陕西首例!
西安医学院第二附属医院
神经外科成功实施
显微血管减压术治疗
椎基底动脉延长扩张导致的
面肌痉挛和三叉神经痛

近日,西安医学院第二附属医院神经外科成功实施显微血管减压术治疗椎基底动脉延长扩张导致的面肌痉挛和三叉神经痛,本例为陕西省首例!因左侧头面部抽搐及疼痛问题困扰2年的张先生,经过西安医学院第二附属医院神经外科副院长赵海康主任医师及团队成员的手术治疗后,症状完全消失,无并发症,目前已出院回归正常生活。


面肌痉挛+三叉神经痛,
祸因就是“椎基底动脉扩张延长症”!
52岁的张先生,有高血压病史二十余年。2年前无明显诱因出现发作性左侧头面部抽搐及针扎样疼痛,就诊于当地医院,行头颅MRI示:左侧椎动脉压迫同侧面神经,给予口服卡马西平治疗后,疼痛好转,但面部抽搐仍然存在。停用药物后,面部疼痛再次加重,治疗效果不佳。
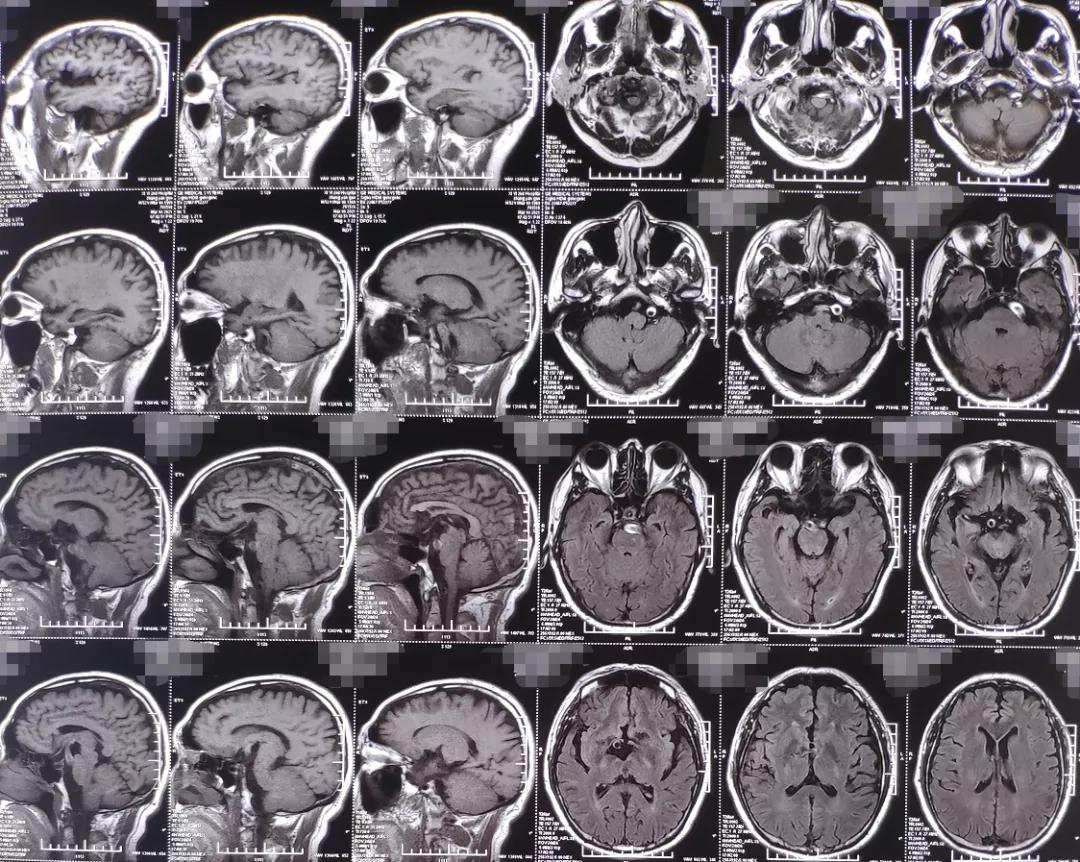
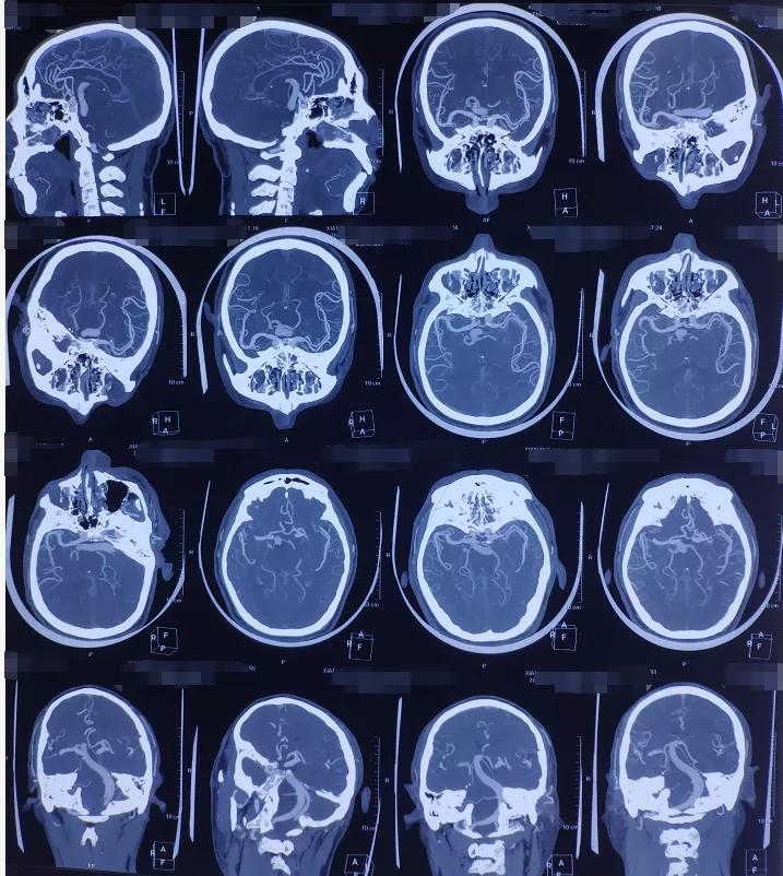
后经多方打听下,来到西安医学院第二附属医院神经外科寻求治疗。经过各项检查后,发现患者椎基底动脉扩张、迂曲、延长,基底动脉管径较宽处约6mm,血管压迫同侧脑干、面神经和三叉神经。最终确诊为:面肌痉挛;三叉神经痛;椎基底动脉扩张延长症;高血压病1级(低危)。
术前影像学检查:




查明病因,
从根源上制定个体化治疗!
椎基底动脉延长扩张症是椎基底动脉的异常迂曲、扩张和延长,一种特殊的脑血管病变,临床表现复杂,常见症状有:缺血性脑卒中、脑干及脑神经受压,梗阻性脑积水、破裂出血等等。
像王先生这种情况属于椎基底动脉延长或扩张压迫邻近脑神经而导致的临床症状。一般来说,正常基底动脉长约30mm,宽为1.5~4.0mm,直径大于4.5 mm,即可诊断为扩张。而此例患者远远大于正常值,椎基底动脉扩张、延长,压迫到同侧脑干、面神经和三叉神经,才出现了面肌痉挛、三叉神经痛的症状。病因明确后,由于患者药物治疗不佳,经综合分析考虑后建议行显微血管减压术,从根源上解除病因!
显微血管减压术治疗
椎基底动脉延长扩张
导致的面肌痉挛和三叉神经痛
为省内首次开展!
显微血管减压术是目前国际上公认的唯一可以根治面肌痉挛或者三叉神经痛的治疗方法,手术微创,并发症小,治愈率极高(98%以上)。目前,治疗面肌痉挛或者三叉神经痛在国内已经非常成熟,但是用以治疗椎基底动脉延长导致的面肌痉挛合并三叉神经痛的病例报道较少,此病例为陕西省内的首次开展!
既是挑战,也是机遇!我科首次开展此类手术,绝不敢马虎。完善患者各方面检查,经过详细的术前讨论,最终由赵海康副院长主刀为其实施显微血管减压术。术中精细操作,成功在基底动脉与三叉神经、面神经中间垫入人工垫片,完美解除压迫,手术成功!
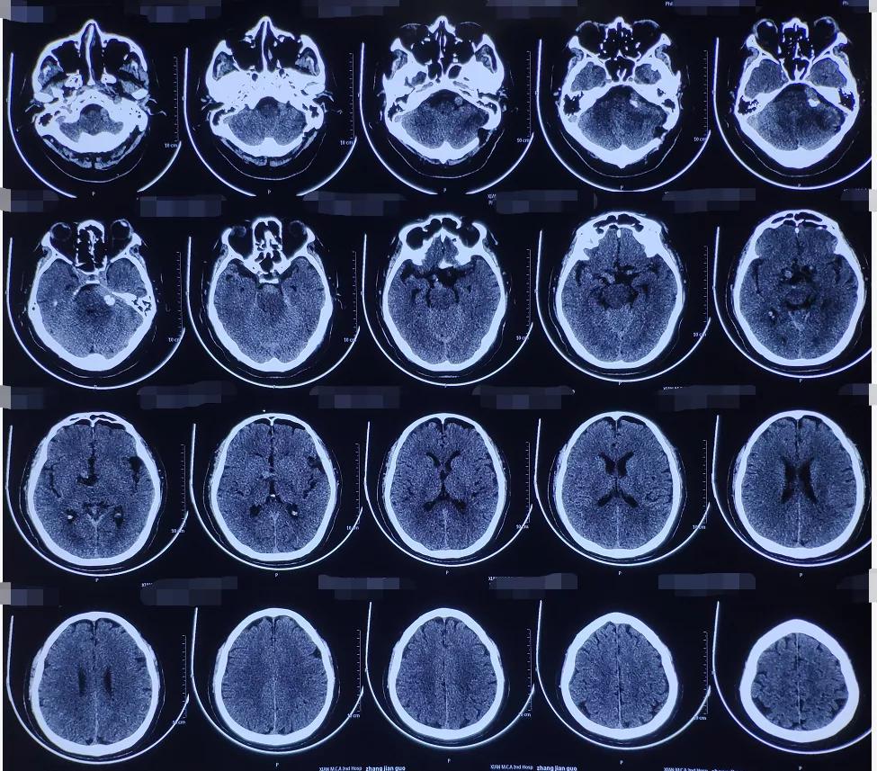
术后影像学资料:

术后,患者恢复很好,不适症状全部消失,且无并发症。
西安医学院第二附属医院神经外科此次成功开展显微血管减压术治疗椎基底动脉延长扩张导致的面肌痉挛和三叉神经痛,不仅弥补了陕西省此领域的空白,也为此类疾病研究提供了宝贵案例。最后,在这里也提醒广大患者,如果出现张先生这种情况,一定要尽快去正规医院就诊,切莫强忍病痛或选择偏方治疗。