来源:肿瘤药讯
肺癌中比较幸运的一个群体是EGFR和ALK基因突变的群体,如果是这两个基因突变的肺癌患者,可以通过多种靶向药物实现较长的生存期。
但是在靶向药物治疗期间,患者和家属也是不断提心吊胆。每一次复查的时候都关注病灶是不是缩小了。因为影像学检查肿瘤的病灶大小是判断治疗效果的金标准,尤其是原发的肺部病灶。如果肿瘤病灶一直没缩小和变化,这是会让人怀疑治疗的效果,是否需要换药了。
今天给大家分享一个案例,体现肺癌靶向治疗期间,肺结核对肺癌治疗效果评估的干扰作用,我们一起看一下给到我们的启示。
1.肺癌与肺结核的关系
肺癌是恶性肿瘤的一种,其本质上是因为人体细胞在内外因素的影响下,在特定的基因的特定位点发生突变。导致肺部上皮细胞恶性增殖与失控。肺癌是一种会危及患者生命的疾病。晚期肺癌会向周围脏器、远端脏器转移。肺癌是一种比较难以治疗的疾病,晚期肺癌目前的治疗策略是在保证生活质量的基础上,最大化延长患者的生存时间。
肺结核(TB)是世界上与感染有关的死亡的主要原因,其发病原因是因为结核分枝杆菌感染而导致的呼吸系统传染病,一般糖尿病患者、老年人易感。但肺结核的预后较好,大多数可以治愈。
肺癌和肺结核有什么关系吗?据报道,如果感染了肺结核那么可能会增加罹患肺癌的风险,结核病患者肺癌发生率比正常人高11倍,而且会影响肺癌患者的治疗和预后。来自美国、韩国和中国的研究报道证实,肺结核与肺癌是具有显著相关性的。如果患肺癌的同时感染了肺结核,那么患者的死亡率更高。
尽管如此,但同时感染肺结核且又患上肺癌的情况很少。估计发病率仅为2%。但是肺结核和肺癌在临床症状、影像学检查结果很相似,这可能会导致误诊、漏诊或延误诊断。而这些就可能会影响患者的治疗,并导致一个较差的治疗结果。
2.肺部肿瘤病灶不缩小,要不要换药?
2019年6月,一名70岁的女性因胸部和背部疼痛而入院,胸部CT检查结果表明左上叶肿瘤累及左肺门和纵膈。此外疑似在纵膈淋巴结、肋骨、肝脏和左肾上腺有转移病灶。
通过对肝部转移灶活检穿刺的结果表明,这是一个起源于肺部的腺癌。为4期非小细胞肺腺癌,无手术治疗机会。通过基因检测分析表明具有EGFR基因的19号外显子缺失突变。ALK和ROS1突变为阴性。
患者开始使用第一代EGFR基因的靶向药物埃克替尼进行治疗,一个月以后进行的复查表明原发病灶没变化,但肝脏、肾上腺和纵膈淋巴结的转移灶明显缩小。临床医生评估为转移灶部分应答,原始病灶是稳定状态。

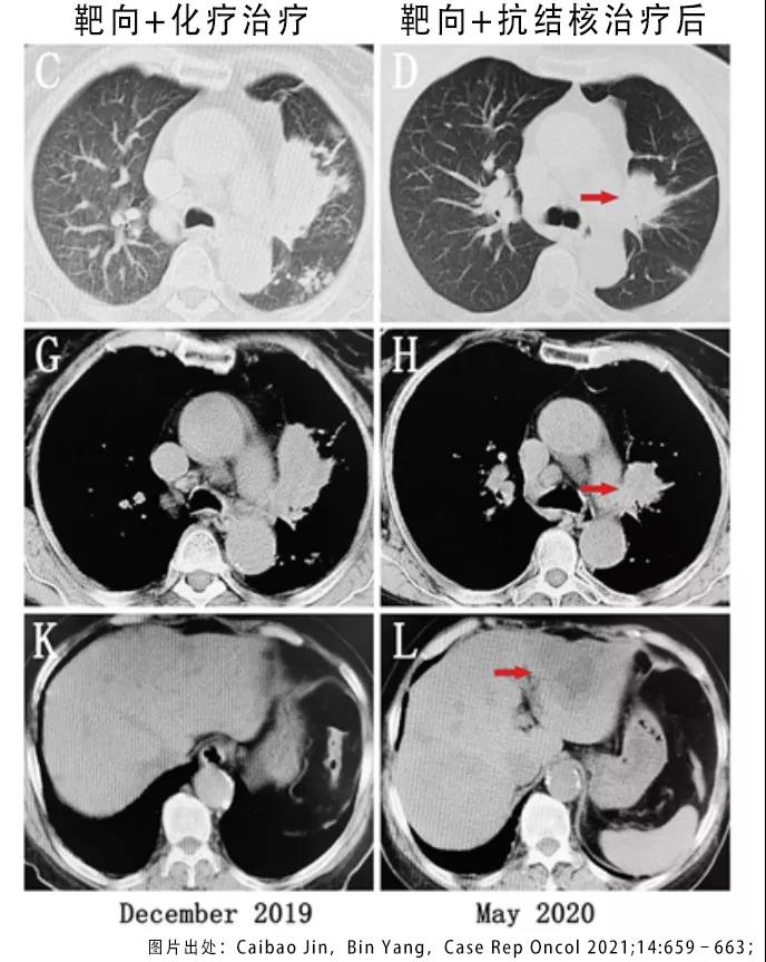
图1 病情确诊和靶向药物治疗后的CT检查结果 图1 病情确诊和靶向药物治疗后的CT检查结果
2019年11月,为了尽量将肺部原发病灶也*压打**下去,在靶向药物治疗的基础上进行了两个疗程的培美曲塞的化疗。但是肺部原发病灶还是保持稳定,不长大也不变小。这个时候,患者没有进行换药,而是通过电子支气管镜检查找原因。
进一步的检查结果表明,支气管有溃疡,活检标本有慢性炎症伴坏死。痰液检查发现结核分枝杆菌呈现阳性。高度怀疑患者有肺结核。
2020年1月,在确定为肺结核之后,患者接受了异烟肼、利福平、吡嗪酰胺和乙胺丁醇组成的HRZE方案治疗。同时继续使用靶向药物治疗肺癌。2个月以后,胸部和腹部CT检查证实肺部肿块明显缩小,但是肝部和肾上腺的转移灶开始增大了。

图2 靶向联合化疗及靶向联合抗结核治疗后的CT检查 图2 靶向联合化疗及靶向联合抗结核治疗后的CT检查
3.肿瘤病灶不缩小也不要着急换药
之所以选择这一案例为大家解读,希望能通过这个案例引起大家对治疗过程的重视,如果治疗过程出现了异常情况,我们一定要通过正规的检查,明确究竟是为什么,而不能着急更换治疗措施或药物。因为肺癌的靶向和免疫治疗,其实都没有多少药,可以供我们换来换去。
如果一款药物或者治疗方案将大部分肿瘤病灶控制住了,偏偏只有肺部原发灶没变化,本案例这个肺部原发灶没变化,假如还稍微增大一点,那么我们也不能轻易就判断肺癌原发灶治疗无效,而是参考相应的检查看看究竟是为什么,也许恰好也赶上了肺结核或其他炎症,导致了对治疗结果的误判。
提醒大家:通常我们无法仅仅通过影像学检查和临床症状来区分肺癌和肺结核,两种疾病的表现极为相似。