关于这个问题,几乎所有与抑郁“相处过”的朋友都询问过我或他人。
现实中很多抑郁症患者都是默默忍受着痛苦,既不告知家人也不求助于医生。面对家人、朋友和同事,他们总是强颜欢笑,但内心却早已陷入黑暗的深渊。
他们以为心理、情绪、想法是可以被掌控的,不会对身体健康造成影响,过段时间一定恢复如初。
实际上抑郁症是一种高复发、高致残性的精神疾病,抑郁症长期不治疗所造成的危害远远超出想象。
一是严重降低生活质量,患者生不如死;
二是真会去死,即自杀。自杀分三个步骤:自杀意念、自杀企图、自杀实施。
几乎每个抑郁症患者都会有意念和企图,但要走向自杀这一步要具备两个条件,即自杀的意愿和执行的动力。
抑郁症患者如果不予治疗,约三分之一会反反复复,拖成慢性;还有三分之一的人最终会选择自杀。
我有患者因为疫情原因,公司裁员被下岗,找工作找不到自己满意的,半年时间过去了,还没有找到一份稳定的工作,这给了他很大的压力,让他变得越来越不自信,情绪也日渐低落,觉得活着太累了,每天都活的悲观绝望,甚至想要去自杀。
日复一日,他的抑郁情绪越来越严重,导致出现了抑郁症。还经常自残,胳膊上伤痕累累。
他表示因为钱的原因导致并未及时治疗,随着时间的流逝,自杀的念头越来越强烈,但想到父母,苦苦支撑到现在。
他说:我坚持到现在太累了,我不想再坚持了,但是想到年迈的父母,我觉得我不能这样,所以来进行治疗。
得了抑郁症,长期不治疗还有哪些危害呢?
1、导致认知功能损害
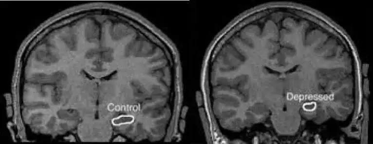
抑郁会造成海马体,丘脑,额叶和前额叶的萎缩,杏仁核的体积增加。这些体积的变化和抑郁的程度直接相关。

2、失眠
如果抑郁症长期不治疗会导致患者出现长期失眠症状。睡眠不好会影响大脑,导致头昏,记忆力下降。而睡眠障碍又是很多其他精神疾病,焦虑症、强迫症、精神分裂症等的诱发因素。
3、会造成性格扭曲
因为抑郁症产生后,人们会出现严重的认知扭曲,认知扭曲是指不准确或错误认知事实的一种思维方式。这些不准确,不现实的想法往往是消极的, 从而引发不健康的情绪。
4、会导致工作效率与生活品质严重降低
患者的思维,行动力以及说话能力和行动方面都会变得迟缓。一向思维敏捷的科技人员或白领人士患抑郁症后,很难胜任日常工作,更谈不上有创造性,平时学习优秀的学生成绩明显下降。不少病人谈到自己的主观体验时说,整个头脑犹如一桶浆糊。

5、诱发躯体疾病
虽然抑郁症按理来说,是一种心理疾病,并不是器质性的,伤害不到身体器官的,但是它会诱发身体疾病。
所以,产生抑郁症后最好还是要及时治疗,当下治疗抑郁症最科学的手段还是药物+心理治疗+物理治疗。
抑郁症是一个逐渐发展的过程,在发现有轻度症状时要学会自我调理,必要时咨询心理医生。不要感觉抑郁症是心理疾病不敢就医而将其埋在心中,随着疾病发展,不仅加大治疗难度,还会对周围人带来伤害。
因此,如果感觉自己或身边的重要他人抑郁程度逐步加重,时间较长,靠自己的力量无法摆脱,一定要及时就医,采取正规措施控制症状。