“怎么牙龈出血那么久才来治疗?”“听别人说洗牙不好......”这是国内的牙医们每天出诊的时候大概重复最多的对话。牙龈老出血?你该洗个牙了!其实洗牙的专业名词叫做“洁治”。是医生使用专用的医疗器械将牙齿表面堆积的牙菌斑、牙结石以及色素清除干净的一种专业治疗手段。

根据所使用的工具不同,临床上可以分成手工洁治和超声波洁治两种。手工洁治就是用类似“小钩子”的专业手工器械把牙结石从牙齿表面“撬”下来。主要在下面几种情况下使用:清洁牙龈下方的牙结石(专业名词叫做“龈下刮治”);针对某些特殊患者使用,比如安装了没有屏蔽功能的心脏起搏器的患者,以及患有某些特殊传染病的患者。
超声波洁治是用高频振动的工作头来清除牙结石,清洁效率比较高,目前在临床上广泛使用。洗牙时是超声洁牙机将牙齿的牙结石和色素震下来,不会磨掉宝贵的牙齿,牙齿组织也不会受到损伤。
我每天刷牙,为啥要洗牙?
医生,你是不是想坑我钱?
我们刷牙是为了清新口气?清除食物残渣?但是,这些都不要最主要的。其实,我们刷牙主要作用在于去除和干扰牙菌斑的形成。
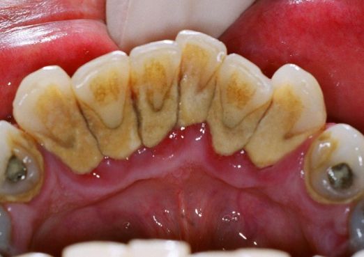
牙菌斑是由口腔内剩余食物残渣与细菌反应形成的,而且,肉眼的看不见的。 此外,牙菌斑是粘附在牙面上,所以不能被水冲去或者漱掉,只能由机械方法清除。然而,敌人太狡猾,即使我们再努力的刷牙。仍然有些顽固分子躲在隐蔽的角落发展壮大。

稍不留神,牙菌斑就进一步钙化沉积变成了牙结石。而这个牙结石就是牙龈炎、牙周炎的罪魁祸首。别人说洗牙会把牙缝变大!变敏感!经常听到:“我朋友洗完牙,牙缝都出来了”。洗完牙说牙缝变大的,那是因为已经患有不同程度的有牙周炎了

此图左侧是正常的牙周情况
牙龈把脆弱的牙根保护的很好,隔离了外界的各种冷热刺激;右侧是牙周炎的情况,由于牙石的长期压迫和牙龈的炎症,牙龈开始萎缩,牙缝增大。由于牙石的堆积、牙龈的炎症会导致牙龈的局部肿胀从而填塞牙缝,所以真相是:牙结石把你最真实的样子遮住了。一旦洗牙后去除了牙石,牙龈肿胀逐渐消退,牙缝就变得明显起来。这就是你牙缝为啥变大的原因。加上牙石阻挡了外界的刺激,洗牙去除牙石后牙齿暴露在外界环境中,自然会产生敏感症状。如果是健康的牙齿,这种敏感症状通常在洗牙后一到两周内会逐渐消失。
洗牙会让牙齿变白吗?
因为牙齿表面的牙釉质是透明的,深层牙本质则是偏黄色。因此正常牙的颜色其实是略带黄色的,而洗牙是帮你搞卫生,不是粉刷“房子”,因此洗牙不会让牙齿变得跟明星一样白,洗牙只是恢复牙齿的本色。