寄生虫
一个听了让人头皮发麻的名字
也许大家都害怕它
但你们知道吗?
很多寄生虫病其实就在我们身边
日常稍不注意
就可能会影响你的生命健康
常见的寄生虫病有哪些?
感染后应该怎么办?
一起往下看
↓↓
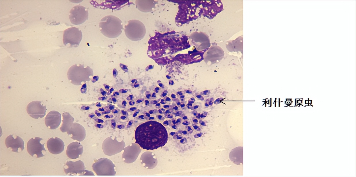
黑热病
2016年,消失三十多年的本地黑热病又在我省出现,目前已波及5个省辖市13个县(市、区),且呈现持续蔓延态势。黑热病是利什曼原虫寄生于人体巨噬细胞内,经过白蛉叮咬而进行传播的一种寄生虫病,主要呈现长期规则发热,全血细胞减少性贫血和肝脾淋巴结肿大等临床表现,若得不到适当的治疗,大都在发病后1-2年内病情恶化而死亡。由于我省多年未发生过本地黑热病病例,许多大夫对该病了解较少,临床漏诊、误诊非常常见,有些病例从出现症状到确诊居然长达半年之久,我省近几年还有过重症和死亡病例。


疟疾
虽然我省已经10年没有疟疾本地病例,成功实现了疟疾消除,但境外输入病例持续存在,疟疾诊疗中漏诊、误治和用药不规范等问题时有发生。特别是随着新冠病毒感染实施“乙类乙管”、国境口岸有序开放等措施的落实,预计海外滞留人员将陆续返回,输入性疟疾病例正在持续增多,输入病例引起的再传播风险也将持续加大。想提醒大家的是,恶性疟发展很快,若不能及时诊断和治疗极易发展为脑病、多脏器衰竭甚至死亡。

肠道线虫病
人群肠道重点寄生虫病感染率和感染度虽有显著下降,但估算我省每年感染人数仍在100万左右,特别是蛲虫病在广大农村的托幼机构广泛流行,儿童平均感染率超过10%!除了儿童,近年来老年人肠道寄生虫病的感染率也较高,多因日常种菜等接触土壤频率较高,使用未经无害化处理的农家肥施肥,导致钩虫等土源性线虫的反复感染。门诊近年来还发现多例粪类圆线虫的感染病例,其中一例因后期广泛扩散至多脏器,最后导致死亡。

食源性寄生虫病
随着某些民间验方的网络流行和追求自然、原生态等生鲜饮食时尚的兴起,华支睾吸虫病(肝吸虫病)、并殖吸虫病(肺吸虫病)、曼氏裂头蚴病、绦囊虫病、广州管圆线虫病、片型吸虫病、颚口线虫病等各种食源性寄生虫病也频繁地出现在公众视野。这类寄生虫多寄生于人体组织内,对人体危害很大,且因临床症状复杂多变极易误诊。

肠道原虫病
除了常见的细菌、病毒外,阿米巴、蓝氏贾第鞭毛虫、人芽囊原虫等肠道原虫也是腹痛、腹泻等胃肠道症状的重要病原微生物,这些寄生虫病呈现明显的家庭聚集性。门诊曾在医院送检的一名腹泻儿童粪便中检出大量蓝氏贾第鞭毛虫的滋养体,后对其他家人进行检测,发现其父亲粪便内也有蓝氏贾第鞭毛虫的包囊。2022年,我们对307例结直肠癌患者进行实验室检测,发现蓝氏贾第鞭毛虫感染率高达8.1%!

输入性寄生虫病
除输入性疟疾外,输入性的皮肤利什曼病、埃及血吸虫病、曼氏血吸虫病等也均曾在我们门诊被诊断发现,有些病例感染后经过了长达十年多家医院的诊疗最终才被确诊,给病人带来了巨大的健康损害和经济损失。所以,归国人员出现不明原因的发热、皮肤病变、血尿、嗜酸性粒细胞增多等异常临床表现,排除医院常见病后也应关注是否有寄生虫的感染。

看到这里
想必大家对寄生虫病有了初步的了解
那么
感染了寄生虫病
或者怀疑自己感染了寄生虫病后
最先要做的就是及时就医
咨询专家并进行相关寄生虫病的检测
河南省疾控中心设立寄生虫病咨询门诊
可以为大家提供相关咨询服务
↓↓↓
为什么要设立寄生虫病咨询门诊?
随着丝虫病和疟疾的消除及常见寄生虫病的显著减少,目前省内绝大多数医疗卫生机构都缺乏专业的寄生虫病检测人员和检测试剂,致使黑热病、包虫病、肝吸虫病等漏诊、误诊较多。寄生虫病咨询门诊的设立就是为了协助临床医疗机构对疑似病例开展检测,协助临床诊断,提供治疗建议,同时对公众中有寄生虫病诊疗需求的人群进行免费咨询和专业的健康宣教。
主要咨询内容和检测项目都有哪些?
1.健康咨询: 寄生虫病感染原因、临床症状、诊断治疗、预防控制等相关内容的免费咨询。
2.健康宣教: 对有寄生虫感染风险的人群进行相关健康知识的宣教。
3.血清学(寄生虫抗体)检测: 主要包括并殖吸虫(肺吸虫)、囊虫、曼氏裂头绦虫(曼氏裂头蚴)、包虫、血吸虫、旋毛虫、华支睾吸虫(肝吸虫)、 丝虫、弓形虫等。对于脑型寄生虫病也可送脑脊液样本进行检测。
4.血涂片镜检 : 疟原虫(间日疟、恶性疟、三日疟、卵形疟)、巴贝西虫等。
5.骨髓片镜检: 利氏曼原虫、锥虫等
6.粪便检测: 可通过肠道粪便排出体外的寄生虫的成虫、虫卵、包囊和滋养体(钩虫、蛔虫、鞭虫、蛲虫、肝吸虫、血吸虫、姜片虫、阿米巴、蓝氏贾第鞭毛虫病等)。
7.痰液检测: 并殖吸虫(肺吸虫)、粪类圆线虫等在痰液中可见的虫卵和幼虫。
8.虫体鉴定: 对于人体消化道、呼吸道和眼部等部位寄生的疑似虫体组织进行虫种的形态学和分子生物学鉴定。
前来就诊都有哪些注意事项?
1.为节省患者时间, 就诊前请拨打咨询电话 (0371-68089220)了解就诊的相关事宜和所携带物品,以免病人多次往返。
2.因寄生人体的寄生虫种类众多,检验方法各异,就诊时请 务必带齐所有诊疗资料和既往检查结果(特别是血常规化验单、B超、CT、核磁等影像学片子和检验报告单) ,以便医生快速全面的了解病情,选择适宜的检验和治疗方法。
3.吃饭不影响寄生虫检测结果,血液抗体检测 无需空腹 。请咨询好需要送检的样本后,在医疗机构把血液、粪便(至少大枣大小)、痰液(24小时痰液)等相关样本采集好直接送来,可大大节省咨询时间。
4.如想对在粪便内或其他身体部位发现的寄生虫进行鉴定,请将其分离后放入生理盐水中尽快送来;如时间较长,请放入含70% 医用酒精 内交与门诊医生。
5.以下是门诊寄生虫病人常见的流行病学和临床的主要表现,对疾病诊断非常重要,如非病人本人前来就诊,请事先了解病人既往有无以下情况:
(1)发病前有生食或半生食动物肉类(包括 溪蟹 、猪、牛、羊、 鱼 、青蛙、 蝌蚪 、 黄鳝、泥鳅 、虾等)或喝生水的经历;
(2)发病前去过 疫区 或接触过来自疫区的东西(如患者曾去过非洲、东南亚等疟疾流行区;去过有包虫病流行的*疆新**、*藏西**、青海、内蒙、甘肃、宁夏等西北地区,或接触过来自西北牧区的动物或物品;去过*疆新**、山西及我省黑热病的主要流行县区)。
(3)出现 皮下移动性包块 或发现虫体移行痕迹;
(4)排除过敏性或血液疾病后的不明原因 嗜酸性粒细胞增高 ;
(5)在粪便内或肛周、皮下、口腔、睑结膜等部位发现寄生虫虫体;
(6)其他非特异性症状:如有嗜酸细胞增高,出现不明原因的发热、腹痛腹泻、贫血、四肢肌肉疼痛、肝脾肿大、头痛、癫痫、咳嗽、咳痰、胸痛、胸水、心包积液、囊肿等。
我们的联系方式
为了更好的服务患者、协助临床开展寄生虫病的诊断和治疗,我们的寄生虫病咨询门诊搬家啦!
新址就在:郑州市金水区纬五路47号(纬五路与经二路交叉口向南70米路东,河南省疾病预防控制中心门诊部内,河南省人民医院健康管理中心二部南侧)
1. 门诊咨询时间:每周一至周五 上午9:0—12:00
2. 门诊咨询电话:0371—68089220
3.其它咨询电话:0371-68089281/68089276 13653865326
4.交通方式:附近有地铁5号线外环(省人民医院地铁站A1口),S126,47路等公交车。
来源:河南疾控