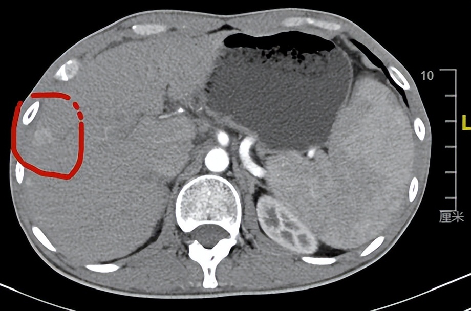
我们都知道,肝癌恶性程度很高,生长很快,很多人一发现就是晚期,所以会认为肝癌长得特别快,一两个月就会从没有变成晚期,实际情况真的这么恐怖吗?最近,门诊就碰到了一个发现了早期肝癌却没有进行任何治疗的病人,来看看他的肿瘤长得到底有多快。这位病人在当地医院检查发现肝占位,当时大小是1.2cm,医生建议手术治疗,但是患者拒绝手术,就回家了。

就这样耽误了半年,半年后出现了肝区疼痛,越来越重,这才想起来肝里有个小肿瘤,是不是要去复查下,到上海来就诊,复查了CT,结果出来也吓了我一跳,肿瘤已经涨到了10cm大小,并且侵犯血管,失去了手术机会。问他之前为什么不手术?家属看了病人一眼似乎有什么不好意思回答的原因,最后还是病人自己说了:因为害怕做完手术人就不能活了,好几个邻居都告诉他,身边某某某肿瘤开好刀没多久就走了,不治疗肯定人还在的之类的话。我又问他:你现在后悔吗?现在是真的不能手术了!病人还有点不相信,以为我还在骗他让他手术,接着问我:半年前可以,这么快就不能手术了?于是就给他解释了一通半年肿瘤会长大多少倍;为什么半年前可以手术,现在不能了;做手术和不做手术的利弊,做手术是治疗肝癌最有效的办法,如果手术都不能让你活下去,其它的办法更不行,等等说了很多!这次他听进去了,但却错失了可以根治肿瘤的最佳机会,实在可惜。

这个病人短短半年时间,肿瘤就从1.2厘米长到了10cm,肿瘤体积增大了10倍,从鸽子蛋大小变成了小西瓜大小,每2个月肿瘤体积会增大一倍,所以肝癌从1厘米长到10厘米,很多情况下只需要半年时间,这个速度真的还是很恐怖的,也能说明肝癌恶性程度的确高,生长速度快。当然并不是每个肝癌的生长速度都是这样的,有的人可能更快,也有的人很慢,但大多数肝癌的生长速度还是基本接近这个病人的状态。这也是为什么很多人一年前体检的时候好好的,但是再检查的时候就已经是肝癌晚期了。所以我要求乙肝携带者等肝癌高危人群,至少每半年复查一次肝脏彩超、肝功能、甲胎蛋白、异常凝血酶原,及早发现肝癌,争取根治性手术治疗!
#非常病例##健康科普大赛##肝癌#