
编前语
今年7月下旬,《呼吸界》推出的「感染新说」系列,受到了业内的广泛关注和好评。编辑组整理了后台读者提出的诸多问题,特别约请该领域权威专家共同策划,就巨细胞病毒肺炎、人(禽)流感病毒肺炎、重症流感病毒肺炎等方面的经典病例及诊治进展进行了专业论述,现与大家分享。
病例介绍
患者,吴**,男,61岁,农民,初中文化,湖州德清县人,因「发热伴胸闷气急1周」,于2017.12.4入住浙大一院呼吸与危重症医学科。
现病史
患者1周前出现发热,最高体温40℃,伴有活动后胸闷气急、咳嗽、少痰。无胸痛、无双下肢水肿、无痰血等。当地医院查血常规:白细胞 8.9*10^9/L ,中性粒细胞90.1%,血红蛋白124g/L,血小板145*10^9/L,C反应蛋白 234.20mg/l。肺部CT提示两肺弥漫性渗出病灶。予补液、哌拉西林-他唑巴坦 4.5g q8h,SMZco 3片 tid,卡泊芬净 70mg 单次、50mg qd维持,甲强龙40mg qd治疗,症状改善不明显转我科治疗。
既往史
患「痛风」2年,规律服用「非布司他 半片/天」,症状控制可。患「IgG4相关性肺病」2个月,服用甲基强的松龙片逐渐从32mg/天减量到12mg/天。
个人史
无饮酒习惯、无吸烟习惯。长期养殖家畜病史。
婚育史
患者于25岁结婚,婚姻和睦。育有1子1女,子女均体健。配偶患「糖尿病」、「高血压病」。
家族史
父亲患「老年痴呆症」。母亲体健。1弟1妹均体健。患者否认二系三代有遗传病史。患者否认有遗传倾向的疾病。
体格检查
体温:37.1℃,脉搏:91次/分,呼吸:30次/分,血压:122/93mmHg。氧袋面罩吸氧,指氧饱和度92-96%。听诊:两肺呼吸音粗,两肺闻及细湿罗音,心律齐,未及杂音,腹软,无压痛反跳痛,肝脾肋下未及,腹部未及包块,移动性浊音阴性,肠鸣音正常,双下肢无明显浮肿,神经系统检查阴性。

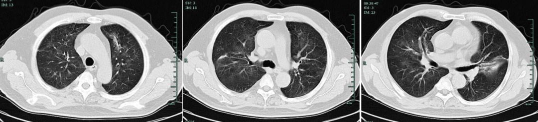
【图1】为11月1日肺部CT提示两肺弥漫淡薄渗出影
入院诊断
重症肺炎(耶氏肺孢子菌肺炎?)、I型呼吸衰竭、IgG4相关性肺病、痛风
诊治经过
入院后继续院外治疗方案。血常规:WBC 6.6*10^9/L, HGB 128g/L,PLT 140*10^9/L,CRP:45.9mg/L,PCT:1.65mg/L,血生化:白蛋白 33.2,谷丙转氨酶 69U/ml,乳酸脱氢酶 647U/ml,*丁酸羟**脱氢酶 438U/ml。血气分析:pH 7.5,Lac 2.0,pO2 62.7mmHg,pCO2 29.1mmHg。G实验:215 pg/ml。血隐球菌荚膜多糖抗原、血GM实验阴性。血液及尿液巨细胞病毒DNA:阴性。巨细胞病毒抗原:IEE 1/5细胞,PP65 0/5细胞;CMV-IgM 阴性,CMV-IgG 阳性。血IgG4:0.8mg/L。
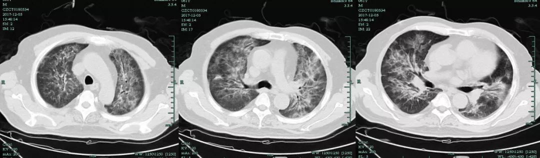
12.5复查肺部CT提示病灶较前明显进展。

【图2】12月5日肺部CT复查提示两肺弥漫渗出影伴肺间隔增厚,较11.30明显进展
12.6床边气管镜检查:各管腔通畅。肺泡灌洗液检验:细菌、结核、真菌涂片均阴性,六胺银染色:未见肺孢子菌,肺泡灌洗液GM:阴性。肺泡灌洗液核酸检测:巨细胞病毒DNA:阳性。
修正诊断
巨细胞病毒肺炎、I型呼吸衰竭、IgG4相关性肺病、痛风
治疗方案更改:更昔洛韦 300mg bid,停SMZco,停哌拉西林-他唑巴坦,甲基强的松龙片8mg bid。
临床转归:12.6开始抗病毒治疗后患者胸闷气急情况逐渐缓解,肺部影像学吸收好转,患者12.18出院。

【图3】诊治期间肺部CT变化
病例小结
该患者长期口服糖皮质激素,为免疫缺陷患者。出现急性发热伴呼吸衰竭,两肺磨玻璃渗出,虽血G实验阳性,但经验性治疗覆盖耶氏肺孢子菌疗效欠佳。入院后尽早行肺泡灌洗,开展全面的病原学检测,肺泡灌洗液未找到肺孢子菌包囊,但核酸检测发现巨细胞病毒DNA阳性。明确诊断后经抗病毒治疗患者得以好转。通过该病例提示对于免疫缺陷患者重症肺部感染,根据高危因素、临床特征、影像学进行病原评估后适当广覆盖治疗,疗效欠佳情况下应当早期获取合格标本进行恰当而全面的病原学检测以明确诊断。免疫缺陷患者两肺弥漫病变需谨慎鉴别肺孢子菌肺炎和巨细胞病毒肺炎,及早获取病原证据。
巨细胞病毒肺炎人群中具有高感染率,免疫缺陷人群中复制周期可缩短至1天
巨细胞病毒属于疱疹病毒科,大DNA病毒,可潜伏感染并在免疫力下降情况下复发。人群中具有高感染率:1%婴儿先天性感染,通过母乳及儿童间接触,人群感染率快速升高;成年时感染率,发展中国家80%,欧美发达国家60-70%。约10%初次感染有症状:萎靡、发热、转氨酶升高、淋巴细胞升高。初次感染后病毒潜伏于人体整个生命周期,潜伏于内皮细胞、外周血单核细胞,人体细胞免疫控制病毒低水平繁殖。在免疫健全人群中为慢复制病毒;免疫缺陷人群中复制周期可缩短至1天;在艾滋病、造血干细胞/骨髓移植、实体器官移植患者中CMV是重要的致病和致死病原体。
造血干细胞移植受者是第一高发人群,不接受预防性治疗的异基因骨髓移植患者发病率10~35%,自体干细胞移植发病率1~6%;造血干细胞移植人群中最常见的为消化道感染,CMV肺炎占CMV感染的1/3;造血干细胞移植人群CMV肺炎不治疗病死率几乎100%,抗病毒治疗病死率30-50%,但非造血干细胞移植人群有自愈报道。不进行抗病毒预防,造血干细胞人群中内源性CMV激活比例70-80%,出现CMV疾病的概率20-35%。
症状性感染出现在实体器官移植患者中的比例:
心肺移植39%、心脏移植25%、肝胰移植29%、肾移植8%。CMV可累及肺、胃肠道、肝、肾、 视网膜、骨髓等,CMV还可导致移植器官功能障碍、急性移植物排异。CMV疾病还可表现为非特异性发热综合征合并CMV病毒血症。CMV可直接影响免疫系统,使患者易感机会性真菌感染、PJP等。
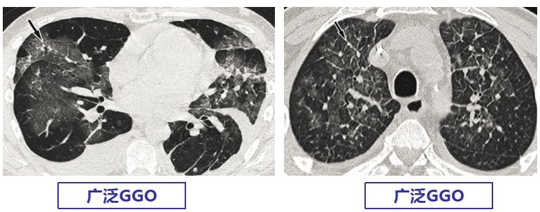
CMV肺炎的影像学可表现为以下几种:
小叶中央性结节、随机或淋巴管周围分布结节、广泛磨玻璃影、气腔实变、叶间隔增厚。其中小叶中央性结节 (69%)、双肺GGO(69%)、气腔实变(54%)最为常见。





【图4】文献报道的巨细胞病毒肺炎常见影像表现
巨细胞病毒感染的诊断
组织或BAL病毒培养,而定量PCR检测CMV DNA或抗原检测的诊断效力高于病毒培养。CMV肺炎诊断则需要包括影像学+BAL CMV培养或DNA或活检标本免疫组化。BAL或活检标本中出现CMV证据则一定需要治疗,无论是否合并其他病原体感染。
巨细胞病毒感染治疗
更昔洛韦、膦甲酸、西多福韦、CMV特异性免疫球蛋白、免疫球蛋白可用于治疗。实体器官移植患者巨细胞病毒肺炎、胃肠炎、视网膜炎更昔洛韦治疗方案推荐:5mg/kg bid,疗程14~21天。严重免疫缺陷患者或免疫缺陷难以纠正患者疗程需延长。25%实体器官移植患者在CMV感染治疗停药后出现复发,复发后仍可以更昔洛韦治疗。
参考文献
[1] Travi G, Pergam SA. Cytomegalovirus pneumonia in hematopoietic stem cell recipients. J Intensive Care Med. 2014 Jul-Aug;29(4):200-12.
[2] Nichols WG, Boeckh M. Recent advances in the therapy and prevention of CMV infections. J Clin Virol. 2000 Feb;16(1):25-40.
[3] Horger MS, Pfannenberg C, Einsele H, Beck R, Hebart H, Lengerke C, Vonthein R, Wehrmann M, Faul C, Claussen C.Cytomegalovirus pneumonia after stem cell transplantation: correlation of CT findings with clinical outcome in 30 patients. AJR Am J Roentgenol. 2006 Dec;187(6):W636-43.
[4] Kunihiro Y, Tanaka N, Matsumoto T, Yamamoto N, Matsunaga N. The usefulness of a diagnostic method combining high-resolution CT findings and serum markers for cytomegalovirus pneumonia and pneumocystis pneumonia in non-AIDS patients. Acta Radiol. 2015 Jul;56(7):806-13.
[5] Gasparetto EL, Ono SE, Escuissato D, Marchiori E, Roldan L, Marques HL, Frare e Silva RL.Cytomegalovirus pneumonia after bone marrow transplantation: high resolution CT findings. Br J Radiol. 2004 Sep;77(921):724-7.
作者介绍

周华
医学博士,浙江大学医学院附属第一医院呼吸与危重症医学科副主任医师,美国芝加哥大学医学中心research scholar。中华医学会呼吸病学分会青年委员、感染学组委员,中国医师协会呼吸系感染工作委员会委员等。
本文完
编辑:冬雪凝;排版:Jerry
未经许可,请勿转载