说到气胸不由得又遐想了一下下,行医20年,刚刚参加工作那会儿,由于年轻医生经常要值24小时班,所以经常在急诊收到一些年轻的气胸患者,有的才十岁出头,有些十六七岁,二十岁都算年纪大的,这些气胸的孩子往往都有一个特点-----体型瘦长,常常莫名其妙的胸痛,爬楼梯气短,到医院一拍片-----自发性气胸,影像上特征性非常明显,报告上多会提示:气胸,肺压缩百分之多少多少云云。正常情况下只有肺破了个小口子,气体才会从肺里跑出来,跑到胸腔里,气体的多少就会导致肺压缩多少。

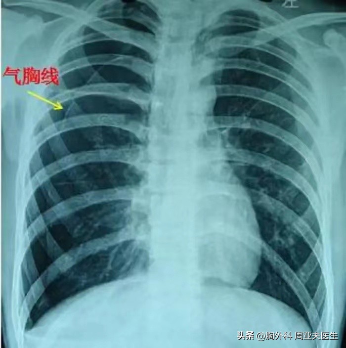
所谓的气胸线,就是肺压缩后的肺边界,正常的非边界与胸壁是重叠的
一般来说压缩30%以内会暂时不插胸腔引流管,让其吸氧,很多患者不理解,我又没有出气不赢为什么要吸氧,医生你是要赚钱吗?其实这是所谓的氧疗,气胸在吸氧的情况下胸腔内气体吸收速度大约快4倍左右,别误会,是为了让你快点好!压缩超过30%的时候就会做所谓的胸腔闭式引流了,其实就是插根管子插到胸腔里,外面接个液封瓶,管子插在液体里面,利用患者的呼吸动作把气排出去,而管子是没入液体里面的,所以可以在瓶子里看到有气泡咕噜咕噜溢出来,气体能出来却不能回去,相当于一个单向阀门,也就意味着患者每呼吸一次就往外排一点气,排着排着就排完了,当然,前提条件是肺上漏气的地方已经没漏了,如果肺上漏气的地方没有愈合,还在持续漏气的话那么瓶子里还会持续咕噜咕噜的漏气。
在20年前没有所谓的微创技术,开胸还需要打断一根肋骨,二十几个公分的切口,切开好几层肌肉,用金属撑开器掰开肋骨才能把肺上的破口人工修补好,这对于这么小的疾病来说是非常残忍的,所以,过去经常就是一发气胸就来插根引流管,自发性气胸几乎没有不复发的,尤其对于孩子,运动量又大,学习压力也大,瘦长体型的人肺尖很容易形成肺大泡,这东西又很容易破,如图:


我们可以看到,类似这种白色的泡一旦破裂想让它自行愈合是何其难,它只有薄薄的一层膜,谈何愈合,所以很多孩子身上带着引流管一带就是一两个星期,想想也是造孽,记得有两个运动员,体育专业的,运动能力运动成绩都非常好,由于反复发气胸导致这两孩子最后没有走运动员这条路,因为家长怕孩子一锻炼用力肺大泡又破了又发气胸。
由于微创技术的进步,现在单孔胸腔镜手术就可以裁剪掉这些泡,外科技术进步让很多家长有勇气选择手术的手段来治疗,这放在20年前是不敢想的。好消息是,不但外科技术进步了,我们的麻醉技术也进步了,原来需要插双腔气管插管的手术现在下个喉罩靠患者术中自主呼吸就可以完成这个手术,导致患者术后恢复极快,手术后麻醉清醒了可以自己走回病房,第二天几乎就可以出院。
当然这是指的年轻人的气胸,相对没那么复杂,还有一些慢阻肺的老烟枪气胸依然还是很难治疗。以后有时间再聊聊老年人COPD的气胸吧。