眼皮偶尔跳跳
“左眼跳财,右眼跳灾”
没啥大不了
但如果跳个不停?
甚至发展到面部和口角抽搐,
这是病——面肌痉挛!
得治!

近日,75岁的李婆婆(化名)忧心忡忡地来到我院,说起自己的病,老人很是无奈:“医生,您看我的眼睛和脸,完全变了样!这都要从4年前说起。”

当时无明显诱因,李婆婆出现右侧面部抽搐症状,主要为右下眼睑处肌肉阵发性抽搐,右侧眼角跳动,持续数秒至数分钟后可自行缓解。辗转多家医院,试过很多方法,效果均不明显。3个月前,李婆婆右侧面部抽搐症状加重发作频繁,间歇期明显变短,仍以右眼角跳动为主,伴有右侧嘴角抽动,并且自觉已影响右眼视力!
医生接诊后,仔细询问婆婆的情况,结合病史,初步判断为面肌痉挛,建议老人系统检查。

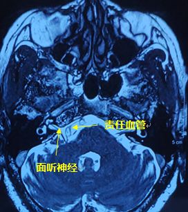
辅助检查MRI提示:“右侧面听神经走行区见关系密切血管,考虑责任血管;头颅MRA未见明显异常;双侧侧脑室周围脑白质脱髓鞘表现。"婆婆确诊为面肌痉挛,可以通过手术治疗!
得知有机会彻底摆脱这恼人的病,婆婆非常开心,当即决定手术!10月17日,由首都医科大学三博脑科医院专家、重庆三博江陵医院神经外科孙玉明主任主刀,在全麻下为患者进行右侧CPA入路面神经微血管减压术。

术中可见粗大的椎动脉及其分支自面神经腹侧压迫,考虑此为责任动脉。将血管与面神经及其进出脑干区域分开,置入Teflon棉,彻底减压。电生理监测侧方扩散波消失。

术后李婆婆原有右侧面部抽搐症状消失,无明显听力下降、面瘫等症状。术后婆婆非常开心,对我们的医护人员们竖起了大拇指。

(术后)
孙玉明主任温馨提示:面肌痉挛属于进展性疾病,随着时间的推移,疾病逐渐加重,一般是不会自愈的。且随着年龄的增长,容易血管硬化,从而加重病情,而对于发作数年不见痊愈的病人,应采取积极的治疗措施,以防更严重的后果出现。

专家在线
孙玉明
副主任医师
三博江陵医院
神经外科主任
重庆三博脑科主任

荣誉:北京三博神经外科专家、医学硕士。以第一作者或主要作者在国家核心期刊杂志上发表文章10余篇。参与编译2部神经外科专著。担任全国显微神经外科学习班带教工作。承担国家重点专科建设项目《烟雾病的外科治疗》。课题“颌内动脉搭桥治疗颅内巨大、蛇形和巨肠型动脉瘤”获2016年华夏医学科技奖三等奖。
擅长:
颅内及脊髓肿瘤:脑胶质瘤、颅咽管瘤、垂体瘤、脑膜瘤、神经鞘瘤、后颅窝肿瘤、脑转移瘤、淋巴瘤、生殖细胞肿瘤、脊髓肿瘤、脑积水等的诊断及治疗。
脑血管病:烟雾病、动脉瘤、动静脉畸形、动静脉瘘、海绵状血管畸形、颈动脉狭窄、缺血性脑血管病、高血压脑出血等的外科微创治疗。
功能神经外科:微血管减压术治疗三叉神经痛、面肌痉挛等;癫痫的外科手术治疗等。
青年骨干
彭 俊
副主任医师

毕业于泸州医学院临床医学系。从事临床工作10余年,曾在首都医科大学三博脑科医院、西南医院神经外科进修学习。
擅长:颅内肿瘤(垂体瘤、听神经鞘瘤、颅咽管瘤、胶质瘤、脑膜瘤)、颅脑外伤、高血压脑出血的诊疗。

重庆三博江陵医院
技术 品质 服务
高端技术服务普通大众
首都医科大学三博脑科医院(总院)
卫生部国家临床重点专科(神经外科)
中国抗癫痫协会临床实践与培训基地
重庆市城镇职工医保、城乡合作医保
工伤、生育、商业保险定点医院
特病鉴定医院
神经外科
咨询:023-67933011
18084015766(24小时)
医保:023-89231080
急救:023-67930120