最近一个朋友向我咨询,他觉得自己肩膀不一样高,怕是得了脊柱侧弯,不知道严不严重,应该怎么办。其实,在门诊也常能看见很多患者朋友,多是无意中发现或是觉得自己肩膀不等高,怀疑自己得了脊柱侧弯来就诊。也许有的朋友会认为,脊柱侧弯是“小孩子”的病,但是成年人的确可能会出现“脊柱侧弯”,而且还可能会逐渐发展。

的确,脊柱侧弯多发于青少年,约占脊柱侧弯的70%~80%。由于青少年生长发育迅速,因此脊柱侧弯进展速度快,需要早期给予治疗。与青少年不同,成年人的骨骼发育成熟,脊柱侧弯发展较为缓慢。因此,成年人的脊柱侧弯和青少年相比,虽然都是“侧弯”,还是有很多不一样的地方。
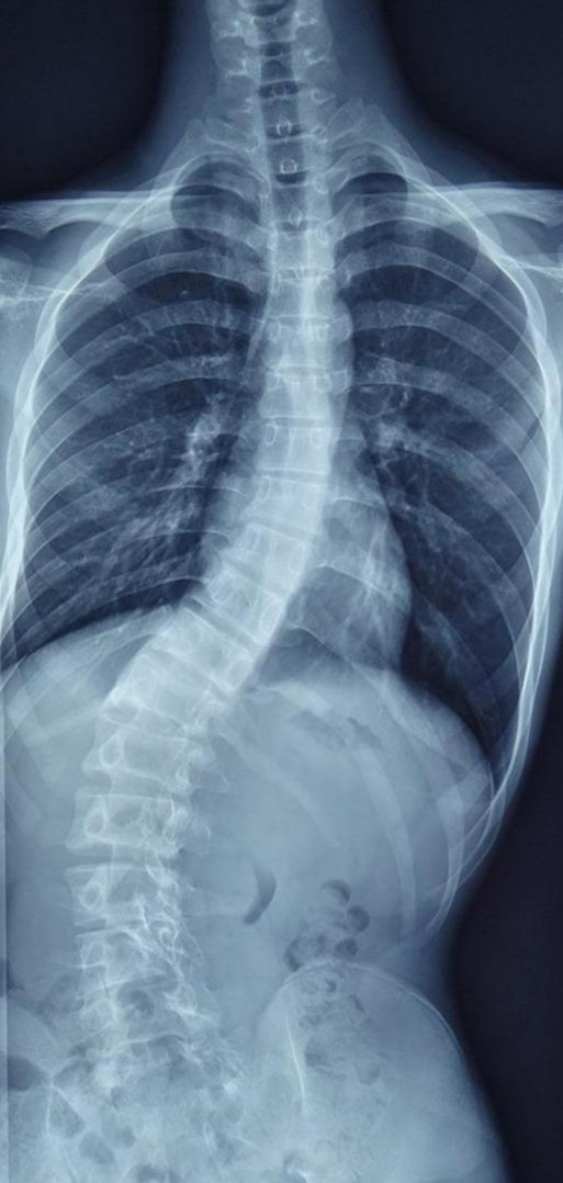
首先让我们看一例青少年脊柱侧弯
这是一名13岁患者,从小脊柱就有些“歪”,但是家长一直未予以重视。随着孩子逐渐进入青春期,身体逐渐长高,脊柱却“歪”的越来越厉害,而且出现了二便*禁失**,从影像学我们发现,他不仅存在脊柱侧弯,还存在许多其他问题。

患者腰骶部存在一个团状异常信号,有可能是脂肪瘤甚至畸胎瘤,同时合并硬脊膜膨出。此外MRI显示患者的脊髓并没有随着生长发育向上移动,而是与远端“有所牵挂”,腰部的神经像一根根弓弦与远端相连,也就是医学上所称的“脊髓栓系”。患者二便*禁失**很可能就是由于身体逐渐长高,产生脊髓栓系后导致的。

手术不仅要解决侧弯,还要减压神经,解除栓系,改善神经功能。
因此,对于青少年脊柱侧弯患者,往往需要引起足够重视,早期明确诊断,纠正脊柱侧弯,治疗可能存在的其他畸形,避免成人之后变为僵硬性脊柱侧弯难以治疗。
那么,成年人脊柱侧弯与青少年相比有什么不同?
成年人脊柱侧弯多是后天因素所致
不良生活习惯 这是临床最常见的病因,比如长期低头或者长期弯腰,长时间坐姿不正确,习惯一侧肩膀受力,一侧拎重物等,这会使得身体持续倾斜,久而久之可能会引起一些轻度的脊柱侧弯,脊柱本身并没有病变或者畸形,这也称为姿势性脊柱侧弯。通过改变不良生活习惯能自我矫正。
腰椎病变 比如腰椎间盘突出压迫刺激神经根,脊柱结核、肿瘤,腰椎滑脱,脊柱骨折等,这些可引起脊柱姿势改变,产生脊柱侧弯的表现,当把这些原因解决后,脊柱侧弯即可自行矫正。

腰椎病变(比如图示腰椎脊柱结核)同样可引起脊柱侧弯
退行性脊柱侧弯 这种脊柱侧弯多见于老年人,随着年龄的增加侧凸程度会逐渐加重,是由于腰椎椎间盘、关节突的退变,长期脊柱失稳等原因导致脊柱排列改变,是脊柱退化的结果。

退行性脊柱侧弯多见于老年人,与脊柱退变有很大关系
青少年脊柱侧弯遗留至成年 这种情况多由于年轻时存在脊柱侧弯并未治疗,成年后出现症状,可能没有明确病因,但是脊柱也可能存在发育畸形,比如半椎体,椎体分节不良等,由于病史较长,脊柱已经发育完成,多为僵硬性脊柱侧弯,很难矫正。
虽然成年人脊柱已经长成,侧弯进展相对缓慢,但成年然侧弯存在两个加速期。
女性在生育后的1-2年 很多患者朋友知道怀孕会使腰椎间盘突出症加重,其实与之类似,虽然脊柱侧弯一般并不影响怀孕和生育,但是怀孕和生育会使脊柱侧弯加重。一是由于怀孕期间会出现脊柱韧带松弛,另外怀孕时以及生育后抱孩子也会导致脊柱负荷明显加重,这两个因素都常导致侧弯明显进展;
男性75岁以后或女性绝经后 此时身体内的钙质逐渐丢失,逐步出现骨质疏松,骨质疏松可削弱脊柱的强度,在重力的作用下会使原有的侧弯进一步加重甚至正常的脊柱也会出现侧弯。
成年人脊柱侧弯症状有哪些?
腰背痛 由于脊柱侧弯破坏了腰椎的生理曲度和节段稳定性,会导致腰背部肌肉持续承受异常的额外应力,因此容易导致腰肌积累性劳损,炎症。表现为反复发作的腰背痛,药物不易缓解,活动时腰痛加剧,卧床休息时可减轻,呈现“晨轻暮重”的特点。症状持续时间长,反复发作,随着脊柱侧弯的进展,腰背痛会逐年加重。

间歇性跛行 退行性腰椎侧凸本身也会存在腰椎退变、腰椎管狭窄,当患者行走一段时间后,会出现腰腿疼痛、下肢麻木、无力等症状。当蹲下、坐下或平卧休息后,症状也随之减轻、消失。再行走时,再度出现上述症状,再休息,症状再缓解,如此反复、交替,也就是间歇性跛行。

腰腿放射性疼痛 当脊柱侧弯比较严重时,会导致神经根受压,这种受压可以发生于凹侧(神经通道狭窄),也可发生于凸侧(神经受到牵拉和移位)。
成年人脊柱侧弯应该如何治疗呢?
纠正不良生活习惯 比如改变不良坐姿,避免单侧肢体持续负重等,对于姿势性脊柱侧弯而言具有不错的治疗效果。
- 昂首挺胸不驼背,
- 左右负重要均衡。
- 正确坐姿不歪斜,
- 伸腰展背勤锻炼。
- 多喝牛奶补营养,
- 姿势侧弯早矫正。

药物治疗 主要用于症状较轻的病人,目的在于一定程度上缓解腰部及下肢疼痛。目前临床上常选择非甾体类药物,特别是目前市场上较新的COX-2阻断药,比如塞来昔布,帕瑞昔布等,应该注意的是,虽然这些药物镇痛效果较好,但是仅限于短期服用(1-2周),长期服用这些药物可能会出现胃肠道、肾脏等并发症。
康复性训练 通过一些规律的康复训练,增加腰部、腹部肌肉力量,增强腰椎周围韧带的强度,可以起到增强腰椎稳定性,改善腰椎活动和侧凸程度的效果。临床上康复疗法有很多,需要根据侧凸的特点制定详细方案。

最基本的腰背肌锻炼可以提高肌肉力量,改善腰椎侧凸
腰围等支具 合适的腰围矫正支具可以分担侧凸段脊柱的载荷,稳定腰椎,可以起到临时支撑的作用,对临床症状可起到缓解作用,但是腰围支具也不能长期佩戴,否则有可能会削弱腰部肌肉的力量,甚至会使腰椎侧凸加重。
抗骨质疏松治疗 对于女性病人绝经以后或者70岁以上老年人,应该积极抗骨质疏松治疗,可以显著防止骨质丢失,延缓退行性脊柱侧凸的进展。
除此之外,还需要积极治疗脊柱疾病,对于青少年期脊柱侧凸需要及早治疗。
手术治疗
成人脊柱侧凸,如果只是有弯曲而且程度不严重,是可以选择观察保守治疗的。但是,当出现了一下这些情况,可能就需要考虑手术治疗了。

神经症状不缓解 持续出现严重的腰痛、神经根受压、间歇性跛行等症状,非手术疗法不能奏效或效果
不佳时,可考虑手术治疗。
畸形进展 青少年特发性脊柱侧弯进入成年后仍会继续进展,老年人退行性脊柱侧弯同样会逐渐进展,如果脊柱侧弯持续进展,畸形严重(Cobb角大于50度)或伴有冠状面或矢状面失代偿,就需手术治疗了。
呼吸功能障碍 严重的胸椎侧弯,尤其是伴有胸椎前突常可压迫肺脏,影响呼吸功能。
脊柱疾病 比如腰椎结核、肿瘤等,手术需要清除腰椎病变,重建脊柱,脊柱侧凸也就随之被纠正了。
另外,如果因脊柱侧凸导致外观畸形,使得在工作,生活和婚姻等诸多方面均受到影响,也可以手术治疗,矫正畸形。
与青少年不同,成人脊柱侧凸多不以纠正侧凸为手术目的,解决症状往往是手术的首要关注点。外科手术治疗主要包括前路松解、椎间融合,重建脊柱生理曲度,联合后路减压,椎弓根螺钉技术等,需要根据侧凸的特点选择合适的术式。
希望通过这篇文章能使朋友们对成人脊柱侧凸能有一初步了解,欢迎关注@骨科晓王医生 获取更多骨科健康知识。
@头条健康情报局 @生命召集令 @南方健康 @健康真相官 @头条健康
@清风计划 @论冬季养生 @关注男性健康,赢取千元大奖 @健康科普大赛 @我要上头条