▶28岁高血压患者突发出血性脑中风,倒地昏迷,家属紧急送医
28岁付先生是一名典型的宅男,长期除了在电脑前工作外,大部分时间都躺在床上追剧,吃饭方面大部分也是外卖对付,作息和饮食习惯都十分不规律,加上不爱锻炼,这导致付先生的身材十分肥胖。
多年前,付先生在一次常规体检中就确诊了 高血压 ,之后一直服用降压药物进行治疗,但是付先生自认为年轻并没有按时服用药物,更没有按时测量血压水平,生活习惯方面也没有改变,经常以高油高盐高脂肪的食物为主, 基本不摄入绿色蔬菜 。
近日,付先生在与朋友在网吧通宵打游戏时,突然感觉到脑部剧烈疼痛,意识模糊不清,想要站起来洗把脸却直接倒地不起,没有任何反应。朋友见状赶紧拨打了120送付先生前往急诊就医。

医生检查了付先生的基本情况后,做了脑部CT等常规检查,确诊付先生是突发出血性的脑中风,即脑溢血。鉴于送医及时,脑部出血量不大,医生紧急为付先生做了脑部止血和引流的手术,帮助付先生脱离了生命危险,将其送往加护病房观察情况。
▶积极抢救挽回生命,付先生懊悔不已
医生根据付先生的情况写下如下病历内容(部分):
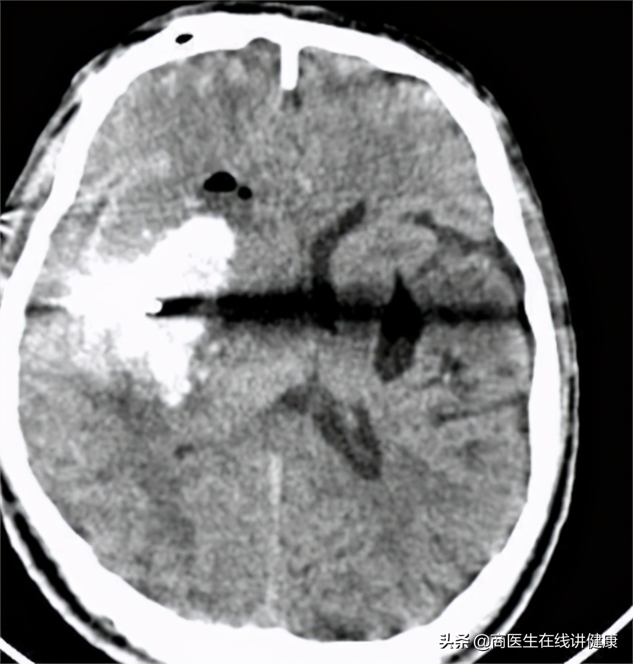
患者体温36.1℃、血压160/100、身高184cm、体重102kg。患者查体意识不清,无法正常交流,嘴角伴有褐色呕吐物。查头CT示:右侧小出血性脑中风,量约8ml,脑动脉硬化性白质脑病,左侧基底出血,可诊断为突发性出血性脑中风。
主诉:头部剧烈疼痛、意识模糊、口齿不清、倒地昏厥不醒。
病史:
患者有多年高血压病史,并未按时服用降压药物和监测血压水平。经常暴饮暴食,摄入过多高油高盐高脂肪等食物,基本不食用水果及蔬菜。 体型肥胖,运动量不足,经常熬夜,作息不规律。

付先生清醒后,感觉到左边半边身子有强烈麻木感,左手也有点儿不协调,不能使劲儿,付先生向医生说明情况后,医生表示这可能是出血性脑中风所导致的后遗症。
医生:“目前你刚醒过来,情况还不稳定,可以恢复一段时候后咱们再看,如果到时候有什么问题,可以做进一步的康复治疗。这次你算是幸运的,发现的及时,而且出血量还不大,要是太严重了,我们也是回天乏力啊!”
付先生:“我才28岁,怎么可能出血性脑中风啊?”
医生:“ 现在出血性脑中风越来越年轻化,大部分都跟不健康的生活习惯有关系 ,而且你还有多年的高血压,高血压本来就是诱发心脑血管疾病的主要原因之一,你一直以来也没有遵照医嘱进行血压的控制,导致血压水平不稳定,出现心脑血管疾病的风险自然就高很多。”
付先生:“我一直觉得自己比较年轻......没想到......哎,我要是能早点儿知道,我肯定不这么作践自己的身体。”
医生:“现在说这些已经没什么作用了,后面你要做的就是积极配合治疗,然后预防你的高血压和出血性脑中风情况进一步的严重。而且,从你的生活状态推断,你的出血性脑中风可能与体内 缺乏叶酸 有关。”

▶医生建议多数高血压患者进行合理补充叶酸的辅助治疗,预防中风效果好
经过了一段时间的治疗后,付先生感觉到自己的情况有所好转,再次见到医生后,付先生对于日后自己在生活方面应当注意什么十分感兴趣。
付先生:“医生,我出院后应该在日常多做些什么来预防出血性脑中风的再次发生啊?”
医生:“ 脑中风也叫脑卒中,分为出血性脑中风和脑梗死两种 ,想要预防脑中风最重要的就是控制好你的血压水平,定时吃降压药,监测血压,在生活方式上面也要有所改变,控制盐分的摄入,不能再像以前那么任性了。另外,我还建议你再做一个HCY的检查,对于控制你的病情也有好处。”
付先生:“那是什么?”
医生:“就是血液中的 同型半胱氨酸水平 ,经过相关研究显示,Hcy的高低对高血压患者脑卒中有很大的影响,如果患者Hcy水平高,那么就说明患者属于 H型的高血压 ,同时体内也缺少叶酸,只有将Hcy的值控制在合理的范围内,才能相对降低高血压患者患有脑卒中的风险。”
付先生:“我的年纪不应该会缺叶酸吧。”

医生:“这你就错了,在我国,有很大一部分人都缺乏叶酸,因为叶酸基本都存在于绿叶菜中,我们中国人喜欢把菜炒熟了再吃,这样就会破坏掉叶酸,所以日常我们建议多吃一些生的绿叶菜来补充叶酸,而且成年人每天需要的叶酸含量在 50~200μg ,一般从饮食方面全部摄取有一定的难度。”
付先生:“为什么吃叶酸可以预防脑中风?”
医生:“根据临床研究,动脉粥样硬化是造成脑中风的主要原因,而 高同型半胱氨酸血症是心脑血管发病的独立危险因子 。hcy与血管紧张素相互影响,就会导致脑血管内膜有严重的损伤,长期以往,如果Hcy数值过高,高血压患者出现脑中风的几率就会大大增加。经过证实,如果Hcy过高的患者长期服用叶酸,就会慢慢降低Hcy的数值,从而起到预防脑中风的效果。”
付先生:“那我直接吃叶酸不就得了。”
医生:“虽然我说大部分高血压患者缺叶酸,也是H型高血压,但是还是要经过检查才能确定,不能经验之谈,毕竟个体有特异性啊!而且我建议,一般能通过饮食摄取的尽量不服用药物,叶酸除了在 生菜、白菜、茼蒿 等 绿叶菜 中出现,还广泛存在于 草莓、橙类和香蕉等水果 当中。除此之外, 大豆制品、动物肝脏和牛肉 等食物当中也含有大量的叶酸。所以,如果发现自己缺乏叶酸,建议先进行食补,保证营养的全面,如果还不够的情况下再在医生的指导下每日服用叶酸片进行补充。”

付先生在医生的建议下进行了Hcy水平的检查,最终结果提示付先生为H型高血压的患者,并且体内严重缺乏叶酸,所以医生建议付先生每天除了在食物方面摄入叶酸外,再额外服用0.4毫克的叶酸以满足每日的叶酸需求,起到预防脑中风的效果。
▶康复后出院遵从医嘱控制血压,通过锻炼改善后遗症
付先生在出院后,继续保持着服用叶酸的习惯,经过一段时间的治疗,付先生的Hcy水平明显下降,再加上按时吃降压药物,定期前往医院复查身体状况,甚至为了锻炼身体,付先生还专门结识了一群骑友,跟他们每周进行一次远距离的骑行,帮助身体进一步的恢复,目前,付先生的后遗症基本得到了改善,不会影响正常的生活。

总之,按时补充叶酸对于大部分高血压患者预防脑中风还是有很大的帮助,但是一定要提前监测自己的Hcy水平,通过日常饮食还不能满足叶酸水平的情况下,在医生的指导下服用叶酸片进行补充。另外,医生不建议患者一次性服用大剂量的叶酸,叶酸过多也会给身体带来负担,并不是越多越好,只需要维持每日正常摄入水平即可。