@儿童牙医嵘 葉子口腔科普 今天

孩子换牙期,会经历“丑小鸭”的阶段,比如,上门牙呈外"八"字成长,此时家长会很着急——孩子的牙齿是不是不齐?要不要戴牙套呢?
01
为什么上门牙会呈外"八"字成长?
其实,这是由于侧边两颗还没有萌出的牙齿的牙胚,挤压了大门牙的牙根,所以刚长出的门牙会呈现外"八"字。
这种"丑小鸭"阶段只是过渡期,随着侧边牙齿的萌出,暂时的"异常"就会自然消失。

02
侧切牙萌出后,上门牙还呈外"八"字怎么办?
一般在侧边牙齿萌出后,上门牙呈外"八"字排列的情况会恢复正常。但是,也会有例外。
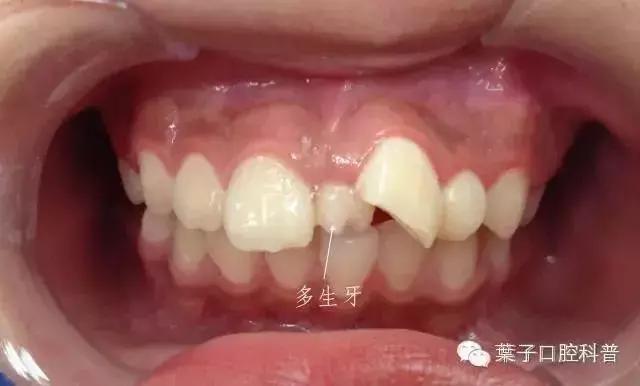
一位八岁多的漂亮小姑娘,她妈妈带着来看医生,说是因为小姑娘后面的大牙蛀牙了,吃饭时总说疼,而且老塞牙,希望能彻底治好。
照片可以看到,孩子的侧切牙已经长了,但上门牙还呈外"八"字,门牙之间缝隙很大。

医生给小女孩进行了常规检查后拍X线片,结果发现:有多生牙,而且是两颗。

孩子的妈妈说道,“这个门牙之间牙缝越来越大”。
所以,定期给孩子做牙齿检查还是必不可少的,因为这能提早发现问题。
03
什么是多生牙?孩子长了多生牙怎么办?
多生牙 —— 顾名思义,就是多余长出来的牙齿,最常见的是上颌“正中多生牙”,也就是长在门牙之间的牙齿。

一般来说,单侧或对称都有可能生长,有的已经萌出,有的会埋伏阻生,有的甚至会倒着长。多生牙一般是小锥形,牙根较短。
上述案例中小姑娘的多生牙是属于埋伏生长。还有一种情况是,“长出来”了的多生牙。
这是一位刚开始换牙的小朋友,新换出来的牙齿特别小,而且是锥形的。家长还以为是门牙形状畸形,带着来医院检查,才发现原来这是多生牙。

还有一位小朋友,在上门牙里面又长出来两个尖尖的牙齿。这也是多生牙。

多生牙这种不速之客,要是来了,就需要把它给赶走。
这个小朋友的多生牙占据了门牙的位置,但由于多生牙没有及时拔除,影响了其它正常牙齿的排列。
这时,门牙只能占据侧切牙的位置,那侧切牙只能委屈地排列在门牙的后面,那里不拥挤而且凉快哦。

这位小朋友也一样,由于两颗门牙之间有多生牙先行萌出,导致左上门牙不能萌出到正常位置,只能向外侧萌出,俗称“牙齿龅出来”了。如果受到外伤,这颗牙会很容易折断。

ღღღ
定期观察,发现异常看医生,是及时发现问题的重要手段。
图片 | 网络
来源 | 《孩子门牙缝大需留意,当心是多生牙作怪 》《孩子换牙时的6大问题,家长必须提前知道》 @儿童牙医嵘(口腔医学硕士)
编审&排版 | 牙医麻麻Debbie(口腔医学硕士)
猜你喜欢:

和小葉子聊聊:
你家宝宝换牙时还会有哪些“异常”?
投稿、合作、加入:dentalleaf@gmail.com

阅读原文阅读 8552