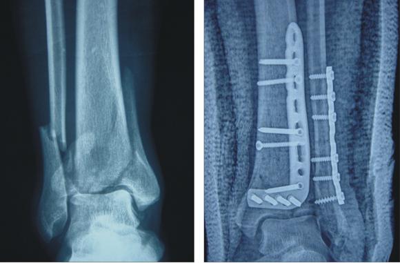
我们小腿的胫骨下端有一种典型的骨折,叫pilon骨折。常常发生在车祸,高处坠落,剧烈运动当中。这种骨折最大的特点就是破坏了踝关节的结构完整。那么,对于这种典型的骨折我们术后该如何康复呢?那就跟着康复师学起来吧。

pilon骨折的分析
这种骨折大部分呈粉碎性,而且延伸到了踝关节,破坏了踝关节的结构完整。在踝关节的关节面上有一层软骨,这种骨折无疑会伤害到这层关节面软骨。而软骨又是没有修复愈合能力的,所以,后期就会发生创伤性的关节炎。从临床经验来看,这种骨折发生创伤性关节炎概率非常高。无非是一个迟与早的问题。患者康复做的越好,力量功能形成足够的保护,发生的概率越小,时间越往后,发生后的症状越小。如果康复做的不好,力量功能差,行不成足够保护,姿势体态异常,重心力线改变,也会增加创伤性关节炎发生的速度症状。

术后如何开展康复呢?
这种手术往往需要进行手术内固定,使用钢板,螺钉等等。因为是粉碎性骨折,所以,即使做了内固定,术后为了安全起见,还会在用石膏,夹板或者支具再辅助固定2~3周。

术后第一阶段康复
术后第一阶段的重点是放在消肿,活动度练习,力量练习。根据骨痂形成的规律,我们把骨痂形成之前的这段时间划分为第一阶段,这个阶段大概6~8周。当然,骨折越严重,这个周期越长,重点是要看复查情况,根据骨痂形成情况决定是否进入第二阶段康复。在骨痂未形成之前,不能进行负重,但不能负重不代表不能做康复。第一阶段有第一阶段的康复任务。
一,消肿
术后早期下肢小腿或者脚踝处会有明显的肿胀。肿胀长期滞留会形成新的粘连,疤痕增生肥厚。所以,早期的消肿非常关键。可以采用抬高肢体高于心脏,冰敷,肌贴引流,外敷芒硝吸水,另外就是整体的活动,因为是脚踝处的的骨折,所以,之前大家熟悉的踝泵练习肯定是做不了了,但踝泵原理无非就是通过肌肉收缩舒张来促进泵血消肿。踝泵做不了,我们还有更好的方法就是整体活动。也就是你没有受伤的腿,上半身等等想怎么动怎么动,多去活动,这样才能促进整体血液和淋巴循环,帮助消肿,还可以避免形成血栓和避免钙质流失。

二,活动度练习
这个是康复的重点,难点,活动度的解决除了要配合上面的消肿,避免形成肿胀再次发生粘连。还要保持周围组织的弹性,增加关节的活动。因为我们做的是内固定,所以,术后早期可以开展踝关节的被动活动,助力活动,主动活动。前两三周如果有外固定支具,可以在活动时取下支具,训练后戴上。活动的强度以轻度的疼痛为准,且这种疼痛不适能够在训练后的两个小时以内小时,就是合理安全的活动量。为了增加脚踝灵活性,术后3~4周具备一定稳定后,可以采用足滚水瓶来增加踝关节灵活性。也可以脚踝处套一根绳子被动拉动你的脚踝进行活动。

三,力量练习
早期的力量练习以静力性力量为主,可以进行四个方向的直腿抬高,小腿的各方向抗阻练习。这个阶段力量练习不是重点,以肌肉略微酸胀为度,增加基础力量代谢。

术后第二阶段康复
这个阶段大概在术后6~8周以后,或者严格来讲,应该在确定骨痂形成后。患者就应该开始循序渐进的负重。这个阶段我们还需要继续增加踝关节的角度,而且因为可以开始负重了,所以,患者可以开始适当的利用踩斜板压脚,增加背伸角度。负重方面,可以找个体重称来帮助感受力的大小。从四分之一开始,过度到三分之一,二分之一,三分之二,五分之四的体重。这个过程从脚尖着地过度到全脚掌着地,大概需要一个半月的时间来去完成全部负重。

术后第三阶段康复
这个阶段骨折进入骨折塑形期,骨痂已经明显形成,可以开始基本的上下楼梯,日常活动。这个阶段大概在术后的3~4个月以后。但要想恢复低强度的慢跑,骑车运动一般在半年以后。而恢复高强度的跑跳,比如打篮球,羽毛球,踢足球等等,就需要在术后一年以后再考虑。应该骨折部位的强度要想恢复到以前正常的骨质强度,需要一年左右的积累沉积。

pilon骨折是下肢骨折的代表性案例,虽然很常见,但人们对它却很陌生,对于术后的康复更是不在意,最终往往耽误了最佳康复周期,形成一系列的功能障碍和并发症,严重影响患者的生活质量。科学的康复是为了避免形成功能障碍,而不是形成功能障碍了再去做康复。