周晓蕾 陈雨琪 汤善宏
中国人民解放军西部战区总医院消化内科
编者按:为了帮助临床肝病医生扩宽视野、丰富实践,培养临床思维能力,《国际肝病》特邀请西部战区总医院消化内科汤善宏教授团队共同打造“Liver疑难病例”专栏。本栏目汇集了汤善宏教授团队多年临床诊治工作中所遇到的“经典病例”,同时也将定期搜集知名学术期刊所刊发的或复杂或罕见的临床病例,重点阐述各种肝病的诊疗思路,为广大同道提供宝贵的临床借鉴。
主题述评
最常见的肝脾肿大原因为包括慢性心衰、布加综合征、肝小静脉闭塞综合征等窦后性因素所致门静脉高压,引起肝脏淤血肿大,而门静脉高压可导致脾静脉血液回流受阻,进而继发引起脾脏淤血肿大。
第二类为包括CMV、EBV相关传染性单核细胞增多症、布氏杆菌、伤寒、疟疾、HIV、黑热病等感染性疾病发生时,肝脾发生浸润性炎症水肿,使肝脾发生肿胀;或肿瘤组织,如肝癌、慢性粒细胞性白血症、淋巴瘤等疾病,因肿瘤组织增生而出现明显肝脾增大。
第三大类为包括骨髓纤维化、轻链病、淀粉样变性、再障、噬血细胞综合征、骨髓瘤、Castleman 病、朗格汉斯组织细胞增生症、海蓝细胞增多症等血液系统疾病,可因肝脾髓外造血、特殊物质异常增多沉积,引起肝脾肿大。另外还有蛋白质、脂肪、血红素生物合成(朴啉病)、戈谢病等罕见遗传代谢性疾病可导致肝脾肿大。
2015年西部战区总医院消化内科在《中华消华杂志》报道1例慢乙肝患者以反复腹胀、牙龈出血伴肝脾肿大为表现的罕见疾病,其原因为海蓝组织细胞增生症[1]。现回顾该病例诊疗过程,以期帮助临床提高对该疾病的认识。
病例简介
主诉: 患者,男,38岁,主因“反复腹胀伴牙龈出血1年余”入院。
现病史: 患者入院1年余前无明显诱因出现腹胀,以中上腹为主,进食后可加重,伴呃逆,未予诊治。之后上述症状反复发作,无明显诱发因素,昼夜无差异,伴反复晨起牙龈出血。
于院外查腹部彩超示:肝实质回声轻-中度增强、增粗,门静脉增粗(内径1.7 cm);胆囊壁毛糙欠规整;脾脏显著增大(厚约6.5 cm),门静脉、脾侧静脉明显迂曲扩张,提示门静脉高压;未见确切腹腔积液;转氨酶轻度升高; HBV DNA:4.73×104 copies/ml ;口服恩替卡韦后1个月腹胀略缓解,复查 HBV DNA<1×10 3 copies/mL,肝功能正常,自行停药1个月后症状加重,伴乏力、纳差。院外行MRI检查示:肝脏改变,考虑早期肝硬化,脾大,门静脉高压;为进一步治疗于2014年6月26日入我院。
既往史: 既往体健。否认“高血压、糖尿病、冠心病”等慢性病史。吸烟10余年,约每日20支,未戒烟;饮酒,每次50~100 ml,酒龄10余年,已戒酒。
体格检查: 皮肤、巩膜无黄染,全身浅表淋巴结无肿大,牙龈无红肿,心肺未见异常。腹稍膨隆,未见静脉曲张,腹软,中上腹压痛,无反跳痛,脾肋下4 cm,移动性浊音阴性,双下肢无水肿。
辅助检查
实验室检查:
血常规: 白细胞计数3.55×109/L、血红蛋白浓度132 g/L、血小板计数34×109/L↓、中性粒细胞比率58.34%;
肝功: 白蛋白45.0 g/L、前白蛋白273.1 mg/L;肾功、电解质、凝血机制正常;
输血九项: 乙肝表面抗原阳性(+)、乙肝e抗体阳性(+)、乙肝核心抗体阳性(+);甲胎蛋白: 2.22 ng/mL;HBV DNA<1×103 copies/mL 。血小板特异性和组织相容性抗体弱阳性,抗核抗体 1∶100,抗RO52(+++) 。
影像学检查:
心电图检查示: 窦性心动过缓伴不齐,心率50~57次/分。
心脏彩超示: 未见异常。
腹部增强CT检查 :①肝硬化待排;门静脉高压征象;②脾脏明显增大,增强后脾脏内见多发片状及类圆形低密度影;③胆囊壁稍厚、毛糙。
腹部MRI检查示: 肝脏改变,多系早期肝硬化,脾大,门静脉高压征。
胃镜: 慢性非萎缩性胃炎伴胆汁反流。
诊疗过程
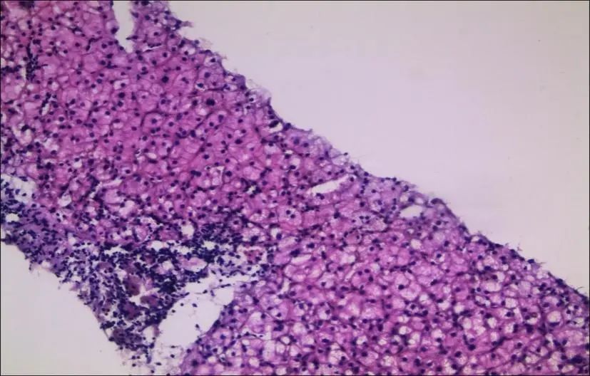
患者因腹胀伴牙龈出血为主要临床表现,院外检查提示显著脾大,因压迫腹腔脏器,导致腹胀;而脾功能亢进可致血小板计数(PLT)下降明显,继之引起反复牙龈出血;但腹部CT仅提示早期肝硬化表现,且行胃镜未见食道胃底静脉曲张,因此用乙肝后肝硬化门静脉高压所致脾大、脾功能亢进与临床表现提示的门静脉高压性病变不符;故行肝穿刺活检,病理(肝组织)示:符合中度慢性病毒性肝炎,G2/S2-3;免疫标记:HBsAg胞膜(+)、HBcAg(–),免疫表型显示病毒活跃复制状态仅提示中度慢性病毒性肝炎(图1),未见假小叶形成,可排除肝硬化及肝源性脾大。

图1. 肝穿:肝脏组织结构正常,广泛性肝细胞水肿,肝窦内少量淋巴细胞浸润;汇管区胆管形态、结构正常,间质较多淋巴细胞浸润伴中度界面炎改变
为明确脾大、脾亢原因,进一步行骨髓穿刺术,骨髓穿刺涂片:①全片可见较多海蓝组织细胞;②巨核细胞计数增多,产板巨核细胞减少,全片血小板成小堆可见;③嗜酸性粒细胞比例偏高占5.5%。骨髓活检:骨髓组织增生活跃,有核细胞容量约50%;粒系、红系比例正常;巨核系细胞0~1个/HPF,形态正常(图2)。

图2. 骨穿:骨髓组织增生活跃,有核细胞容量约50%;粒系、红系比例正常;巨核系细胞0~1个/HPF,形态正常
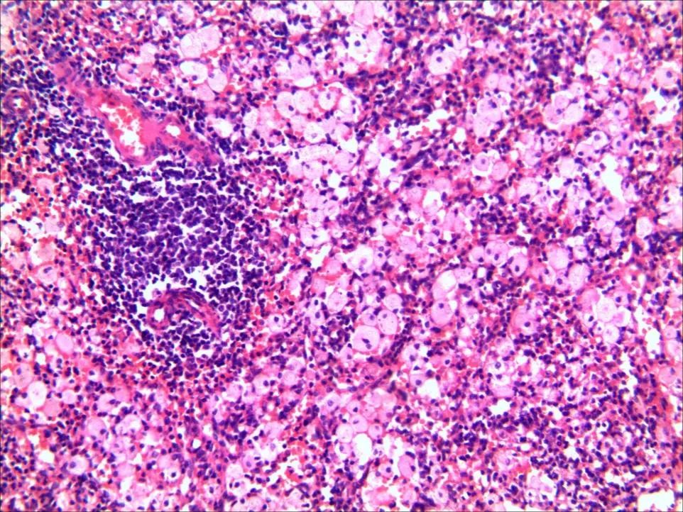
患者脾大显著,可压迫胃肠道,导致腹胀;牙龈出血行凝血机制正常,牙龈检查未见充血肿胀,骨髓穿刺未见血友病,白血病等血液系统疾病导致牙龈出血可能,考虑血小板减少导致牙龈出血;诊断为:原发性血小板减少性紫癜,海蓝组织细胞增生症;于2014年7月8日行脾切除术,术后脾脏病理:免疫组织化学及特殊染色结果考虑蜡样质组织细胞增生症(成人型Niemann-Pick病)(图3)。

图3. 脾脏:脾脏白髓萎缩,红髓扩大,脾索内可见大量海蓝组织细胞聚集,海蓝组织细胞呈嗜碱性空泡状胞质
患者经过脾脏切除术后无腹胀,无牙龈出血,病情好转,建议患者及直系亲属行基因检测,患者与家属拒绝。随访至今,患者精神、饮食可,无特殊不适,复查血常规、肝肾功正常。
专家点评
海蓝组织细胞增生症(Seablue Histiocytosis)或称海蓝组织细胞综合征(Syndrome of the Sea-blue Histiocyte),是Moeschlin于1947年首先提出,其用May-Grunwald Giemsa染色剂将成人肿大脾脏中含有的紧密堆积的细颗粒和粗颗粒的巨噬细胞染成深蓝色后,将这些细胞称为“蓝色组织细胞”(蓝色色素巨噬细胞)。后来莱克博士和他的同事在骨髓中描述了类似的细胞。
1954年Sawitsky等人发现两名相对无症状患者骨髓和脾脏中出现所谓“海蓝色组织细胞”,其认为这可能是一种单独的综合征[2]。Silverstein等在1970年总结了9例海蓝色组织细胞,其特点为肝脾肿大,血小板减少伴轻度紫瘢,骨髓涂片出现大量海蓝组织细胞,并创造了“海蓝色组织细胞综合征”这个名称[3]。
海蓝组织细胞增生症分为原发性和继发性[4],其中原发性是由鞘磷脂酶缺乏的常染色体隐性遗传引起的。鞘磷脂酶是一种溶酶体酶,催化鞘磷脂裂解为神经酰胺和磷酰胆碱[5];鞘磷脂酶的缺乏导致鞘磷脂贮积沉积在受累组织中,即为尼曼-匹克氏病的脂类代谢异常,其常导致肝脾肿大。原发性海蓝组织细胞增生症诊断依赖于检测杂合子APOE p.Leu167del致病变体,而确定第二个APOE等位基因是良性变体e2还是良性变体e3可能具有一些临床预测价值。
继发性海蓝组织增生主要存在于以下疾病:特发性血小板减少性紫瘢、慢性粒细胞白血病、高脂蛋白血症、儿童慢性肉芽肿、镜状细胞性贫血、肝硬化、地中海贫血、真性红细胞增多症、多发性骨髓瘤等,这些疾病由于正常酶系统负担过重(似慢性粒细胞白血病时可见到高雪氏细胞一样),或酶数量、功能异常,引起鞘磷脂酶在巨噬细胞沉积从而发展为继发性海蓝组织增生症[6],并且大多数继发性海蓝组织细胞增生常继发于脂质代谢疾病或类固醇存储疾病。
因此, 对原发性海蓝组织细胞增生症的诊断,除骨髓瑞氏染色涂片中(或脾、肝等组织中)发现大量海蓝组织细胞(必须作一些细胞化学染色以弄清这些颗粒的性质)并结合临床表现体征外,还必须排除上述所列的这些情况 [7]。
本例患者有慢性乙型肝炎病史,体征表现为脾大,脾功能亢进可引起PLT下降明显,影像学检查未排除肝硬化、胃镜未提示有静脉曲张。因此,肝硬化门静脉高压所致脾大与胃镜未提示门静脉高压性病变不符,诊断为乙型肝炎后肝硬化证据不足,肝活组织穿刺结果排除肝硬化。骨髓穿刺涂片检查见较多海蓝组织细胞,结合PLT显著降低、血小板特异性和组织相容性抗体弱阳性、抗核抗体阳性、抗RO52弱阳性,故诊断为原发性血小板减少性紫癜。
原发性血小板减少性紫癜可能与免疫系统的异常活化有关,免疫系统异常激活导致产生自身抗体,这些自身抗体可能攻击血小板或骨髓中的造血细胞,这种攻击可能导致血小板减少和骨髓中其他细胞的过度增生;在巨噬细胞中,还有具有“海蓝色”组织细胞形态。海蓝色组织细胞是在消化的早期阶段含有血小板的巨噬细胞,当这些血小板吞噬完成时,巨噬细胞会变成泡沫。因此,在ITP的情况下,脾脏中看到的海蓝色组织细胞是摄入和代谢异常血小板的巨噬细胞[8]。脾切除术后病理诊断蜡样质组织细胞增生症,提示尼曼匹克病。
尼曼-匹克病是一种罕见的常染色体隐性遗传病,其特征是由于脂肪、鞘磷脂和胆固醇的过度储存导致内脏肿大和神经系统改变[9]。尼曼-匹克病包括至少三种不同的疾病类型(A、B、C),全部通过常染色体隐性遗传,A型和C型常伴有严重的神经系统受累,B型NPD是一种罕见的先天性代谢缺陷,病程和预后均良好[10]。它通常影响儿童人群,只有5%发生在成人人群中[11]。本病例报告患者未进行基因检测,因此尚不能确定疾病分型。
该患者临床特点,排除了继发性海蓝组织增生症相关病因,诊断考虑为尼曼-皮克病,患者脾大的原因为脂质代谢引起脂质过度沉积在脾脏所致。对于患者出现皮肤紫癜、鼻出血、牙龈出血等临床表现,完善骨髓穿刺提示红髓扩大,考虑其对血细胞的破坏增加,导致PLT减少引起,因免疫力低下,感染不易控制,易出现败血症。脂质过度沉积在肝脏,导致肝功能衰竭,偶可发生肝硬化[12];而抗血小板自身抗体产生的主要部位在脾脏,血小板破坏的主要器官也是脾脏[13],故可进一步导致血小板减少,特发性血小板减少性紫癜的发生,血小板极度的减少进一步导致骨髓细胞的异常增生,可导致海蓝组织细胞的产生。
该患者的诊断为尼曼-皮克病继发特发性血小板减少及海蓝组织细胞增生症。 海蓝组织细胞增生症发病率较低,预后好,治疗无特殊,脾大、脾功能亢进明显者可行脾脏切除术 。因此,在诊断为海蓝组织细胞增生症后,该患者行脾切除术。术后随访至今已有9年,现患者诉无腹胀,牙龈出血症状,未诉特殊不适,建议患者到院复查,患者因经济及个人原因未能到院复查。
在肝硬化中,脾功能亢进为常见并发症,该患者以脾大、脾功能亢进为主要临床表现,有乙型肝炎病史,影像学不排除肝硬化,但并无其他门静脉高压临床表现,极易误诊为乙型肝炎后肝硬化所致脾功能亢进,故 脾大患者建议均应行骨髓穿刺以排除此类疾病 。
参考文献:
1.周晓蕾,汤善宏,张勇,等. 海兰组织细胞增生症一例[J]. 中华消化杂志,2014(7):459-459.
2. Long, R G;Lake, B D;Pettit, J E;Scheuer, P J;Sherlock, S :Adult Niemann-Pick disease: its relationship to the syndrome of the sea-blue histiocyte.1977;62 (4):627-35.
3. Silverstein MN, Ellefson RD, Ahern EJ (1970) The syndrome of the sea-blue histiocyte. N Engl J Med1970;282:1–4.
4. Suzuki, Osamu;Abe, Masafumi:Secondary sea-blue histiocytosis derived from Niemann-Pick disease.2007;47 (1):19-21.
5. Fried, K;Beer, S;Krespin, H I;Leiba, H;Djaldetti, M;Zitman, D;Klibansky, C:Biochemical, genetic and ultrastructural study of a family with the sea-blue histiocyte syndrome/chronic non-neuronopathic Niemann-Pick disease.1978;8 (4):249-53.
6. Ganguly, Siddhartha;Cunningham, Mark T :Idiopathic thrombocytopenic purpura associated with bone marrow sea-blue histiocytosis.2004;77 (4):405-6.
7. 陆定伟陈: 海兰组织细胞增生症[J]. 1980.
8. Lasser A. Diffuse histiocytosis of the spleen and idiopathic thrombocytopenic
purpura (ITP): histochemical and ultrastructural studies. Am J Clin Pathol. 1983
Oct;80(4):529-33.
9. Viana, M B;Leite, V H;Giugliani, R;Fensom, A :Sea-blue histiocytosis in a family with.Niemann-Pick disease. A clinical, morphological and biochemical study.1992;37 (1):59-67.
10. Turpin, J C;Masson, M;Baumann, N:Clinical aspects of Niemann-Pick type C disease in the adult.1991;13 (4-5):304-6.
11. Grau, A J;Weisbrod, M;Hund, E;Harzer, K :[Niemann-Pick disease type C--a neurometabolic disease through disturbed intracellular lipid transport].2003;74 (10):900-5.
12.Chainuvati, T;Piankijagum, A;Viranuvatti, V;Silverstein, M N:Sea-blue histiocyte syndrome in Thai siblings.1977;58 (1):58-64.
13.Burns, T R;Saleem, A:Idiopathic thrombocytopenic purpura.1983;75 (6):1001-7.

撰稿人
周晓蕾 ,西部战区总医院消化内科副主任医师,任四川省医学科技创新研究会肠道微生态与肠道免疫性疾病临床研究分会常务委员,四川省预防医学会感染性疾病预防与控制分会委员;四川省国际医疗交流促进会消化专业委员会委员;四川省康复医学会感染性疾病专业委员会委员;发表学术论文10余篇,参编专著2部;获国家专利2项,参与四川省卫生健康委员会科研课题1项。

撰稿人
陈雨琪 ,西部战区总医院消化内科,硕士研究生。
审稿人
汤善宏 ,西部战区总医院消化内科主任