牙齿矫正的价格从一万多到十万不等,不同矫治器治疗价格差别巨大,大部分小伙伴都会有这样的疑问:牙套是不是越贵越好呢?今天雅贝嘉口腔就给大家详细介绍。
关于矫正器的好坏,雅贝嘉口腔觉得应该用辩证的眼光去看待,每种矫治器都有各自的特点,由于需求不同,因此每个小伙伴对于牙套好坏的定义也不尽相同,有的特点对于患者来说是优点,但对医生来说却变成了缺点。

今天雅贝嘉口腔就来详细介绍一下不同矫治器的特点:
首先要说明的是:矫治器只是正畸医生的工具,正畸治疗的最终效果主要受医生的技术和患者的自身条件影响,和矫治器种类相关性较小。
任何矫治器都可以起到矫正牙齿的作用,就像自行车和汽车,都属于交通工具,但是由于制作工艺不同自行车的均价要远低于汽车,但并不代表自行车比汽车差,有些路自行车能走但汽车却走不了!
但如果自行车和汽车都能走的路,开汽车的速度和舒适性都是远高于自行车的;当然同样是汽车价格和性能差别也巨大。

雅贝嘉口腔接下来介绍的矫治器都是按照该种类最高质量的性能介绍的,请大家客观理解哦!
1
— 普通金属托槽 —

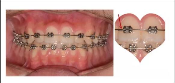
双翼金属托槽属于传统矫治器,托槽与弓丝之间靠结扎丝固定,优点是对牙齿控制力较好,结实耐用,脱落后可再粘接,医生可操作性大,缺点是摩擦力较大,牙齿移动速度较慢,疼痛感明显,治疗过程中结扎丝可能刺伤软组织,美观性较差。

美观性 ★
舒适性 ★★
口腔清洁 ★
治疗速度 ★★★★
2
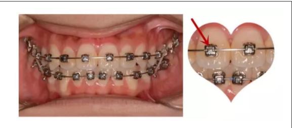
— 金属自锁托槽 —

自锁托槽由锁片代替了传统的结扎丝,有以下优点
1.无需结扎避免了结扎丝末端对软组织的损伤,舒适度增加;
2.弓丝在槽沟内的自由度增加,摩擦力减小, 牙齿移动速度增加,治疗周期缩短;
3.矫治过程中口腔卫生更好控制,有利于牙周组织健康;
4.复诊间隔一延长至6-8周,每次复诊操作时间缩短;
5.在轻力水平实现牙齿的移动,因此患者疼痛感及不适感减轻。
6.托槽体积缩小,美观性舒适性相对提高
缺点是医生可操作性小,对牙齿精确控制性相对双翼托槽差

美观性 ★★
舒适性 ★★★
口腔清洁 ★★
治疗速度 ★★★★★
3
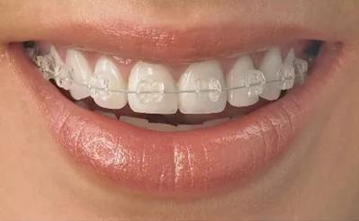
— 陶瓷托槽 —

陶瓷托槽是金属双翼托槽的透明版,具有和天然牙相似的色泽,优点是美观性较好,粘接较金属托槽更牢固,治疗中不会存在托槽脱落的问题,缺点是是咬硬物及受力过大时托槽会碎裂,牙齿移动过程中摩擦力较金属托槽大,牙齿移动速度相对较慢。

美观性 ★★★
舒适性 ★★
口腔清洁 ★
治疗速度 ★★★
4
— 陶瓷自锁 —

陶瓷自锁托槽兼具了金属自锁托槽和陶瓷托槽的优点,美观性、舒适度、牙齿移动速度都较好,但是托槽体积相对金属自锁较大,托槽翼小,医生可操作性相对降低。

美观性 ★★★★
舒适性 ★★★
口腔清洁 ★★
治疗速度 ★★★★
5
— 无托槽隐形矫正器 —

隐形矫治器由弹性膜片代替了传统的弓丝托槽,美观性和舒适性都达到很大提升,深受爱美人士喜爱,具有以下优点
1、几乎完全隐形,不影响美观和社交工作;
2、口腔软组织几乎无刺激,较舒适;
3、患者可自行摘戴,刷牙和进食时可以取下矫治器,因此不影响吃饭和口腔清洁;
4、复诊间隔延长,适合异地或者经常出差的患者;
5、每1-2周更换一副矫治器,牙齿受力均衡柔和,因此治疗期间牙齿疼痛感降低;
6、可视化治疗,治疗前可预知治疗效果。
缺点是:
1、对患者依从性要求较高,不按时佩戴矫治器无法达到矫治效果;
2、适应症较传统矫治器窄,有一部分患者不适合做隐形矫正;

美观性 ★★★★★
舒适性 ★★★★★
口腔清洁 ★★★★★
治疗速度 ★★★★
6
— 舌侧隐形矫治器 —


舌侧矫治器是目前最贵的矫治器,它将矫治器固位于牙齿的舌侧面进行正畸治疗,因此既完全隐形又兼具了金属矫治器的优点,达到效果与美观的极致,优点是:
1、治疗结果可视化,矫治器在生产前,矫治医生确定矫治方案,排出治疗后的石膏模型,因此可预知治疗后的效果!
2、精确性高,个性化舌侧隐形矫治器托槽底板是按照患者牙面的不同情况在计算机中精确设计的,粘接采用间接粘接法,精度高,配合原装进口弓丝,使弓丝与槽沟之间达到完美的匹配,可有效缩短治疗疗程;
3、美观性高,舌侧隐形矫正器佩戴在牙齿的内侧,在外观上完全看不到托槽钢丝,并且无需担心由于口腔卫生差导致的牙齿表面的脱钙现象!
缺点是:矫治器对软组织刺激较大舒适性较差