【原创】银汞合金——口腔界的“诺基亚”
我们常说的银汞补牙,指的是银汞合金。它是牙体修复的传统材料,由银合金粉(主要成分是银和锡,还有少量的铜和锌)和汞调制而成,由现代牙科学之父——美国医生G.V Black于1896 年提出配方,之后经过不断改进,但基本成分不变,一直沿用至今。
在牙体修复材料没有太多选择的时代,银汞合金扮演了重要角色,其价格便宜、坚固耐用,满足了很多低收入人群的补牙需求,很多老一辈牙医都对它有着很深的感情。
但就像耐摔的诺基亚最终被智能手机所取代一样,随着口腔医学的发展和口腔材料的升级迭代,银汞合金的很多缺点逐渐凸显,正在逐步被树脂材料所取代。
缺点一:颜色不美观,患者接受程度低
银汞合金的颜色为灰黑色,与牙齿颜色形成鲜明对比,美观度是硬伤。试想一下,一个人如果满口黑牙,估计也不能无所顾忌地大笑了。正因如此,银汞合金一般用作填充后牙。
相比之下,树脂材料就美观多了,更易于患者接受,全口牙都可以用。

缺点二:没有粘结力,容易造成继发龋
银汞合金与牙齿没有粘结力,完全是靠机械的力量“嵌”在牙洞中的,与牙体之间存在微渗漏,一旦发生继发龋,不得不进行二次、甚至多次再修复[1]。
而且,使用银汞合金补牙,对牙齿洞型有要求,为防止填充材料脱落,往往需要磨去较多的健康牙体组织。
树脂材料则可以在粘接剂的帮助下,与牙齿发生很好的粘接,牙齿坏多少,就磨掉多少,可以最大程度地保护健康牙体组织。
缺点三:对人体的毒性,一直饱受争议
一般认为银汞合金可能的危害性在于神经毒性、肾功能降低、免疫功能低下等[2]。
对于医护人员而言,在调制银汞合金的过程中,可能吸收汞蒸气,或者皮肤直接接触到汞。一个有趣的现象:临床上有时会看到老一辈的口腔医生写字的笔画如同锯齿状、性情急躁[3],可能与汞的长期职业暴露造成一定的汞中毒有关。
对于患者而言,已有研究证实,对口腔苔藓样接触病,银汞合金腐蚀产物可能是一种引发因素,而且银汞合金发生电解腐蚀时,产生电位,银、锡、铜等金属离子释放增加,会引起患者口腔烧灼感、金属味及疼痛等[4] 。
其它方面的毒性,尚缺乏足够明确的证据,但一直争议不断。
而树脂材料则无毒、无刺激、不导电、不导热,无疑更安全放心。
缺点四:会对环境造成污染
银汞合金产生的残余废料会对环境造成污染,长远来看,很不环保。
各国对银汞合金的态度
为避免银汞合金对人体和环境产生不利影响,一些国家陆续制定了限制使用银汞的规定。
挪威、瑞典,分别于2008年、2009年禁止银汞合金作为补牙材料;加拿大劝戒医生不要在孕妇、儿童、肾功能损害以及患免疫系统疾病的患者身上使用银汞;在德国,对生育年龄的妇女和儿童使用银汞是犯法的。
2013年,联合国环境规划署通过了《关于汞的水俣公约》,包括中国在内的87 个国家和地区代表共同签署。公约规定,2020年前逐步淘汰某些非电子医疗设备,如温度计、血压计,与会代表还同意逐步减少银汞合金牙齿填充物的使用。
2016年,欧盟三大机构(欧洲议会、欧盟理事会和欧盟委员会)达成临时协定,自2018年7月1日起,禁止在牙科中对不满15岁的儿童以及孕期和哺乳期妇女使用银汞合金填充物。
在我国,经济发达地区的大型医院已基本淘汰银汞合金的使用。
看到这里,有些人可能要问了:以前用银汞合金补过的牙,有必要替换成树脂材料吗?
如开头所述,银汞合金具有坚固耐用的明显优点。它抗压力强,能承受每平方厘米2500千克的压力(毫不夸张地说,牙齿崩了,它也不会崩);而且耐磨耐用,一般可以用十多年,保养得当,甚至可以用几十年,有的一辈子都不会出问题。
所以,如果过去用银汞合金补过牙,建议留意平时有没有牙齿敏感、疼痛等症状,或者到医院做检查,看看有没有微小渗漏、继发龋等问题,如果没问题就不用动。当然,出于美观性考虑,或者心理安慰,如果经济条件允许,可以替换成新材料。(本文第一张对比图,便是同一部位、材料替换前后的对比图,不得不说,替换成白白的树脂,心情还是很美丽的)
需要提醒的是,烂牙一定要尽早看。补牙收费一般是按照一颗一颗来算的,浅龋用的材料少,深龋用的材料多,但都是一样的价格。有些人可能觉得浅龋补牙不划算,其实恰恰相反,烂牙拖得时间长了,问题更严重,有可能还要做补牙之外的治疗,费时、费钱、又受罪。
补牙也不是一劳永逸的,补牙之后,也不能忽视牙齿的保护。
不可不知的牙齿保健常识
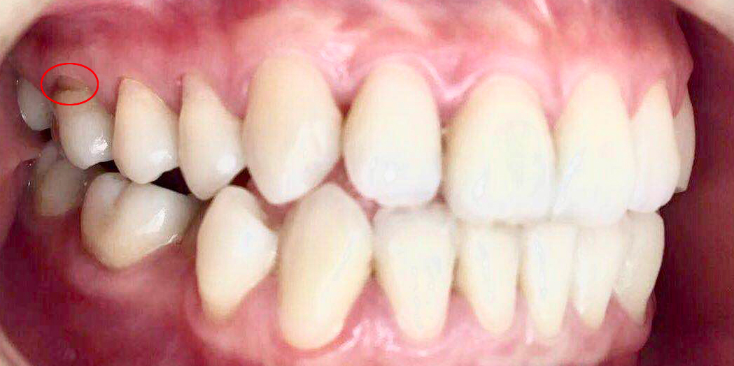
1.正确刷牙是最基本、最重要的牙齿保健方法。全世界牙医一致推荐“巴氏刷牙法”,每次刷3分钟。刷牙齿外侧时,刷头与牙齿呈45°角,使中间的刷毛深入进牙龈沟和牙间隙内(以便更好地带出牙菌斑),两边的刷毛铺于牙齿和牙龈边缘;刷牙齿内侧和大牙的咀嚼面时,刷毛与牙面垂直。切忌拉锯式的“横刷法”,否则楔状缺损就会找上门(出现楔缺,也要尽早补),如下图红圈标识部分。

2.定期检查牙齿。预防大于治疗,花小钱,防大问题,道理大家都懂。
3.每年洗牙1~2次。洗牙不伤牙,有些人洗牙后牙齿变敏感,其实是因为去除了较厚的牙结石,牙齿本身能更好地感知冷热酸甜了,适应几天就好了。如果坚持洗牙,口腔卫生较好,洗牙一般十多分钟就可以完成,没有想象中痛苦。
4.剔牙用牙线,而非牙签。牙签过于坚硬,粗暴的剔法,会让牙缝变宽,损伤牙龈;而牙线则很柔韧,能有效剔除牙齿邻接面的食物残渣和软垢;强烈建议饭后、刷牙后使用牙线。
5.不要把牙齿当金使。开瓶盖、咬核桃之类的“瓷器活儿”,还是交给专门的工具吧!