打油诗:
阿司匹林真高效,养花治病都需要。
血液凝集来相告,分清类别最可靠。








双膦酸盐很“全面”,骨质抗癌身手现。
口腔问题病史见,拔牙还需仔细辩。
颌骨坏死惹人厌,疾病预防是关键。
牙妹:医生 患者:齿哥
牙 齿哥,最近怎么看上养花的书了!
齿 昨天买了几盆绿萝,看看该怎么养。
牙 养绿萝还用看书?哈哈,勤浇水就行,生命力极强。
齿 那不行,要正确的养殖。牙妹,你说阿司匹林这个药够神奇不?
齿 怎么个神奇法?
齿 你看阿司匹林应该是药物,多出现在医学的杂志上。可这本关于养花的书籍上竟然也出现了,而且看起来对花的“帮助”还非常的大呢!(图2)
牙 嗯,确实。既然说到了,那我就考考齿哥,对人体来说阿司匹林的主要作用是什么呢?
齿 阿司匹林主要有解热、镇痛、抗风湿,不过最主要也是多数人们服用它的原因是抗血栓作用。
牙 不错,有点功底。所以我们身边的好多人,自身并没有相关疾病,但是为了预防血栓都会口服阿司匹林。
齿 我叔叔就是听了别人说这个药有抗血栓作用然后自己开始服用。我记得华法林也可以预防血栓,为啥人们不吃华法林呢?
牙 两者的作用机制是不同的,我们不能草率的说它们是一类药物。某位专家曾经讲过“严格地讲,血液凝集涉及到身体里很多的机制,主要有两大系统。
一大系统是存在于血浆中的凝血因子,现在发现的凝血因子已经有十余种。当源头的某一个凝血因子被启动后,就会连着发生一系列的化学反应,即通常所说的“凝血瀑布”。其结果使得溶解状态的纤维蛋白原变成了不溶解的纤维蛋白,凝血块就这样产生了。从血栓相关疾病的角度来看,这种凝血异常造成的血栓多见于静脉系统和心脏心房。另一个系统是与血小板有关。正常状态下,血小板一直在血液中循环,不会聚集。但由于某些因素导致了血管损伤,比如手指被划了一个口子,使得人体组织被暴露在血液中,血小板就会被活化,于是血小板开始聚集,再加上红细胞等其他因素的参与,血栓就形成了。血小板聚集造成的血栓,多发生于动脉系统。
由于这是两个完全不同的系统,因此我们把作用于前者的药物叫做‘抗凝药’(包括氯吡格雷),而把作用于后一个系统的药物叫做‘抗血小板药’,他们的作用机制是完全不同的。”
齿 哦哦,这么回事。那如果叔叔想拔牙,需要停药吗?
牙 如果是口服阿司匹林或氯吡格雷,本身没有严重的系统性疾病,可以拔牙,但是要告知叔叔拔牙后会有一定量的血液渗出(比不服用这类药物的患者出血量稍多一些),多可以正常止住;如果是服用华法林的患者,可以做个血液检测INR值(INR是从凝血酶原时间(PT)和测定试剂的国际敏感指数(ISI)推算出来的,INR中文称为国际标准化比值。INR为1表示正常的止血能力,抗凝治疗INR值一般为2--3.5,若大于4时,有自发出血的风险。不同文献最终给出的允许拔牙的范围不同,要根据患者全身情况全面评估。)。
齿 哦哦,我知道了。我记得以前你说过,如果服用个补钙的药也不可以拔牙,是啥来?
牙 双膦酸盐类药物吧!有些患者患有骨质疏松,常吃一种治疗骨质疏松的药物,叫“福善美”(图3)。 福善美属于双膦酸盐类药物(BPs),其是人工合成的焦磷酸盐类似物,具有抑制骨吸收和抑制血管生成的作用,迄今已有40余年历史,被广泛应用于治疗骨质疏松、恶性肿瘤相关高钙血症、实体瘤骨转移以及多发骨髓瘤溶骨病损等。随着双膦酸盐的广泛应用,其引起的上下颌骨坏死及相关口腔问题开始引起关注。
齿 如果服用这种药物拔牙,会出现什么问题呢?
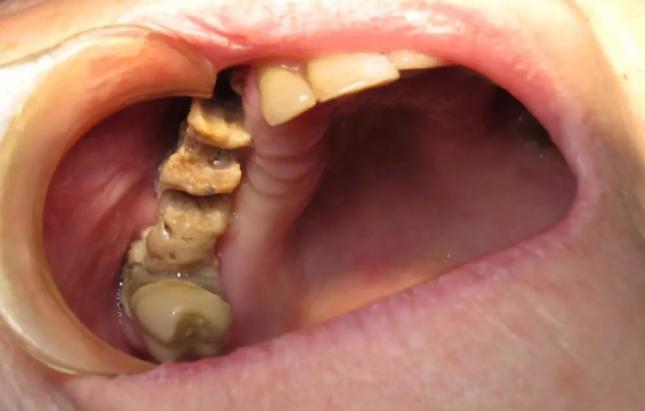
牙 双膦酸盐相关性颌骨坏死(BRONJ)作为使用BPs药物引起的严重不良反应,由口腔科医生Marx2003年首次报道。。根据2009年美国口腔颌面外科医师协会(AAOMS)确立的BRONJ诊断标准,可定义BRONJ为:口腔颌面部存在8周未愈合的骨面暴露,且患者正在接受或接受过BPs药物治疗但无头颈部放疗史。该病发病率虽低,但由于严重的临床表现,并且尚无有效根治方法,近年来受到越来越多学者的关注。(图4)
齿 哦哦。
牙 双膦酸盐相关性颌骨坏死的发病机制较复杂,目前学者通过研究提出了数种假说。其中较受关注的是,口腔外科操作导致颌骨创伤后,双膦酸盐通过抑制破骨细胞活性,抑制颌骨表面溶骨性活动,诱导破骨细胞凋亡,间接抑制成骨细胞的骨质沉积作用,使骨重建速度减慢,增加下颌骨坏死风险。值得注意的是,根据现有的文献报道,BRONJ只发生在颌骨,尚未发生在其他骨。(图5 6)
齿 这么说这个事还真的引起重视,那以后拔牙前都要询问患者是否服用过这类药物呢。
牙 是的,但问题在于双膦酸盐类药物不仅可以口服,还可以静脉给药,甚至有的药物半年给药一次,这么低的频率有些患者很容易遗忘的。所以医生在诊治时要多加注意。
另外,近来又有一种新抗癌药物需要引起我们的重视---地诺单抗(图7),其是一种完全人源化单克隆抗体,抑制破骨细胞介导的骨吸收,增加骨强度,多用于治疗骨质吸收和实体瘤骨转移。不同于双膦酸盐,该药不沉积在骨骼上,停药6个月内骨吸收抑制作用明显减弱。
齿 那如果在使用双膦酸盐类药物期间需要拔牙,怎么办呢?
牙 1.口服双膦酸盐<3年,无临床危险因素:择期手术不需更改或延迟,但如果种植牙,可能导致种植牙失败和颌骨坏死,建议间断或替换双膦酸盐治疗;
2.口服双膦酸盐<3年,同时应用类固醇激素,如果全身情况允许,牙科手术前3个月中断双膦酸盐,直至骨质充分愈合;
3.口服双膦酸盐>3年,用或未用类固醇激同(2)若注射期间有牙科手术,至少停药三个月到六个月后再进行拔牙,种植牙。如果确实要种植牙,必须直至骨质充分愈合。(以上观点来源于网络)
齿 这么可怕的疾病有什么表现?
牙 BRONJ的临床表现与放射性颌骨坏死类似,患者可能长期无明显症状,也可表现为颌骨疼痛或骨面裸露。典型的临床表现包括疼痛、骨面裸露、软组织肿胀、感染、牙齿松动、溢脓、瘘管形成。也可见骨面暴露但不伴感染症状的病例。其他症状还包括牙关紧闭、口臭、复发性脓肿、上颌窦炎、口腔上颌窦瘘等。当压迫周围神经时,可出现剧烈的颌骨疼痛或麻木,病情严重者甚至出现病理性骨折。
齿 那这么“可怕”的疾病该如何预防和治疗呢?
牙 由于目前BRONJ缺乏有效的治疗措施,预防就显得尤为重要。对于骨质疏松症、恶性肿瘤骨转移等必须使用BPs的患者来说,治疗前及过程中定期接受口腔检查,拔牙等具有创伤性的口腔操作应在BPs治疗前完成。更为重要的是,患者应该自觉维护口腔卫生,树立良好的口腔卫生观念。
双膦酸盐相关性颌骨坏死的发生与双膦酸盐的累积药量、时间、药物种类及用药方式均相关。目前研究发现,与含氮双膦酸盐(如唑来膦酸钠、利塞膦酸钠)相比,不含氮双膦酸盐更易发生颌骨坏死;药物累积剂量越大,风险越高,需要频繁大剂量使用双膦酸盐的肿瘤患者发生双膦酸盐相关性颌骨坏死的风险远高于骨质疏松患者,对于有高危因素的患者,建议戒烟和限制酒精摄入;牙槽骨创伤是导致颌骨坏死最普遍也是最基础的原因,如同时合并牙周疾病,患者发生颌骨坏死的风险会明显增加。
双膦酸盐相关性颌骨坏死的治疗以保守治疗为主,应组织口腔各科和内科医师,为患者提供联合照护。根据患者不同临床分期采取不同治疗方法,总体上应保证患者充足的营养,缓解局部疼痛症状,有感染表现的应予足量、足疗程抗感染治疗。(图8来自网络)
齿 如果骨坏死一旦确诊,双膦酸盐类药物还可以服用吗?
牙 骨坏死一旦确诊,是否停药应视具体情况而定。
针剂型双膦酸盐半衰期很长,停药后短期内通常没有良好的效果。对于已经发生副作用的患者,如果全身条件许可,可考虑长期停用此类药物,以缓解病变的进展。由于使用针剂型药物的多为肿瘤患者,因此停药要慎重,需肿瘤科医师和口腔科医师配合,以做出对患者最有利的决定。
口服用双膦酸盐停药6--12个月后,可逐渐观察到病损的好转,或经过外科手术可痊愈。这类患者若全身条件许可,可停用口服双膦酸盐或换其他替代药物。
齿 你不说这些我还真不知道,看来以后对于自己服用的药物多少还是要有些了解,至少医生在问起来的时候可以准确说出药物的名称。
牙 是呀!随着医药的发展,各种新生药物的不断涌现,给患者带来极大好处的同时,或许也暗藏着某些隐患。不过只要我们能够积极配合医生,做到防患未然,绝大多数的问题都可以很好的得到解决。