徐女士四年前发现自己怀孕了,因为工作忙的原因,选择一个小诊所做了人工LC手术,手术后也顾不上休息,一直在忙。
徐女士从RL术后 ,发现自己的例假量越来越少,直到两三月一直不来月经就慌了,检查结果是患者人流术后抗炎及护理不到位导致宫腔严重粘连,这种病因导致的不孕症治愈率很低,这个结果犹如晴天霹雳,让夫妻俩猝不及防。徐女士不想放弃做母亲的权利。

两年来在其它医院陆续治疗,一共做了三次经宫腔镜分离宫腔粘连手术,因为手术后宫腔再粘连的几率很高,每次术后三个月复查宫腔镜都会发现宫腔再粘连。我翻阅了她既往的手术记录,发现虽然手术做的很成功,但是术后预防宫腔再粘连的护理做得不很完善。
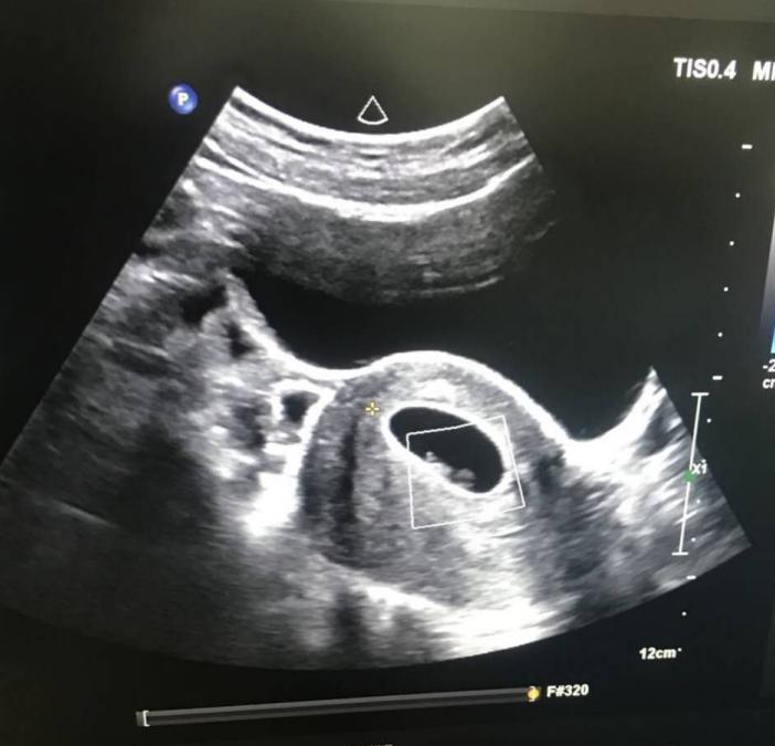
我还是建议做手术,在我院又一次做了宫腔粘连分离手术,手术很顺利,术后我给予中西药和物理结合调理了四个月,徐丹发现之后的每次月经来潮,经量都要比之前多一些,这是好兆头,说明宫腔粘连的创面内膜已慢慢爬行生长,只有内膜铺满了整个宫腔,才不会出现宫腔的再次粘连,患者才有怀孕的可能。再次复查彩超内膜恢复挺好,就开始指导他们自然怀孕,术后的第六个月,患者终于如愿怀孕了。

以徐女士为例子,在这里告诫广大的女性朋友,我们的学习与工作可以定计划,但关于怀孕生子,最好一切顺其自然,珍惜做母亲的权利。如果暂时没有生育的要求,要做好避孕措施,很必要做人工流产的患者一定要到正规医院手术,术后切记做好抗炎和护理工作。
#清风计划# #健康科普排位赛# #她力量计划# #番茄健康超能团# #养生#
