
病史摘要
中年男货车司机体检发现肺部结节,并有舌头麻木感、反复溃疡2月余。 曾行头颅平扫+MRA、腰椎MRI未见明显异常;胸部CT示:双肺结节。
既往 :无殊。否认发热及疫区旅居史。
PET/CT影像图

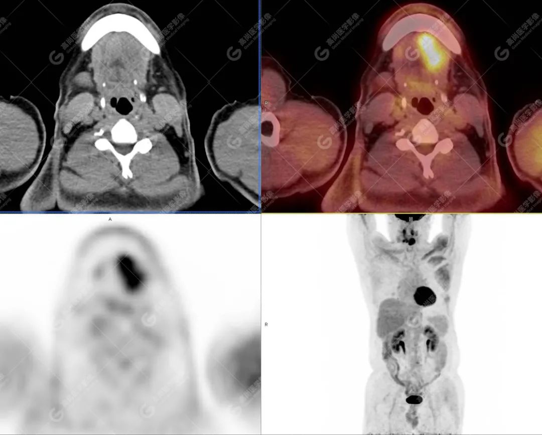
图1

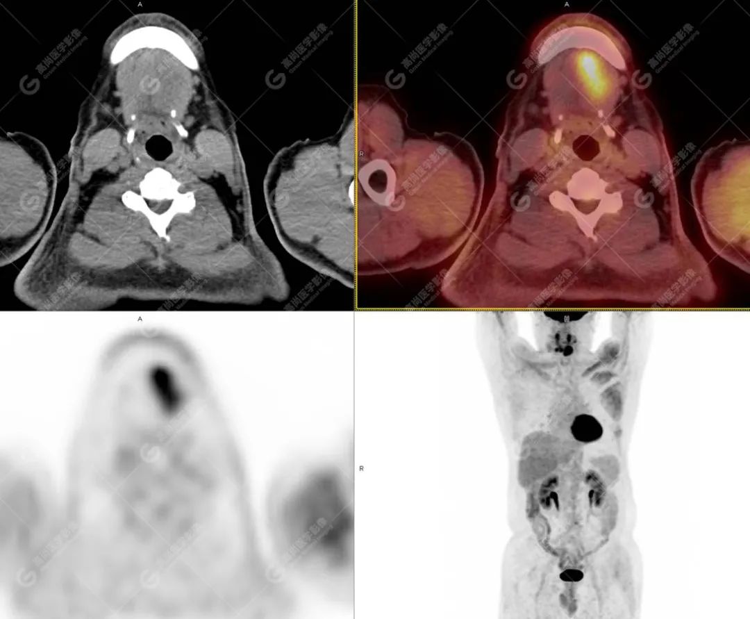
图2

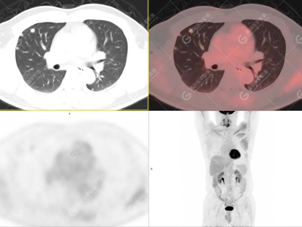
图3

图4

图5

图6
PET/CT检查
影像诊断: 1.舌体部左右侧软组织明显增厚,密度稍低,左侧为著,代谢异常增高, 考虑为舌癌,并口底受侵, 建议穿刺病理学检查明确。
2.双肺多发大小不等实性结节,部分代谢轻度增高, 考虑为转移瘤。
术后 病理: 口底癌; 考虑为口底癌侵犯舌神经致舌部麻木感。
诊断要点及思路
概述及影像表现
口底癌是原发于口底粘膜的癌。
病理与病因: 病因学尚不明确;流行病学占口腔及唇癌的第6位。 大体病理及手术所见: 多发生舌系带的一侧或中线两侧; 早期为溃疡型,后期向深层组织浸润。显微镜下特征:有角化珠;侵袭表现:穿透基底膜, 向下方的组织蔓延,血管、淋巴管及神经周围侵袭。
临床症状: 疼痛、口涎增多,舌活动受限,有时可扪及颈部肿大淋巴结。
影像表现: 口底浸润性、 边界不清楚的混杂密度肿块,增强不均匀强化;舌中隔偏曲;肿块邻近口底脂肪间隙消失,病变与邻近肌肉、血管分界不清,可包埋血管,可有颈部淋巴结肿大。
鉴别诊断
1. 脉管性病变: 常见于儿童及青少年,淋巴管常呈囊性,无强化,有时因出血可见液-液平面,血管内可见静脉石,增强后明显强化。
2.皮样囊肿: 边界清楚的囊性病变,内可见脂肪密度,无强化,MRI上的DWI序列可显示弥散受限。
3.涎腺粘液囊肿: 口底或邻近颌下腺边缘清楚光滑的囊性病变,无强化。
治疗方式
尽管口底癌的综合序列治疗方面取得了明显的进步,但患者的5年生存率并无实质性提高 ,手术仍然是该病主要的治疗方式。较小的早期病变可直接手术切除。下颌-唇劈开术是局部晚期口底癌的常用手术径路,术野暴露充分,然而可能会出现一些并发症。拉通术有助于保存口底癌患者的下颌骨和咀嚼功能。
间室切除 作为舌/口底癌原发灶根治切除的一种术式,具有科学性和可行性,可改善肿瘤的局部控制率。而对于下颌骨有浅层侵犯的口底癌,则可采用边缘性下颌骨切除术或改良下颌骨切除术,以提高患者术后生存质量。
参考文献:贾玉林,邵 明,朱钧一等.口底癌的手术治疗[J].中国实用口腔科杂志, 2020, 13(6):325-328。
作者简介

郭秀梅
核医学科 执业医师
毕业于湖南中医药大学医学影像专业,曾于广州医科大学附属第一医院参加住院医师规范化培训,熟悉常见病的影像诊断,包括PET/CT,DR,CT,MRI。对疑难疾病有一定的诊断思路。熟悉CT三维后处理,包括冠脉后处理,各种血管重建,骨重建等。
武汉高尚医学影像是高尚医学影像集团旗下独立第三方医学影像诊断中心,坐落于武汉市汉阳区鹦鹉大道46号长江广场A座,建筑面积7000多平方米。中心以专业的影像技术和进口的医学影像设备为支撑,拥有一支来自甲级医院的主任、教授组成的素质过硬的专业人才队伍,并聘请了多名盛名医学影像诊断领域的主任作为长期技术指导。
中心设有核医学科(PET/CT-MR)、放射科、超声科等,开展肿瘤和心脑血管疾病以及神经、呼吸、消化和骨关节肌肉系统等疾病的早期诊断和疑难病会诊,定制个性化的疾病早期深度筛查,是华中地区的专业医学影像诊断机构。中心始终秉承“医疗质量为本,品质呵护健康”的服务理念,以精准医学为标准,倾力打造医学影像诊断品牌。