众所周知,睡眠对儿童的生长发育具有重要的作用。但是孩子的睡眠时间如果远远超过正常的需要,家长就要注意了。
近日,清远一2岁半的女童就因为颅内长了一颗直径9cm的巨大肿瘤,导致每天的睡眠时间将近20小时,而正常同龄小朋友一天大约才睡12小时。幸好,广东三九脑科医院神经外九科专家及时手术,该女童才重新恢复了活力。

孩子头痛一个月 每天睡十几个小时
今年9月,刚上幼儿园的婷婷(化名)就经常说自己头痛。婷婷妈妈见孩子也没哭闹,以为婷婷是刚上幼儿园不适应,就没有特别在意。
国庆期间,婷婷妈妈发现孩子每天睡觉的时间特别长。“一天要睡到17、18小时,并且醒后没一会又说好困、想睡觉。”婷婷妈妈回忆道,身边的亲戚朋友也感觉孩子像变了个人似的,整天无精打采、沉默不语。
婷婷妈妈赶紧带女儿去当地医院检查,医生查体发现孩子左脸已经有点面瘫。为明确病情,家人带着婷婷来到了广州某三甲医院。在该院,医生发现婷婷颅内有一个直径约9cm的巨大占位。为寻求进一步治疗,在朋友的介绍下,婷婷妈妈又带着孩子来到了广东三九脑科医院。

手术摘除脑内巨大肿瘤
刚到广东三九脑科医院时,婷婷的精神状态非常差,还一直说头痛、不舒服,也不大愿意下地走路,整个人昏昏沉沉,完全没有了正常儿童的活力。

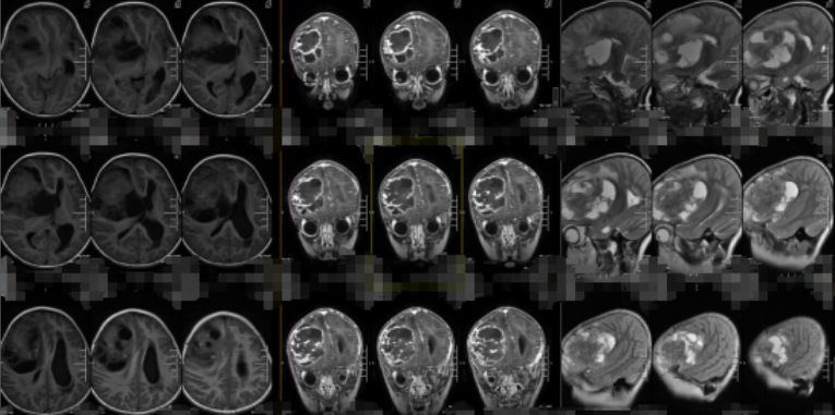
▲术前MR影像检查
我院影像检查提示患儿右侧额叶的占位足有馒头大小,基本占了她脑袋的四分之一。我院大外科首席专家欧阳辉教授和神经外九科主任穆林森详细分析了患儿的病情,一致认为,如果任由肿瘤继续发展下去,患儿随时会有生命危险,建议尽快进行手术。
最终,在欧阳辉教授与穆林森主任的共同努力下,一颗大小为9cm×9cm×8cm的肿瘤被完整切除了。


术后,婷婷很快就清醒了,语言、肢体等功能均没有受到影响。住院一段时间后,她已经活蹦乱跳地出院了。

专家提醒:孩子出现异常症状,家长需引起重视
“孩子很乖,头痛也不哭闹,才会耽误了一个月才带孩子到医院检查。”婷婷妈妈回忆起仍懊悔不已。
穆林森主任说,儿童脑肿瘤又称儿童神经系统肿瘤,在小儿肿瘤中的发病率仅次于白血病,是发病率最高的实体肿瘤。从2015年开始,儿童脑肿瘤的致死率已超过白血病。脑肿瘤患儿最常见的症状有头痛、呕吐、精神萎靡或嗜睡等,一些肿瘤患儿还可能出现走路不稳、视力下降、头颅增大、癫痫发作等症状。
“儿童肿瘤如果能够早发现、早诊断,治疗效果还是比较好的。”穆林森主任提醒家长,小孩子在表达上不能像成年人那么明确,所以需要家长细心观察,如果孩子持续出现异常症状,应当引起重视,以免错过早期诊断及最佳治疗时机。
专家介绍

欧阳辉
广东三九脑科医院大外科首席专家、神经外九科主任导师、教授、主任医师
擅长:对神经外科各种伤、病的诊治,尤其对颅内肿瘤特别是脑胶质瘤的手术与综合治疗、重型颅脑损伤的抢救以及顽固性癫痫的诊治有丰富的经验和较深的造诣,以第一完成人获得过广东省科学技术二等奖,*队军**科技进步奖及其他奖项。
世界神经外科联合会(WFNS)会员,中国抗癌协会神经肿瘤专委会委员,广州抗癌协会神经肿瘤委员会主任委员,广州抗癌协会常务理事,广东省医学会神经外科分会神经肿瘤学组副组长,中国医师协会胶质瘤分会老年胶质瘤学组委员,中国医师协会神经外科分会第四届委员,广东省医师协会神经外科分会第一、二届副主任委员,广东省医学会创伤学分会第三届副主任委员暨第一至三届颅脑创伤学组副组长,广东省自然科学基金及重大科研成果评审专家等;获得首届“羊城好医生”、“最受网友欢迎的羊城好医生”以及第一、二届“胡润-平安中国好医生”等称号。

穆林森
广东三九脑科医院神经外九科科主任、主任医师、硕士研究生导师、北京天坛医院医学博士。
中国中西医神经外科专委会常委兼副秘书长、中国医师协会神经修复委员会卒中委员会常委委员、中华中青年神经外科交流协会委员会委员、广东省医学教育神经外科专委会副主任委员、广东省基层医药神经外科专委会副主任委员、广东省中西医结合神经肿瘤学会常委委员、广东省健康管理学会神经外科分会常委委员、广东省医学会以及医师学会神经外科委员、广东省医学会神经外科功能学组委员、广州市医学会神经外科常委、广州市医疗事故专家鉴定委员会委员、广州市交通专家鉴定委员会委员;第四届"羊城好医生";《中国继续医学教育杂志》编委、《神经科学(英文版)》编委、《中国医药导报》编委等。
擅长:颅底肿瘤与血管病手术,经鼻鼻咽癌以及颅底沟通性肿瘤微创内镜手术治疗,尤其在重型颅脑创伤、胶质瘤、脑膜瘤、垂体瘤及脑干颅底病变的神经内镜手术方面积累了丰富的临床经验;对神经鞘瘤、胶质瘤及听神经瘤等疾病的微创手术治疗和非手术综合治疗有深入的研究,取得了突破性的临床治疗效果。开展神经内镜动脉瘤夹闭术、神经内镜听神经瘤切除术、垂体瘤和海绵窦肿瘤以及斜坡肿瘤切除术、基底动脉干动脉瘤夹闭术。