
面对以腹泻为主要症状来诊的患者,如何找出真凶?
作者丨轻舞飞扬
来源丨医学界消化频道
腹泻是消化科常见症状,通常定义为稀便,24小时内大便次数>3,若病程迁延超过4周,则为慢性腹泻。
与急性腹泻常为自限性病程不同,慢性腹泻病因非常复杂,临床转归差异极大。尽早准确判断出腹泻病因,是慢性腹泻患者正确诊治、尽快康复的关键。
面对以腹泻为主要症状来诊的患者,你能够满怀信心又有条不紊地攻克团团疑云,找出真凶吗?通过下面的一个病例来试试看吧。
病例介绍
患者男性,60岁,因顽固性腹泻5年余来院就诊。
既往5年来,腹泻症状间断出现,表现为水样便,不伴有腹痛。此次来院时大便次数约5次/天,黄便,稀薄不成形,未见脓液。
体格检查:前额皮肤可见小斑点或结节样病灶(图 I),双侧小腿均轻度水肿,余未见明显异常。

追问病史,该前额皮肤病灶已存在数年,无高血压、糖尿病、肾病、心血管疾病等病史。
实验室常规抽血化验结果:血清白蛋白水平1.5g/dL,偏低;C反应蛋白数值在正常范围。余常规项目未见异常。
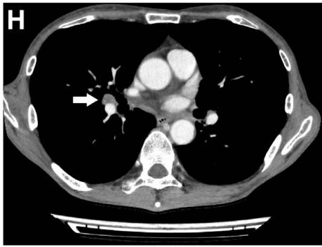
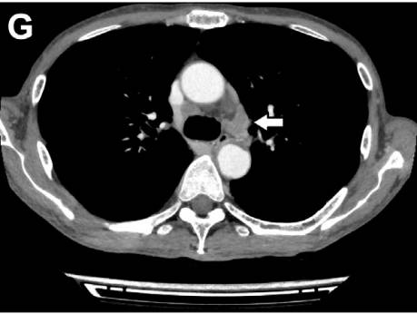
腹部CT增强扫描显示,纵膈淋巴结及肺门淋巴结肿大(图G、H)。

根据以上信息简单总结:
以慢性腹泻为主要症状,还伴随蛋白质丢失、皮肤病变、还有纵膈及肺门淋巴结肿大,如果这些表现是一种病因造成的(在疾病诊断中,一元论是首要原则),会是什么病呢?
肿瘤、结核、结缔组织病、全身免疫系统疾病等都可以导致这种类似的全身多个组织器官的病变。
诊断似乎还是很模糊,不妨继续完善检查,寻找证据:
结核菌素试验结果为阴性。
上消化道内镜检查结果显示:整个食道遍布白色小结节样病灶(图A);至十二指肠,可见黏膜水肿、粗糙不平(图B)。

而下消化道内镜检查结果显示:白色小斑点样病灶贯穿结肠(图C,窄带成像),且直肠黏膜水肿(图D)。但是末端回肠未见明显异常。

注:内镜窄带成像术(Narrow Band Imaging,NBI),是利用滤光器过滤掉内镜光源所发出的红蓝绿光波中的宽带光谱,仅留下窄带光谱用于诊断消化道各种疾病。

至此,你推断患者顽固性腹泻最可能的病因是什么?该如何诊治?
答案揭晓
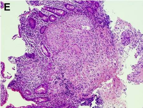
既然做了内镜发现了病灶,肯定要取活检,在病理结果出来前,或许很难判断。那么来看下病理:
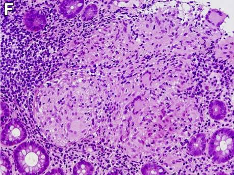
上、下消化道内镜检查时均予活检,结果显示:非干酪样上皮细胞肉芽肿(图E、F)。

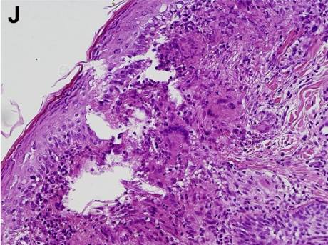
除了消化道病灶活检,还在患者前额皮肤斑点样病灶取活检,结果依然显示:上皮细胞肉芽肿病变(图J)。

此时心中有确定的诊断了吗?
为验证该诊断,该医生继续抽血化验,结果如下:
血管紧张素转化酶水平正常,但血清可溶性白介素-2受体(sIL-2R)为1443U/mL,明显偏高。
由此种种,可得出该病例中患者最可能的诊断:结节病。
该患者患有结节病,不仅表现在纵膈和肺门淋巴结肿大,还导致肠道病变,进而表现出慢性腹泻的症状;另外,其血清白蛋白的减少也是由于肠道病变引发蛋白丢失所致。
予氢化泼尼松30mg/d治疗后,患者血清白蛋白水平逐渐升高。