山东的林小姐最近经常看到推荐洗牙粉或者是美白牙贴的消息,宣传的特别神奇,只要在牙刷上沾上广告里的那款洗牙粉,轻轻一刷,一口黄牙立马变得亮白,又或者是众多博主都在推的某款爆款美白牙贴,约会之前或者睡觉之前贴一会,用完立马可以绽放自信笑容。
看到这些林小姐感觉很心动,她因为牙黄一直不自信,跟别人说话时都会下意识不露出牙齿,每当看到别人的一口白牙时都会特别羡慕。而且广告推荐的牙粉和牙贴价格都不算很贵,林小姐立马满怀希望的下了单,以为自己终于要告别困扰二十多年的黄牙了。
然而结果却非常不尽人意,林小姐的牙在用完这些产品后并没有什么明显的变化,牙齿依旧发黄,这让她很郁闷。

这不禁让我们思考,难道真的是那些美白牙齿的产品没有用吗?我们买那些就是在花冤枉钱?其实不是这样的。
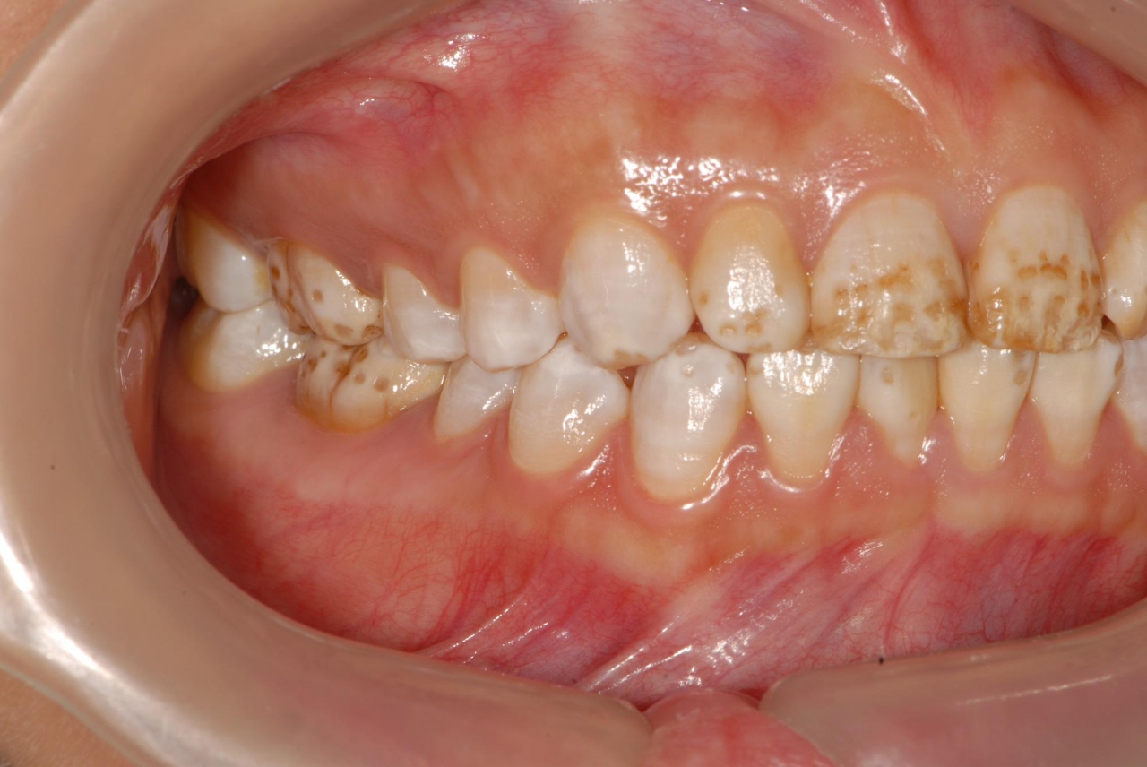
我们的牙齿发黄通常可以分为两大类。一类是外源性牙齿发黄,一类是内源性牙齿发黄。
顾名思义,外源性牙黄一般不是牙齿本身的问题,它是由于各种原因导致色素在牙齿表面沉着,只改变了牙齿表面的颜色,牙齿的内部结构通常没有遭到破坏,这种是可以通过每天坚持刷牙或使用牙粉牙贴一类的产品把牙齿弄白了的。
造成外源性牙黄的原因有很多,比如不按时刷牙或者牙刷的不够干净导致牙齿表面产生菌斑、长期抽烟产生的烟渍、食用带色素的食物沾染到牙齿等。

而内源性牙齿发黄一般是我们小时候在牙齿发育过程中形成的,它不能靠我们每天刷牙把牙齿刷白,即使使用牙贴、牙粉这一类产品效果也微乎其微。这是因为内源性黄牙不仅仅牙齿外部发黄,牙齿的内部结构也都有色素沉着,我们普通的刷牙只能把表面的污渍去掉,并不能深入清洁到牙齿内部。

造成内源性牙黄的原因大致可以分为三种。第一种是氟斑牙,是由于一些地区的人们喝的水里面含氟量过高,长期饮用就会形成氟斑牙。而有些小孩子在牙齿还没有发育好的时候就长期喝这种水,会形成黄斑牙。
第二种是四环素牙,这是由于服用四环素类药物导致的,儿童吃这类药物影响会更大。还有一类是因为儿童换牙期生病营养跟不上,又或者是牙齿出现了某些疾病,也会出现发黄、发灰的状况。
林小姐是山东桓台人,桓台多山,有些地方水里面含氟量特别高,而林小姐所居住的地方恰好水质是这样的,长期饮用,牙齿自然会因此发黄。

除了林小姐,很多人也存在着牙黄的困扰,发黄的牙齿怎么变白呢?
对于不同原因导致的牙黄,解决的方法不同。如刷牙不彻底导致的牙黄就要坚持用正确的方法刷牙,抽烟导致的牙黄就尽量少抽烟,这一类外源性的牙齿发黄选择好合适的美白牙贴、牙粉等都有不错的效果,另外,洗牙也可以去除牙渍,对这一类牙黄同样适用。
而内源性的牙黄则可以借助一些别的手段,比如冷光美白或者药物美白,除此之外我们还可以选择将黄牙遮挡起来,比如做烤瓷牙和牙齿贴面。当然,如果我们仅仅是为了美观,牙齿本身并没有什么问题,最好还是不要轻易去更换我们的牙齿。因为对于大多数人来说,我们自己的牙才是最好用、最舒服的。

当我们用一些方法美白牙齿时,不要一味追求纯白。 太白会显得非常不协调,一般牙齿接近我们白眼球的颜色会显得比较和谐。除此之外,我们的牙齿本身就不是纯白的,而是有点淡黄色,只不过由于个体差异有些人的牙会比平常人白很多,有些人的牙稍微黄一点。
因此,牙齿美白要因人而异,适度调整。