男子每日饮酒,因胀气伴剧烈背痛入院治疗,咋回事?
1
背景
47 岁男子因睡觉时剧烈腹痛疼醒来到急诊。他说在过去几周时间内,间歇性的上腹部疼痛,总感觉想要打嗝。在今天清晨,疼痛急剧加重。疼痛以带状的方式辐射到上腹部和背部,背部平躺时疼痛最剧烈,当坐直时情况好转。
病人有轻微的恶心,但没有呕吐,没有感冒、发烧,否认腹泻史。在来急诊前,排过一次便,但不带血。病人否认胸痛、呼吸急促或心悸。病人每天要喝 6-8 杯啤酒,但没有任何慢性病,也不服用任何药物。
病人否认服用 OTC 止痛药,包括非甾体类抗炎药。病人无任何药物过敏史。
2
体格检查
病人较瘦,表情痛苦,显得比较憔悴。体温 35.4℃,脉搏 87 次/分,呼吸频率 28 次/分,血压 111/62 mmHg,自然呼吸时氧饱和度 98%。
病人出汗较多,在轮床上扭动不安。巩膜无黄染。口咽清晰,粘膜稍干。心脏检查显示心律正常,无杂音。肺部各部位听诊清晰,未发现啰音及干啰音。
腹部检查主要表现为上腹部和双侧上腹区的精细压痛,伴有局灶性反跳压痛和保护行为。患者下腹未见压痛,未触及到肿块。直肠检查显示血红素阴性,粪便呈褐色。
患者紧急进行心脏监护,并将 18 号的外周静脉管插入肘窝处,通过该管道输注生理盐水。静脉注射两剂氢*啡吗**酮,疼痛或腹部压痛无明显改善。
胸片检查:看起来正常,隔膜下无自由空气。腹部 B 超检查显示,无胆结石或胆管壁增厚的迹象。肾脏、肝脏均正常。
所有实验室检查结果均在正常范围内,包括全血细胞计数、代谢检查、含淀粉酶和脂肪酶的肝脏功能检查、肌钙蛋白水平等,均在正常范围内。心电图显示正常窦性心律,心室率 88 次/分,侧导联有非特异性 ST 段扁平化,与患者先前的心电图无显著差异。
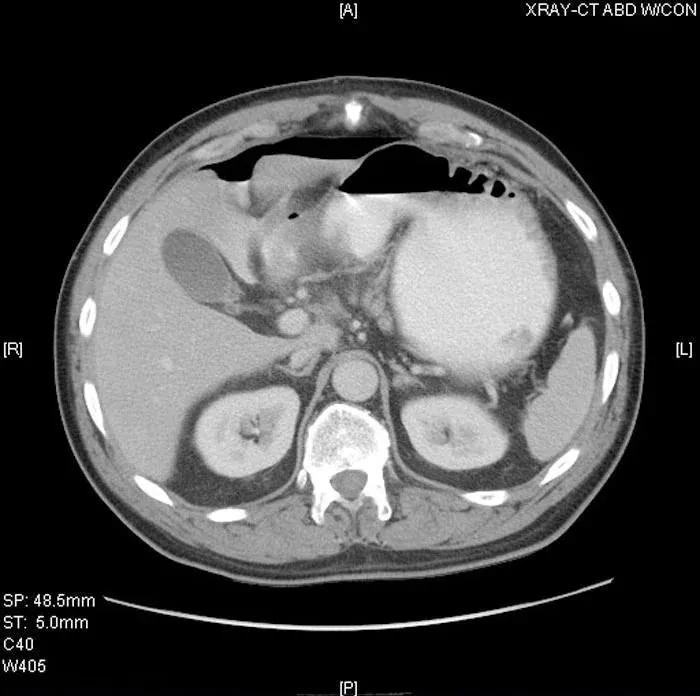
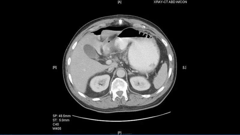
初始检查完成后,给患者注射额外剂量的静脉止痛药,可明显缓解部分疼痛(尽管上腹部的局部疼痛仍持续存在)。患者稍后做了腹部和骨盆的 CT 检查,并获得口腔和静脉造影图像(图 1 和图 2)。

图 1

图 2
问
基于以上发现,该患者最可能的诊断是?
A、胃食管反流病
B、结石性胆囊炎
C、急性胰腺炎
D、穿孔性消化性溃疡
留言写下你的判断吧!下期统一公布结果!