
随着近年来对脉管畸形的深入了解,治疗模式已经发生颠覆性改变,介入微创治疗已基本替代传统外科手术治疗。
静脉畸形
静脉畸形为小儿最常见的脉管畸形类型,不同于真性血管瘤(具有自限性,大部分可自然消退),可伴随着身体发育而生长,无法自愈。静脉畸形生长速度个体差异较大,少部分畸形瘤灶生长较快,对周围组织器官侵犯破坏,影响机体正常生长发育。
左手静脉畸形
男性患儿,MRI检查示左手掌小鱼际肌侧,左手无名指、左手示指多发静脉畸形。
DSA引导下行经皮穿刺畸形静脉泡沫硬化术。

淋巴管畸形
淋巴管畸形为少见的脉管畸形类型,瘤体生长速度一般较慢,部分因囊腔内出血而出现瘤体突发肿大,压迫周围正常组织器官而出现系列临床症状。
新生儿颈部巨囊型淋巴管畸形

颈部彩超及MRI检查提示颈部淋巴管畸形,瘤体内可见多发分隔囊腔。

成人颈部淋巴管畸形
DSA引导下经皮穿刺囊腔,抽吸囊液,囊腔内注射硬化剂硬化治疗。

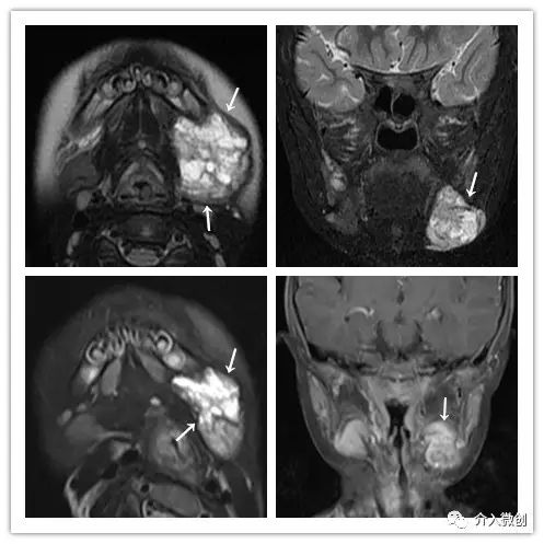
儿童颈部淋巴管畸形
颈部彩超示左颌下淋巴管畸形,瘤体内可见多发分隔囊腔。

颈部MRI示示左颌下淋巴管畸形。

DSA引导下经皮穿刺硬化注射治疗。
