患者情况
患者,女,67岁,因“下腹部疼痛3天,加重1天”入院。3天前无明显诱因下出现下腹部疼痛,呈胀痛、刺痛,伴恶心呕吐,呕吐胃内容物,遂至外院就诊,予对症处理(具体不详),症状稍缓解。昨日突发下腹部疼痛难忍,较前明显加重,伴恶心呕吐,在家服药后未见缓解,遂至我院就诊。
查体情况
患者腹稍膨隆,腹肌紧张,下腹部压痛,反跳痛,腹部未扪及包块,肝右肋下、剑突下未触及,脾未触及,墨菲氏征阴性,肝区无叩击痛,双肾区无叩痛,移动性浊音阴性,肠鸣音弱。
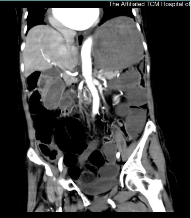
全腹CT结果:1.考虑肠梗阻,回肠远段(近回盲部处)肠管壁处透亮气体影,肠管内气体?不除外肠壁坏死积气可能,请结合临床。乙状结肠术后改变。2.肠系膜上动脉血栓形成;门静脉及肠系膜上静脉管腔内有脂肪密度影,请结合临床考虑。3.肝内多发小囊肿;肝左叶部分胆管积气。4.胆囊多发结石。左肾囊肿。5.子宫内金属密影,考虑节育器。6.所及心脏增大。

患者既往有心脏不适,未至医院检查,结合目前影像学检查,考虑是房颤导致血栓脱落,血栓堵塞肠系膜上动脉引起肠坏死可能。急诊外科医生迅速向上级医师汇报情况,外一科吴江平主任及杨振淮副主任指示,肠系膜上动脉血栓形成是外科急危重症,尽早行剖腹探查,全力抢救病人!
送入手术室时,患者出现了血压下降,心监提示心率增快,房颤率。李关宁副主任医师主持抢救,考虑肠系膜上动脉血栓形成是外科急危重症,房颤引起血栓并不是短时间形成,CT提示肠坏死可能,需要尽快剖腹解除感染!分秒必争,麻醉师及外科医师顶住压力,在抗休克同时进行手术。
打开腹腔瞬间,一股腐臭味扑面而来,在场的人惊呆了。患者全程小肠及升结肠瘀黑肠管扩张坏死,横结肠中段及远端结肠无明显坏死,胃储留扩张、十二指肠明显扩张。李关宁副主任医师及耿燚副主任医师判断,此时对肠系膜上动脉进行切开取栓已经无意义, 切除坏死肠管才可以挽救患者生命。随即两人熟练为患者切除坏死全小肠及右半结肠,行十二指肠及结肠吻合。术后患者转ICU进一步复苏。
“这是我第一次看到如此大面积肠坏死,患者死亡率极高。”从事临床工作20多年的李关宁副主任医师由衷感慨。幸运的是,经过ICU积极抢救治疗后已经转外科进一步治疗,外科罗润妹护长带领团队为患者提供无微不至术后护理及康复治疗。
目前患者病情已明显好转,但李关宁副主任医师指出,患者全小肠切除,只剩余十二指肠及部分结肠,基本丧失营养吸收能力,只能长期依靠肠外营养,生活质量及远期预后会较差,因此肠系膜缺血性疾病必须早期诊断,在肠出现坏死前进行取栓或溶栓治疗才能有良好的疗效。


系膜上动脉血栓形成是外科急危重症,容易出现误诊,该病通常发病急骤,为突然发生的腹部持续性剧烈绞痛,难以局限性,伴有频繁呕吐。若诊断、治疗不及时可能危及生命。研究表明,该病死亡率超过50%。
肠系膜上动脉是腹主动脉发出的重要分支,供应了供应所有小肠、右半结肠和大部分横结肠,若该血管被栓子完全堵塞,将导致所供应的肠管出现急性缺血坏死,甚至出现低血容量休克或感染性休克等。

该病栓子多为心源性,多来自风湿性心脏病、冠心病、房颤等;也有部分为血管源性,如动脉硬化斑块脱落、动脉瘤附壁血栓脱落等;部分患者有血管介入检查或治疗操作史。本病早期多表现为“Bergan三联征”(剧烈而无相应体征的腹痛、器质性心脏病和并发房颤的心脏病、胃肠排空障碍表现例如腹泻、血便),病史采集尤为重要。本病病程早期外周血白细胞可明显升高,腹部X线片可见气液平面、肠腔积气、肠管扩张等肠梗阻征象。动脉造影为最直观准确的诊断方法,可以明确肠系膜上动脉全部情况。CTA对该病诊断的特异性和敏感性可高达100%和73%。 应对该病, 应尽早诊断,尽早手术治疗,迅速去除血管内的栓子,恢复肠系膜上动脉的血液灌注。对于早期高度怀疑者,若条件允许可行动脉造影,根据造影选择是否介入治疗。若出现肠坏死时,则尽早手术切除坏死肠管,避免出现感染性休克。
来源:广州医科大学附属中医医院