小王前几天突然觉得胸部一阵疼痛,特别是当自己突然咳嗽或者夜晚睡觉翻身的时候,疼痛会更加明显。昨天夜晚闲了没事,就在手机浏览器上输入自己的症状,想要看看自己得的到底是什么病。当看到这手机屏幕上出现“肺癌”两个字的时候,他心里咯噔了一下。再拿自己的症状和肺癌的早期临床症状进行一对比,他就更觉得自己像肺癌了。
想到自己可能是肺癌,小王吓得一夜没怎么睡,第二天一大早,就赶去医院检查了。到来医院后,医生先是拿出听诊器听了听肺部的情况,然后又对小王胸部进行了触诊,发现有摩擦感。

告诉小王他的肺部有可能不是肺癌,怀疑是胸膜炎。但是考虑到肿瘤也会引起胸膜炎,于是就给小王查了肿瘤标记物、血常规以及胸片。
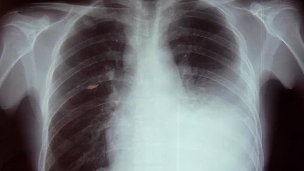
经过漫长的等待后,结果终于出来了,肿瘤标记物正常,血常规显示白细胞稍微有所升高,但是血沉加快。而胸片显示小王的肺部大片高密度阴影,而且胸膈角变钝。小王得的确实是胸膜炎。
“那就好,那就好,不是肺癌我就放心了”,小王长长地舒了口气,“那医生,什么是胸膜炎呢?不会和肺癌一样严重吧?”小王又赶紧问道。

听到小王的问题,医生赶紧给小王普及起胸膜炎的相关知识。
一、什么是胸膜炎?
胸膜位于胸部,是覆盖在胸部内表面及胸腔脏器表面是一层浆膜。胸膜炎,又称“肋膜炎”,是在各种致病因素的刺激下,胸膜发生了炎症反应。
胸膜炎最常见的临床表现就是胸痛。胸痛往往出现得很突然,是一种持续性的牵拉痛或者针刺样的疼痛,常在深呼吸、打喷嚏、咳嗽或者突然更换体位的时候会加重。
在屏住呼吸或者按压疼痛部位的时候疼痛会减轻。当胸膜出现炎症反应后,还会伴有胸腔积液,从而会导致咳嗽、胸闷等症状,严重的患者甚至会出现呼吸困难。

胸膜炎一般好发于儿童或者青年。临床上根据胸腔渗出液状态将胸膜炎分为了以下几种。
纤维蛋白性胸膜炎,又称为干性胸膜炎,多是由致病因素累及于壁层胸膜所致。一般没有渗出液,常见于结核、矽肺、石棉肺晚期,大部分患者无明显的临床症状,少数患者会出现胸部刺痛,纤维蛋白性胸膜炎有自愈的倾向。
肺炎旁胸腔积液,多由细菌性肺炎、肺脓肿、支气管扩张等肺部炎症,蔓延到胸膜而引起的。这类的胸膜炎患者,大部分都会出现胸腔积液,积极治疗原发疾病后,预后一般都比较好。

脓胸,都是由细菌感染引起的。患者多会出现化脓性胸腔积液,并伴有食欲不振、发热、呼吸急促等临床症状。
了解了什么是胸膜炎,以及它的临床表现与分类,我们再来说说胸膜炎的发病的因素有哪些。
二、患上胸膜炎的原因有哪些?
首先是肺结核患者容易出现胸膜炎。当肺部出现结核后,结核分枝杆菌不仅可以从原发综合征的肺门及纵隔淋巴结通过淋巴管逆流到达胸膜腔,引起胸腔炎症。还可以通过血行播散或者靠近胸膜的结核病灶直接破溃,致使结核分枝杆菌及其代谢产物直接进入胸膜腔,引起胸膜炎症。

患者除了会出现胸痛、咳嗽的症状之外,还伴有乏力、低热、盗汗、消瘦等临床症状。需要注意的是,一般胸膜炎不具有传染性,但是结核性胸膜炎是由结核分枝杆菌所引起的,如果合并肺结核,就会具有一定的传染性。
其次是肺部感染,有50%的急性胸膜炎都是继发于肺部炎性病变之后的,像肺炎、支气管炎、支气管扩张等疾病,都会继发胸膜炎。如果肺部出现脓肿,则可以直接侵及胸膜或者脓肿破溃产生脓胸。
除了肺部出现炎症可以导致胸膜炎,其他邻近组织化脓性病灶也可以继发胸膜炎。纵隔脓肿、隔下脓肿、肝脓肿,致病菌可以直接穿过穿破侵袭或者是通过淋巴组织侵及胸膜,引起单侧或者是双侧的脓胸。

不管是肺部脓肿还是其他邻近组织的化脓性病灶,形成脓胸后,患者多会出现高热、呼吸急促、心率加快、胸闷、咳脓痰等症状,严重者还会出现发绀、休克、败血症等情况。
然后是恶性肿瘤,胸部或者肺部出现恶性肿瘤后,肿瘤组织会侵犯胸膜,可导致胸膜炎的发生,比如肺癌、乳腺癌、食管癌等恶性肿瘤。肿瘤性胸膜炎,患者会胸闷、胸痛、呼吸困难程度呈进行性加重,疾病的发展非常迅速。
此外,像胸部手术、胸部创伤也可以导致胸膜炎的出现。比如有些患者在做完胸部手术的时候出现术中感染,或者手术后出现伤口感染,那么致病菌就会侵及胸膜,诱发胸膜炎。

当患者胸部出现穿透伤时,进入胸腔的异物困难就会携带致病菌,再加之胸部穿透伤常会伴有血胸,所以,就容易形成化脓性胸膜炎。
最后是其他因素导致胸膜炎的出现。比如自发性气胸、或其他原因所致的胸腔积液,在反复穿刺或引流后出现了胸腔感染。败血症或者脓毒血症,细菌通过血液循环系统,到达胸腔,发生脓胸。自身免疫系统疾病,系统性红斑狼疮、类风湿性关节炎等疾病都容易引发胸膜炎。
总之,胸膜炎是一种多种病因导致的胸膜炎症。那么,得了胸膜炎该怎么办呢?

三、得了胸膜炎该如何治疗?
首先,在胸膜炎急性期,如果胸腔积液量比较大,患者出现明显的胸闷、呼吸困难的症状时,医生需要进行胸腔穿刺术,以减轻患者呼吸困难症状。同时要避免积液中纤维蛋白沉积,引起胸膜粘连、增厚、脓肿。胸腔穿刺抽液,首次抽液不得超过700ml,每周抽2-3次。如果是长期慢性胸腔积液患者,可以行胸腔置管引流,每天放液不得超过1000ml。
其次,在胸膜炎非急性期,可以根据引起胸闷炎的病因,进行针对性的治疗。如细菌感染引起的胸膜炎,给予抗感染治疗。在抗生素的选择上,可以根据胸水药敏培养的结果,选择最有效的抗生素。

如果患者出现自身免疫系统疾病,或者是肿瘤所致的继发性胸膜炎,则积极治疗原发疾病,就可以使胸膜炎消退。
如果是肺结核引起的结核性胸膜炎,要给予抗结核治疗。一般给予抗结核药物进行规律,联合,长期用药,用药周期6-9个月不等进行治疗。如果是化脓性胸膜炎或是结核性脓胸伴感染,可加用抗生素治疗。
然后是激素治疗,适用于急性结核性渗出性胸膜炎患者。可以选择肾上腺皮质激素与抗结核药物联用,这样可消除全身毒性症状,促进积液吸收,防止胸膜增厚黏连。

激素可以全身用药也可以局部用药。但需要注意的是,当患者全身症状改善,积液明显吸收时,要逐渐减少激素的用量,以免出现反跳现象。
另外,胸痛是胸膜炎最主要的临床表现,所以当患者胸痛剧烈的时候,还要给予止痛药物,缓解患者症状。临床上常用的止痛药物包括阿司匹林、吲哚美辛等。
最后,如果慢性脓胸患者出现肺不张或者胸廓塌陷时,还需要进行手术治疗。手术方式多为:感染病灶清除术、纤维粘连松解术、部分肺叶切除术和胸腔闭式引流术等。

一般来说,胸膜炎经积极有效的治疗后,多数预后情况都比较好。除了要进行有效的治疗之外,日常的护理也非常重要。
四、胸膜炎患者,在日常护理中需要注意哪些问题?
对于胸膜炎患者的日常护理,首先是在病情允许的情况下,要鼓励患者下床活动。胸膜炎的出现,往往是在人体抵抗力低下,机体功能障碍的情况下。得了胸膜炎后,对于患者的肺功能都会造成一定的影响。适当的活动不仅可以锻炼肺功能,增加肺活量;还可以提高患者的身体抵抗力,减少病毒的入侵。

像太极拳、瑜伽、慢跑、快走等,都是比较适合胸膜炎患者的运动,每周可以运动3-4次,每次30分钟左右。动作要轻柔,呼吸要沉稳自然,防止用力过猛,对胸膜造成二次损伤。
其次在饮食方面,胸膜炎患者应以易消化、富有营养的清淡食物为主。可以多吃牛肉、蛋类、奶制品、豆制品等含有优质蛋白和脂肪的食物。尽量少吃或者不吃海鲜类食物,尤其是结核性胸膜炎患者。
因为抗结核药物具有能增高尿酸的副作用,而海鲜则会加剧尿酸增高。另外,得了胸膜炎后,还要戒烟禁酒,忌食生冷、辛辣刺激性等食物。

最后,要定期去医院复查胸片和血常规,监测身体的恢复情况。
重要提示
日常生活中,如果突然出现胸部疼痛,并伴有咳嗽、胸闷的症状,先不要过去惊慌,要去医院查明原因。如果是胸闷炎导致的胸部疼痛,大家也不要过于担心,因为多数胸膜炎的预后都比较好。
参考文献
[1].胸膜炎是什么病,传染吗[J]. 程克斌. 江苏卫生保健. 2021(11)
[2].胸膜炎的病因和发病机制[J]. 罗永艾. 新医学. 2001(07)
[3].胸膜炎的疼痛规律是如何形成的?[J]. 李春昌. 中国社区医师. 2012(22)