点击「神经介入在线」可快速关注
2014年5月~2014年12月:
血管内治疗10例
颈内动脉闭塞伴有大脑中动脉栓塞3例
椎基底动脉闭塞7例
释放支架10例
使用取栓支架9例
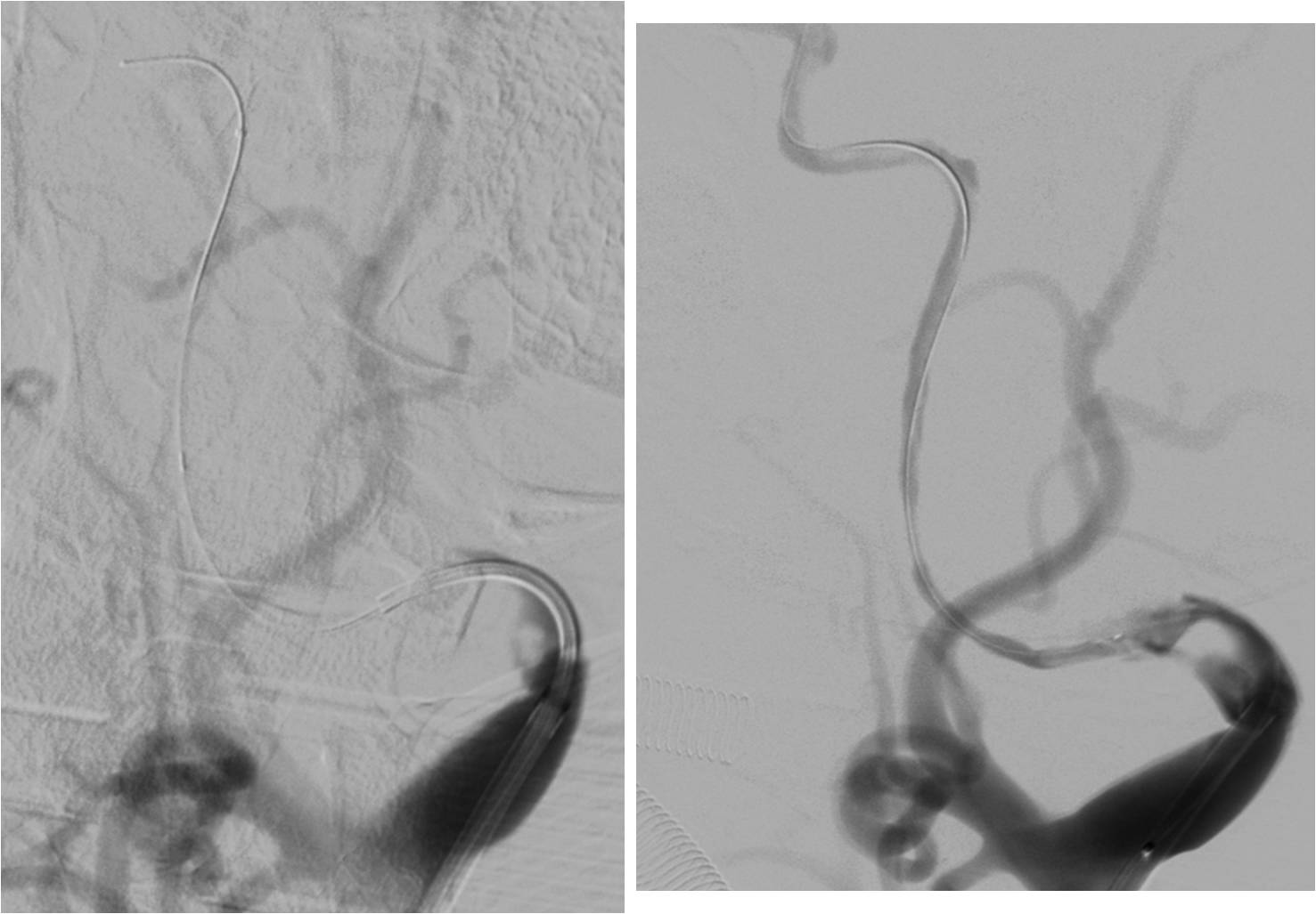
典型病例

》男性,43岁,头痛、头晕伴发作性意识不清10余天入院。脑电图异常,查体无阳性体征。入院诊断“病毒性脑炎”。
》入院第3天,突发混合型失语伴右侧肢体活动不灵。
》头MRI+MRA:左侧岛叶斑片状异常信号,左侧颈内动脉不显影,左侧大脑中动脉显影较淡,远端分支较少。










》重点脑血管造影
》全麻下手术
》术后C臂CT无出血
》术后20小时复查头颅CT无出血。
静脉溶栓后,血管内治疗球囊扩张或植入支架:
不用抗血小板药物是否可行?
最担心的是:支架内血栓形成!
抗栓经历:

抗血小板桥联:
1. 术中球囊扩张或支架植入前:
替罗非班12ml 于3分钟静脉注射11ml/h 静脉泵入(病人体重63kg)
2. 20小时左右头颅CT无出血:口服阿司匹林100mg、氯比格雷300mg
3.口服抗血小板药物2小时后停替罗非班
4. 次日口服阿司匹林100mg/天、氯比格雷75mg/天。
讨论
急性缺血性脑卒中血管内治疗的病人,术中是否需要球囊扩张或支架植入是不确定的,而球囊扩张或支架植入意味着血管内膜的撕裂和损伤。
取栓支架对血管内膜也有一定损伤。
该类病人发病前一般没有服用有效的抗血小板药物,多数病人术中需要球囊扩张或支架植入。
即刻鼻饲负荷量阿司匹林、氯比格雷也不能保证药物在短时间内充分吸收并达到确切的抗血小板作用。
血管内血栓形成的关键起始步骤是血小板激活、粘附和聚集。
替罗非班作为非肽类血小板糖蛋白Ⅱb/Ⅲa受体可逆性拮抗剂,与血小板表面的糖蛋白Ⅱb/Ⅲ受体具有高度特异的亲和力,能在短时间内有效抗血小板聚集,预防新的血栓形成 。
研究表明替罗非班还能分解新鲜血栓,即使是部分已经纤维化的血栓。
静脉注射负荷量替罗非班可以在数分钟内达到有效的抗血小板作用,抑制病变处血栓形成。
我们在颅内支架成形术,“术中即刻血栓形成”中使用替罗非班疗效较好。
替罗非班三期临床急性脑梗死出血率增加,未被推荐用于急性脑梗死。
在急性缺血性脑卒中血管内治疗方面,缺乏证据。
建议
开展多中心的“替罗非班在急性缺血性脑卒中血管内治疗的应用研究”,验证其有效性和安全性。
神经介入中心展示
135编辑器
135编辑器提供非常好用的微信图文编辑器。可以随心所欲的变换颜色调整格式,更有神奇的自动配色方案。

