肝癌起病隐匿,进展迅速,很多患者在发现时已是晚期,失去手术机会,而全身化疗或放疗对原发性肝癌效果不理想。对于失去手术机会的肝癌患者,经导管肝动脉化疗栓塞是首选疗法,其近期疗效确切。

经导管肝动脉化疗栓塞(TACE)是一种血管介入的最常用方法,该法在治疗过程中,将导管选择性插入肝癌供血动脉,将混有化疗药物的栓塞剂加压注入主要的肿瘤供血动脉,以阻断肿瘤血供,使肿瘤缺血坏死,同时化疗药物在肿瘤局部缓慢释放,起到长期*伤杀**瘤细胞的作用。
然而,TACE术后有众多不良反应,如发热、恶心、呕吐、腹痛、肝肾功能损害、骨髓抑制等,这些不良反应不仅会影响治疗效果,治疗的过程还会给患者带来痛苦,让很多患者望而却步,甚至有不少患者因为惧怕治疗带来的副反应而放弃治疗。如何既发挥TACE术的优势,同时防治该治疗手段引起的副作用,是决定肝癌患者抗癌治疗效果及生存质量的关键。

事实上,中医中药作为癌症治疗的重要组成部分,可全程贯穿于癌症的治疗过程,为抗癌助力,而在肝癌治疗中,指南也指出,中医药可以消除或减轻西医治疗带来的副反应,起到辅助治疗肝癌的作用。今天和大家分享的就是一位62岁的大叔经中西医结合治疗后获益的案例。
介入副作用,让六旬阿叔痛苦不已!
2017年1月,62岁的刘明(化名)无明显诱因出现食欲不振,反酸,吞咽不畅的症状,由于症状轻微,刘明并未重视。
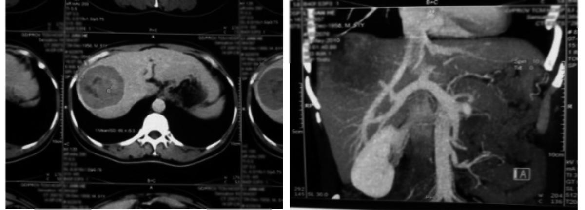
直到后来上述症状逐渐加重,刘明才意识到事情可能并不简单,6月,刘明在县医院进行检查,AFP:5420ng/mL,行腹部B超示:右肝后叶实质性占位,考虑肝癌。后来在儿子的陪同下到市中心医院进行更进一步的检查,行CT检查示右肝后叶结节占位病变,约7.6cm×7.5cm×8.5cm,增强扫描见强化,考虑原发性肝癌。

由于其肝癌已经到了晚期,医生建议行肝动脉DSA+灌注+栓塞术(术中化疗用药:雷替曲塞、奥沙利铂、重组人血管内皮抑制素)。然而第一次治疗后,刘明的副反应非常剧烈,胃脘部胀痛、反酸烧心、食欲不振、肝区疼痛等,让他不愿意继续治疗。
第二次治疗定在一个月后,儿子就带着刘明回了老家,希望可以慢慢劝说他接受治疗,但是刘明的抗拒非常强烈。儿子没有办法,只能独自来到医院,希望医生能有办法帮助其劝说父亲。

中西医结合治疗,优势互补,发挥1+1>2的效果
当得知刘明的抗拒心理后,最后决定在此前治疗方案的基础上,联合中医治疗,通过中医辨证治疗减轻西医治疗过程中所带来的副作用,中西医优势互补,以起到1+1>2的效果。
寻求中医治疗时,此时的刘明症见胃脘部胀痛,反酸烧心,口干口苦,不欲饮水,食欲不振,大便干结,3-4日/次,小便黄,舌红,苔黄腻;腹诊:全腹平软,腹力偏强,心下按之满痛,右侧胸胁苦满。
处方:柴胡,黄芩,炒白芍,生半夏,大枣,枳实,大黄,生姜,7剂,日1剂,分3次服。(注:请勿自行抓药,病情不同,剂量与基础方也因病而异,因人而异。)

服药后,刘明口苦较前好转,仍口干,胃脘部胀痛减轻,稍有反酸烧心,稍能进食,大便两次,质黏,小便微黄。由于症状已改善,故先继续进行第二次的肝动脉DSA+灌注+栓塞术治疗。治疗结束后,根据刘明的身体反应,调整上述组方,辨证加减中药,继续服中药治疗。
期间共进行肝动脉DSA+灌注+栓塞术共11次,治疗结束后继续予以中药维持治疗,随访至今,病灶稳定,生活自理。

小结
广义的TACE术包括肝动脉插管化疗灌注、肝动脉栓塞术等,这是大多数失去手术机会的肝癌患者的重要治疗手段之一,然而重复TACE可能导致肝功能恶化及不良事件发生,进而使患者不再适于后续的TACE治疗;TACE过程中所引起的副作用也会加重患者的痛苦,导致放弃治疗,限制了疗效进一步提高。
中医的优势在于能够为西医治疗增效减毒,一方面通过中药改善症状和肝脏功能,以及体内环境;另一方面缩小或稳定肿瘤,增强抗癌治疗效果。而对于一部分出现腹水、黄疸的中晚期患者不能进行TACE,也可通过中医系统辨证施治,使腹水、黄疸明显减轻之后,再次获得TACE机会。