在猫咪成长路上,总会有无声无息的疾病或者异常悄然间降临。当不会说话的猫咪突然“毫无征兆”额头出现一个大包,到底是什么原因呢?
今天,宠小爱和大家分享的就是一则猫咪【额窦炎】的病例。

图:来源于网络
▽

〖 宠 爱 国 际 病 历 本 〗

- 宠物名:二饼
- 性别:雄性
- 年龄:1Y
- 品种:英短
- 体重:3KG
主诉病史
养了两周了,今天发现精神不振,吃喝小便正常,驱虫疫苗正常,有大黄鼻涕。怀疑有严重呼吸道问题。

来医院等待治疗的二饼
医院检查
临床检查:
精神状态尚可,呼吸声粗糙,黄鼻涕,额头鼻梁肿胀严重。T:40.1度。腹部触诊正常,肛周清洁。潜在疼痛明显。
实验室检查:
血常规白细胞升高↓↓

生化球蛋白增高↓↓

疱疹杯状支原体衣原体PCR送检结果均为阴性↓↓




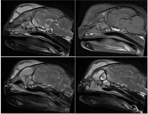
核磁↓↓



核磁结果显示:双侧鼻腔、额窦及额前部皮下可见T1WI等信号、T2WI高信号内容物;双侧局灶
性鼻甲纹理缺失,右侧鼻腔较明显,且右侧鼻骨局灶性溶解;左侧额骨增厚,额窦腔隙较小;腹侧筛板影像不清,双侧嗅球部脑膜T2WI信号增强。小脑尾侧部分实质突入枕骨大孔。双侧鼓室呈T1WI、T2WI低信号,鼓泡壁平滑。
临床诊断
双侧鼻窦炎伴骨溶解、额部皮下积脓
筛板局灶性溶解、脑膜炎可疑
左侧额骨增厚考虑慢性炎症导致/先天发育畸形
小脑疝(I型) 双侧鼓室未见明显异常
治疗方案
考虑到动物高烧不退,额窦严重肿胀积脓,不采取保守治疗,术前检查后进行手术治疗。同时配个输液消炎。结合微生物培养、病理学检测进一步检查。


时长
00:15
额窦抽出大量白色脓液

术后缝合伤口

手术取出组织送检病理排除肿瘤风险。



对样本进行细菌培养,药敏试验,菌种鉴定,结果显示感染菌未大肠埃希菌,后续根据药敏针对性输液抗感染治疗。
手术后食欲恢复正常,体温精神状态恢复正常

恢复健康的二饼
病例讨论
此病例猫咪额窦积脓是上呼吸道长期反复感染不愈导致的淋巴浆细胞性鼻炎,建议对于猫咪打喷嚏流鼻涕咳嗽等情况要引起足够重视,有症状及时带医院检查治疗。
对于鼻腔慢性炎症病灶,口服糖皮质激素和抗组胺药物治疗效果不明显。所以病因不太可能是原发性感染,可能是吸入性微生物感染导致,建议进行微生物培养,针对性治疗。
宠爱国际猫咪治疗实例
打喷嚏流鼻涕不是小问题!!!十一月龄的猫长期咳嗽,流鼻涕,在外院就诊无效,转诊宠爱国际动物医院,在为猫咪做了CT检查后发现左侧额窦积脓,为猫咪做了额窦切开与鼻腔冲洗手术,术后症状得到缓解↓↓




猫咪常年耳朵流脓,经过在其他医院核磁检查在我院进行了垂直耳道切除术,希望早日康复吧↓↓


预防猫咪尿闭,从这几个方面入手↓↓
https://v.qq.com/x/page/w3265uf05bw.html
宠爱国际猫科
该科室得益于医院优异的猫病诊断及照护能力,包括猫的慢性口炎及慢性肾衰竭、异物手术、血球血液及气体分析、预防医学及老年猫医学等,给爱猫提供完善的医疗照顾,致力于猫科医疗质量与福利,并针对猫咪特质来教育猫咪家长对于看诊流程的配合,让猫咪能快乐上医院并将紧迫性降至更低。
预防方案及康复后保健措施
医生,到底什么是猫咪额窦积脓?
猫的鼻窦即额窦感染很常见,这两个结构都是通过裂隙相通,引起鼻腔的感染上升到额窦感染,引起感染积脓。患病猫咪额头至鼻腔附近皮肤出现肿胀,伴随着浓稠的鼻分泌物。
医生,猫咪额窦积脓如何做预后?
1、术后口服敏感性抗生素,同时及时清理鼻腔分泌物。
2、保持环境的清洁。防止术后猫咪处在灰尘比较多的环境。
3、术后猫咪短期内会有喷嚏情况,及时观察记录,并及时清理鼻腔分泌物。
4、及时遵医嘱复查。
生而为人,我们真的很幸运,能够与毛孩子一同存在,请宠爸宠妈们再细心一点、温柔一点,善待这群可爱的生命。在日常饲养中,如果出现异常,及时咨询动物医师,科学医治,不要让患宠的患病时间拖长。愿每一只毛孩都能健康快乐成长~