涓栫晫棣栦緥car t鐤楁硶娌绘剤鑲濈檶 (涓栫晫绗竴渚媍art娌绘剤鏅氭湡鑲濈檶)

癌症,一个敏感的词汇,它的背后往往连接着一个接一个的选择。因为工作的缘故,我长期接触各种与癌症相关研究内容,身边也总有故事不停上演,悲喜交加。

渐渐地你发现,非常多的人在面对选择的时候,往往踌躇不前、摇摆不定。其实生活不是不给你选择,而是你只想要一个只有好的部分没有不好的部分的选择。所以面对选择,你接受不了、承担不了,才会做不出任何选择。

也许你会说,不要让我选择。是的,当仅剩一条路摆在眼前的时候,你反而很轻松。可是从另一个角度来看,往往这时候也是情况最危急的时刻吧!

今天,我来分享的一个真实的案例。

肝癌移植后复发转移,索拉非尼治疗进展,可以参考的标准疗法已经用尽,免疫治疗能否创造奇迹?

恐怕没有一篇专门研究报道来回答这个问题,我们得到答案也不全。最近,美国胃肠学杂志报道了一例肝移植后转移进展的肝癌患者,在索拉非尼进展后,加入Pembrolizumab(Keytruda)免疫治疗,肿瘤获得完全缓解并且维持10月以上,患者的治疗经过绝处逢生。

病例介绍

这名57岁印度男性肝癌患者在2011年入住印度金奈的一家医院,此前他有过25年的乙肝病史,在2008年的时候被检查出有多发病灶的肝细胞癌。之前他在其他医院做过多次局部治疗,包括:9次肝动脉栓塞化疗和5次射频消融。

到这家医院时,患者肝功能检查显示正常,甲胎蛋白水平为4.67ng/ml。影像学检查显示,患者肝脏有3个病灶,均可见局部治疗痕迹,最大病灶直径达4.5公分。胸部CT扫描和骨扫描正常,说明没有胸部其他部位转移和骨转移。

2012年1月份,患者接受了右叶肝移植,捐赠者是他女儿。肝移植手术和手术后的治疗都很正常,随后医生对他用标准免疫*制剂抑**(他克莫司,霉酚酸酯和类固醇)治疗,患者那时候就出院了。移植肝的组织病理学检查显示,移植肝中有5个高分化的肿瘤,但是还没有侵犯到血管,肿瘤均有不同程度的坏死(40-80%),最大直径为4.5公分。

随后对患者进行随访,随访3年内患者肿瘤都没有复发。

2015年5月,患者开始出现呼吸困难,并出现多个肺结节。胸腔镜活检显示,这些结节都是转移性肝癌。于是,医生在之前免疫*制剂抑**的基础上添加了雷帕霉素靶蛋白*制剂抑**(他克莫司剂量降低,并维持在血液水平为2-3ng/ml),同时对患者用索拉非尼治疗。

涓栫晫棣栦緥cart鐤楁硶娌绘剤鑲濈檶,涓栫晫绗竴渚媍art娌绘剤鏅氭湡鑲濈檶

▲ 索拉非尼

索拉非尼治疗一年后,患者疾病进展,肺部肿瘤变大,肿瘤数量增多,但是在身体其他部位没有发现肿瘤。另外,患者移植肝的肝功能临床表现良好,体力状态评分良好。

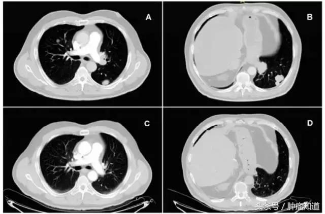
鉴于对肝移植后出现复发转移的患者没有多少治疗方案,医生对患者尝试用Pembolizumab(Keytruda)治疗,治疗剂量为:200mg,每3周一次,同时继续索拉非尼治疗。结果,患者对Keytruda反应非常好,没有出现任何不良反应或者移植排斥反应,肝功能也没有出现紊乱。3个月后,患者对Keytruda反应仍然良好,影像学检查显示,肿瘤已经完全消失。(如下图所示)

涓栫晫棣栦緥cart鐤楁硶娌绘剤鑲濈檶,涓栫晫绗竴渚媍art娌绘剤鏅氭湡鑲濈檶

▲ 这个图为胸部CT扫描片:A 、B为Keytruda治疗之前的情况,可以看出肺部有多个病灶,说明肿瘤有转移。C、D为Keytruda治疗3个月时的情况,可以看出转移灶已完全消失 。

10个月后,患者对Keytruda和索拉非尼仍然反应良好,影像学检查显示,肿瘤仍然没有复发。

案例思考

一般在肝移植后患者都会出现移植排斥反应,为了避免移植排斥反应的发生,医生通常会用免疫*制剂抑**来降低免疫系统对移植器官的排斥反应。但是免疫系统我们知道,是体内攻击肿瘤的重要“*器武**”,当免疫系统被抑制的时候,机体的抗肿瘤能力就会大打折扣。肿瘤就会趁虚而入,“东山再起”(再次复发)。

案例中的肝移植患者复发就属于这种情况,对于这部分患者来说,治疗方法少,效果差,中位总生存时间只有5-15个月。

涓栫晫棣栦緥cart鐤楁硶娌绘剤鑲濈檶,涓栫晫绗竴渚媍art娌绘剤鏅氭湡鑲濈檶

▲ Keytruda

Keytruda作为一种免疫治疗药物,作用和免疫*制剂抑**正好相反,它能激活受到抑制的免疫细胞,重振免疫细胞的威风,让肿瘤细胞无处遁形。在本例患者中,我们看到,Keytruda治疗后患者肿瘤完全消失了,但有一点让我们疑惑,患者并没有出现所谓的免疫排斥反应(当然这是个好事)。这是为什么呢?可能还需要进一步的研究来阐明。

其实,除了这名患者以外,我在以前的文章中也报道过一例肝移植后复发的肝癌患者用仑伐替尼和Keytruda治疗的病例,大家也可以作为参考(肝移植后可以用PD-1类药物治疗吗?)。

总之,今天的案例也给了我们一种提示,Keytruda或许可以成为山穷水尽的肝移植后又复发转移的肝癌患者,一种新的治疗选择,但是由于病例数较少,还需要更多的试验来证明keytruda 的疗效和安全性。

就如南宋诗人陆游,当他“山重水复疑无路”的时候,忽然“柳暗花明又一村”。对于癌症患者来说,何尝不是如此?!唯愿医学更加发达,让科学终结恐慌,癌症不等于绝症!