钙化是指的是在骨与牙齿外的软组织内固体性钙盐的沉积。分为营养不良性钙化和转移性钙化。营养不良性钙化是指继发于局部变性、坏死组织或者异物(血栓、寄生虫卵等)的钙化。由于钙磷代谢障碍所致的钙化为转移性钙化。本文对颅内钙化病理篇进行总结,首先介绍上半部分~
作者: 云中跑步
来源: 粉色的小药丸
感染
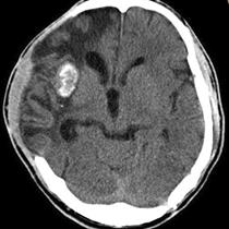
1. 脑囊虫
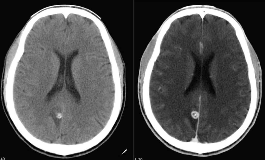
囊虫的钙化形态各异,取决于脑囊虫四个主要阶段(也称为Escobar的病理阶段):a囊泡期:活的寄生虫有完整的包囊膜,囊壁光滑,内可见头节,无强化。因此没有宿主反应。b胶状囊泡期:包囊破溃,包囊的液体渗入组织,周围有水肿。此期引发强烈的免疫反应,所以此期的临床反应最重。见下图。

c颗粒结节期:随着囊肿进一步变性缩小,水肿减轻;增强仍存在。d结节钙化期:终末期,静止的钙化囊残余;没有水肿。

脑囊虫可以累及CNS系统各个部位:

2. TORCH感染
T: toxoplasmosis,弓形虫;O: other (e.g. 梅毒, 水痘-带状疱疹等);R: rubella,风疹;C: cytomegalovirus (巨细胞病毒,CMV) – 最常见;H: herpes simplex virus (HSV),单纯疱疹病毒。

先天性CMV感染

先天性巨细胞病毒感染
代谢性疾病
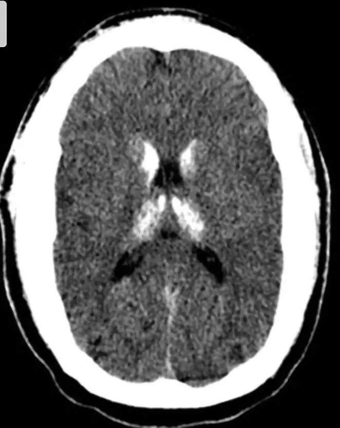
包括甲状旁腺功能减退、假性甲状旁腺功能减退、Fahr病等。这类疾病以前大家都很熟悉,甲状旁腺功能减退意味着甲状旁腺素降低,血钙降低,血磷升高,出现转移性钙化(基底节区常见)。假性甲状旁腺功能减退属于遗传性疾病,患者的甲状旁腺激素受体异常,患者临床表现和生化表现与甲状旁腺功能减退一样,但是其甲状旁腺激素是升高的。患者可伴发育异常和智力障碍,骨营养不良等。假-假性跟假性患者临床表现、影像学表现相同,但是患者生化及甲状旁腺激素全都正常。Fahr’s病多为家族遗传性,发病患者多为40~50岁,临床表现多种多样,包括神经、精神、认知等方面的异常。
1. Fahr’s病
疾病见下图。

2. 假性甲状旁腺功能减退
疾病见下图。

3. CEC综合征(Celiac disease, epilepsy and cerebralcalcification syndrome,CEC)
也称为Gobbi综合征,表现为乳糜泻、枕叶癫痫和双侧枕叶钙化的综合征。

脑损伤病史
1. 脑脓肿

2. 脑梗死

3. 脑出血

脑血管畸形
1. 脑AVM

2. Sturge-Weber综合征

遗传性疾病
1. von Hippel-Lindau综合征
希佩尔-林道综合征( von Hippel Lindau syndrome,VHL 综合征)是一组临床上较为罕见的多发性、家族性、多器官累及的良、恶性肿瘤综合征,可累及到的主要器官有脑和脊髓,视网膜,胰腺,肾脏以及肾上腺和附睾等。60%-80%的患者可有血管母细胞瘤,常见部位是小脑和脊髓。有的患者表现为脉络丛乳头状瘤。

2. 结节性硬化
结节性硬化临床表现以皮脂腺瘤、癫痫和智力低下三联症为特征。病理特点为错构瘤,以室管膜下多发结节状钙化为主要特征性改变。

3. Cockayne综合症
又称小头、纹状体小脑钙化和白质营养不良综合征/侏儒症/视网膜萎缩和耳聋综合征。病理表现为脑白质脱髓鞘外,皮质、基底节及小脑有铁和钙质沉积。常于20—30岁死亡。CT检查除了脑白质脱髓鞘、双侧基底节及其他部位钙化外,可见颅骨和脑膜增厚,脑室和脑沟扩大。

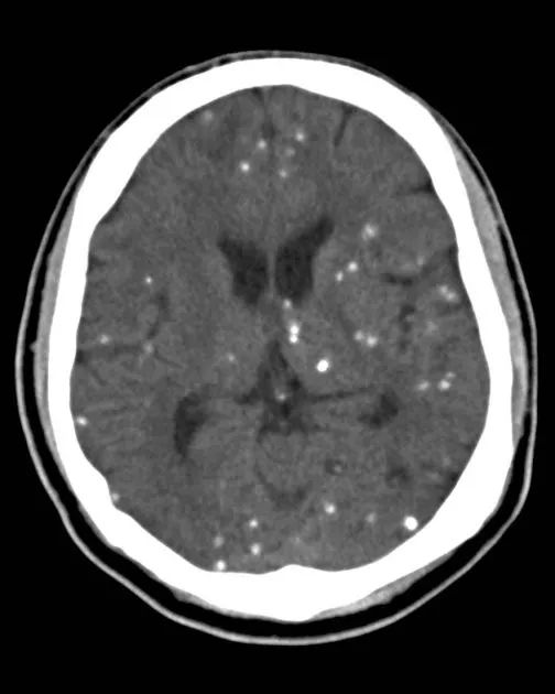
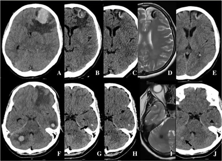
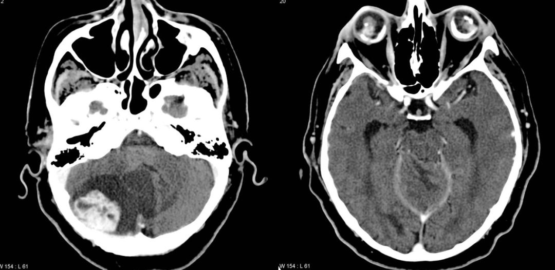
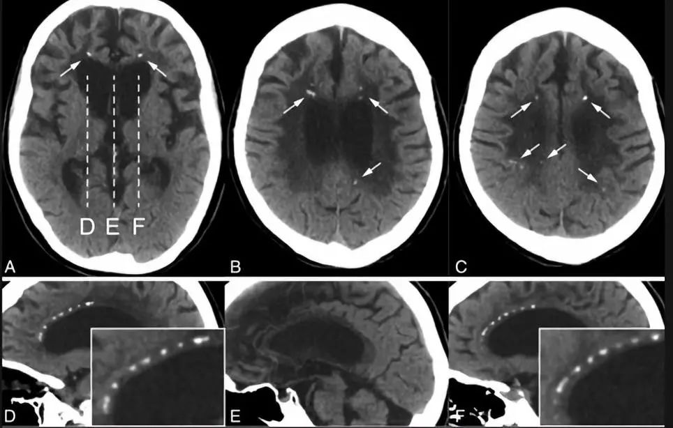
4. 神经纤维瘤病
神经纤维瘤病患者大脑半球及小脑半球表面也可钙化,少数情况下钙化发生在室管膜下及基底节。下图是一例NF-2患者的头CT。

理化因素中毒
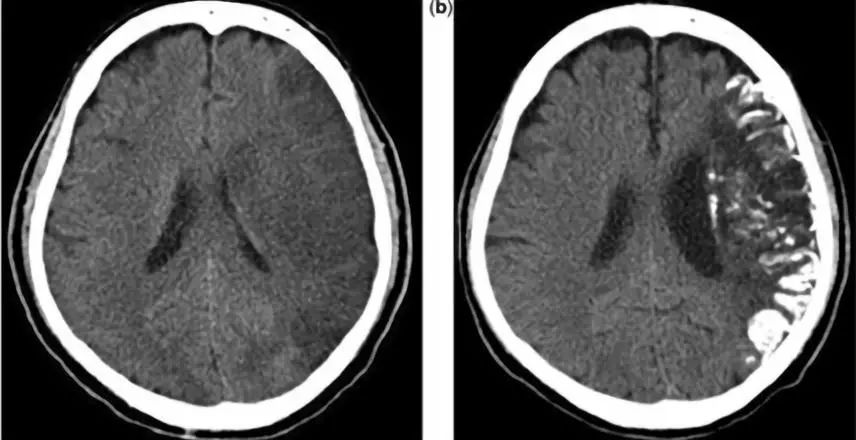
1. 放射损伤
矿化性微血管病:是指营养障碍性脑实质钙化,通常发生在治疗后两年,尤其是同时行放化疗的患者。钙化常常位于基底节(壳核)、皮质下白质和丘脑。

其他还包括CO中毒、铅中毒、肾病综合征等。
神经变性病
1.成年发病的白质脑病合并轴索球样变和颗粒样胶质细胞(adult-onset leukoencephalopathy with axonalspheroids and pigmented glia,ALSP)
包括临床表型和病理特点十分相似的2种疾病:遗传性弥漫性白质脑病合并轴索球样变(hereditary diffuse leukoencephalopathy with spheroids,HDLS)和家族性颗粒样细胞白质脑病(pigmentary leukodystrophy,POLD)。临床症状包括性格行为改变、精神症状、进行性认知功能衰退、运动障碍如非对称性帕金森综合征、皮层功能障碍等。典型的钙化特征是脑室周围小钙化灶。其他影像表现有:早期双侧非对称性局限性T2/Flair高信号,以额叶或额顶叶为著,主要累及深部,皮质下脑室周围白质束。可有皮质脊髓束受累,弥漫性脑萎缩,脑室扩大,伴胼胝体发育不良及异常信号。

2. Urbach-Wiethe病
又称为类脂蛋白沉积症(LP),皮肤黏膜透明变性,是一种罕见的常染色体隐性遗传病,由Urbach和Wiethe于1929年首次描述,因此又名Urbach-Wiethe病。本病主要在皮肤黏膜损害及大脑钙沉积,使人脑部的杏仁核硬化萎缩,而杏仁核主管人类的恐惧反应。常发生于婴儿。全球已知的仅有约300个病例。该病颅内因类脂蛋白沉积而致癫痫或精神症状。这种患者挺有意思,他们对恐惧缺乏正常反应,那些喜欢冒险比如酷跑等极限运动的人可能就是这个病。

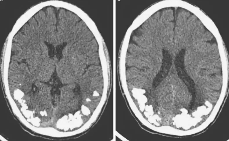
多发性骨髓瘤
多发性骨髓瘤是一种产生单克隆免疫球蛋白的浆细胞浸润性肿瘤。其主要影响骨骼、肾脏和造血组织,但也累及神经系统。头CT可见斑点样钙化,颅骨可见溶骨性质地破坏。

由于篇幅关系,肿瘤性钙化我们将会在以后总结,敬请关注~