
作者 | 吴岩峰、王现旺、李晓青、马宁
颅内动脉狭窄的病变长度超过10mm考虑为长段病变(Mori C型病变),我们既往的病例有过汇报(详见第26期:天坛周记 | 左椎动脉V4段长段重度狭窄支架治疗一例)。本周我们干预了一例左大脑中动脉M1段长段重度狭窄,现将支架治疗的过程分享如下。
病例详情

病情信息
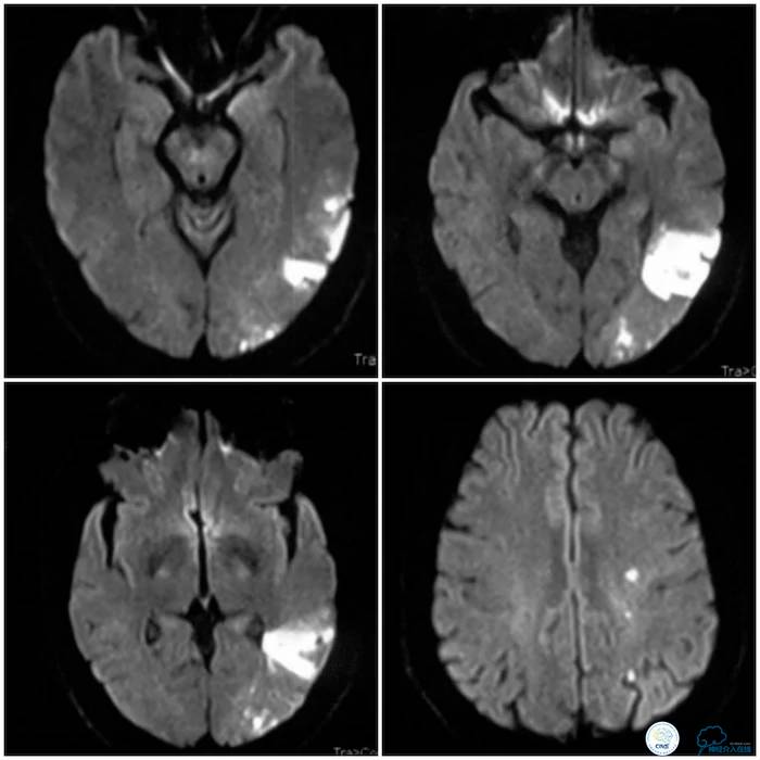
患者,男性,50岁,主因“右侧肢体无力伴言语不利2个月”入院。患者2个月前无明显诱因出现右侧肢体无力,表现为右上肢持物欠稳,右下肢行走拖曳,伴命名性失语,肢体无力持续约5分钟好转,但仍有言语笨拙。至当地医院就诊,查头颅MR示左侧颞枕分水岭区脑梗死(图1)。

图1
查头颅CT示左颞枕叶分水岭脑梗死(图2)。

图2
予“拜阿司匹林、氯吡格雷、阿托伐他汀”,治疗症状好转出院。2周前患者症状反复,再次到当地医院就诊,复查头颅MRI示左侧基底节区、放射冠、半卵圆中心、顶叶多发急性脑梗死(图3)。

图3
MRA示左侧大脑中动脉狭窄(图4)。

图4
现为进一步行血管内治疗收住我科。
既往慢性胃炎病史,否认高血压病、2型糖尿病史。
入院时神经系统查体:言语欠流利,余体征阴性。
入院后给予双联抗血小板(拜阿司匹林100mg 1/日+波立维75mg 1/日)、降脂(立普妥20mg 1/日)、补液等治疗。
血栓弹力图:AA 98.1%,ADP 90.3%。LDL 1.17mmol/L。
入院头颅CT:左额颞叶、放射冠、基底节区可见多发斑片状低密度影。
CTA:左大脑中动脉水平段狭窄(图5)。

图5
CTP:左额颞顶叶rCBF下降、rCBV正常/下降、MTT、TTP延长(图6)。

图6
HRMRI:左大脑中动脉M1段前下管壁增厚,呈不均匀等T1等长PD信号影。增强扫描显示局部明显强化,管腔明显狭窄。考虑左侧大脑中动脉M1段前下壁斑块形成,管腔明显狭窄(图7)。

图7
DSA:左大脑中动脉M1段重狭窄,狭窄段较长,大于10mm。同侧大脑前及大脑后动脉对左大脑中动脉供血区域代偿不佳(图8、9)。

图8

图9
术前讨论
1. 左大脑中动脉M1段狭窄,病变较长,目测超过10mm,高分辨提示管腔内系动脉粥样硬化斑块,在抗栓治疗后依然有症状反复,有介入治疗指证。
2. 病变段总体还比较平直,考虑使用稍长球囊扩张,考虑到病变血管直径相对较细,拟先用1.5mm球囊扩张,根据扩张效果再放置自膨式支架。
3. 治疗风险:穿支闭塞,长病变支架置入后急性或亚急性血栓形成等。
治疗过程简述
全麻下右股动脉穿刺置入6F动脉鞘,6F导引导管至左颈动脉C2段以远,造影示左侧大脑中动脉M1段重度狭窄。沿导引导管送入Tansend(0.014″300cm)微导丝至M2段。Gateway球囊(1.5mm×15mm)于狭窄处预扩张。造影示残余狭窄约60%(图10)。

图10
沿微导丝送入Gateway球囊(2.0mm×15mm)在狭窄处第二次予以扩张。扩张后狭窄程度较前改善,但颈内动脉与大脑中动脉交界区见有造影剂滞留,不除外夹层形成(图11)。

图11
置入Wingspan支架(3.5 mm× 20mm),支架近端位于左颈内动脉C7段,释放后造影见支架贴壁良好,远端血管显影好,前向血流TICI3级(图12)。

图12
总结
1. 初选择球囊直径为1.5mm,主要想避免过度扩张的潜在穿支动脉损伤风险,但扩张后残余狭窄率高,故选择2mm球囊再次予以扩张。
2. 选择3.5 mm× 20mm的自膨支架,有两个原因:① 扩张后M1段远端不除外夹层,希望放置长支架后完全覆盖病变;② 由于左颈内动脉远段和左大脑中动脉的直径过于悬殊,希望支架在左颈动脉C7段释放后能完全贴壁。