今年70岁的殷阿姨
去年12月开始出现吞咽困难
来苏州科技城医院就诊发现阿姨得了食管中段鳞癌
因为瘤体比较大
有5.3*1.5厘米
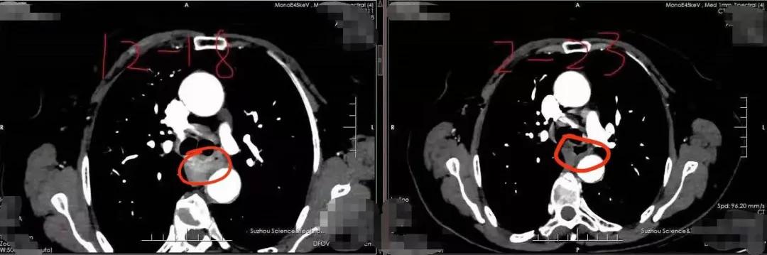
分别在去年12月和今年1月做了2次
新辅助免疫治疗+化疗
治疗后肿瘤明显缩小
变成3.2*0.8CM

近期,胸外科主任谢骏为她做了
胸腹腔镜下的微创食管癌根治手术
目前恢复良好

有盆友不是很理解了
为什么不直接手术呢
还那么麻烦搞什么免疫治疗化疗的
谢骏说,由于殷阿姨的肿瘤比较大
正常来说需要开放手术
对病人损伤比较大
考虑到阿姨年纪大了
于是谢骏采用了 新辅助免疫治疗+化疗
先将殷阿姨的瘤体缩小
这样,就可以在腔镜下完成手术,减少损伤
同时还可最大限度减少肿瘤残余
保证切端阴性

与欧美国家相比,食管癌在我国较为常见
是我国男性第5大高发肿瘤
并且,欧美国家主要以胃食管结合部腺癌为主
而我国以食管鳞癌为主,占到90%以上
食管癌典型的症状为进行性咽下困难
先是难咽干的食物,继而是半流质食物
最后水和唾液也不能咽下
而早期食管癌
因症状不明显容易被忽略

针对相对早期的食管癌,以根治性手术切除为主
5年生存率在40%左右
如果有区域淋巴结转移的患者,5年生存率约为25%
如果是晚期患者,5年生存率低于5%
因此,从整体来看,食管癌的预后并不理想
近年来,免疫检查点*制剂抑**
在食管癌应用为患者带来了希望
既往研究提示
PD-1单抗用于食管鳞癌二线治疗较化疗改善生存更显著
免疫治疗在食管鳞癌二线治疗中的地位已经确立
这也是为何谢骏会选择此种方式来治疗的原因

谢骏
科主任、副主任医师
医疗特长:专业方向为胸外的微创治疗,擅长:单孔胸腔镜下解剖性肺叶、肺段切除+系统淋巴结清扫;Hookwire技术微小肺结节(小于6mm)的定位切除;胸腔镜联合腹腔镜下食管癌根治术;经剑突下胸腔镜下纵隔肿瘤切除术。
学术兼职:苏州市医学会胸外科分会委员
学术科研:国家实用新型专利1项;南京军区联勤部面上项目1项;无锡市卫计委面上项目1项;*队军**科技进步三等奖2项;*队军**科技成果奖1项。