖周囊肿,会导致颌骨逐渐的吸收,里面被囊性物质所替代,随着囊肿的逐渐扩大,会导致所累及牙的松动、移位。
随着颌骨的向外膨胀,会表现患者颜面不对称,随着颌骨的逐渐变薄,用手去按压肿胀部位,可感觉到像按乒乓球一样的感觉!也就是所说的“乒乓球样”严重者可以导致骨折的发生!
根尖周囊肿对应的处理方法是什么呢?
根尖周囊肿,不像根尖周肉芽肿和根尖周脓肿那样,通过简单的髓腔开放,根管治疗进行治愈。
- 必须采取外科手术,手术方法可以采用全麻或局麻。
第一种方法囊肿刮除术,在囊肿周围对应的牙龈前庭沟处进行切开,然后将周围的牙龈组织翻开,接着将病灶进行刮除,同时需要将累及的牙提前做好根管治疗。颌骨囊肿最常用的方法就是病灶刮除,也就是说直接将囊肿进行刮除这种方法通常适用于囊肿比较小的情况。
还有一种方法是开窗减压法,这种方法适用于骨囊肿很大,有的可能已经占据颌骨的大部分,如果采用刮除,很容易并发骨折等严重的并发症,所以在囊肿的表面选一较低的位置,做一个减压口,通过囊液的不断流出,使囊肿逐渐缩小到恢复正常,但是这种方法相对来说时间比较长,对于病变范围较大的囊肿适用。
虽然根尖周囊肿是一种良性病变当病灶刮出之后,颌骨内有血液的沉积,慢慢的激化,再次重新的形成新的骨质,但是需要一定的时间。
根尖周囊肿的手术费用大约在几千到一万左右,相比起来治疗牙齿要贵的多,同时患者也遭受了大的痛苦,所以说当牙疼之后一定要积极地进行早期治疗,以免带来后期的麻烦,以及经济上的损失!
原来这位阿姨的病情由龋坏变成牙髓炎最后变成根尖周炎经一段时间就变成根尖囊肿!
一颗牙如果处理不当,竟然也会引发如此大的问题,所以说牙痛不是小事,一定要引起大家的重视。
- 我是口腔科医师为大家分享临床上的事件,用专业知识帮大家解决口腔相关的问题!码字不易喜欢的朋友可以关注,也希望在大家在评论区进行探讨! #头条健康# #清云计划# #头条健康科普赛# #*今条头日**青云计划# #超能健康团#