临床上经常会遇见一类患者,他们在无意间摸到肩部、腿部、上臂或背部的皮下有无痛性肿块,惶恐不安地前来就医。其实这种情况不必焦虑,大概率是患有脂肪瘤。脂肪瘤是一种我们工作中最常见的软组织良性肿瘤,由成熟脂肪细胞构成,可发生于身体任何有脂肪的部位,触诊可扪及肿块质地柔软,表面光滑。脂肪瘤可单发,也可多发,很少产生恶变。
脂肪瘤是一种生长缓慢的脂肪块,虽称为瘤,但是正常的脂肪样组织,通常位于皮肤和肌肉之间;多发生在四肢、躯干的皮下,也可发生在深部组织;质地柔软,多无痛感[1]。


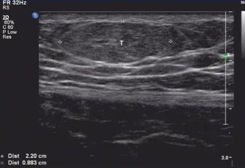
超声具有无放射性、操作方便且价格低廉等优势,是诊断脂肪瘤最为简便且准确的一种手段。脂肪瘤切面呈扁圆形,长轴与皮肤平行,绝大多数边缘清晰,有完整的包膜回声。脂肪瘤内部的回声常与脂肪相近,也可表现为强回声、低回声或混合回声。脂肪瘤的质地通常柔软,加压探头时会产生变形。

脂肪瘤表现为皮下脂肪层内混合回声的实性团块与周围脂肪组织分界清晰
治疗: 对于诊断明确的较小的脂肪瘤,可无需手术处理。对于较大的脂肪瘤、生长部位影响患者美观或正常生活的脂肪瘤,可以选用手术切除的方式进行治疗。
综合回答一下大家的疑问
一、会累及哪些部位或器官? 可发生于全身各个部位,多发在四肢、躯干
二、会传染吗? 不会传染。
三、能治愈吗? 会复发吗?
治愈:通过手术切除可以治愈
复发:切除后有复发可能
四、会遗传吗? 目前的医学研究认为该病有遗传可能
五、脂肪瘤很常见吗? 脂肪瘤是最常见的皮下肿瘤,发病率无确切数据,约 1000 人中会有 1 名患者发生单个脂肪瘤,中年人较多见,多发于躯干部,也见于面部、头皮和外生殖器等处。
