什么是中央型肺癌?
中央型肺癌是指发生在段支气管以上至主气管的癌肿,约占肺癌的3/4,以鳞状上皮细胞癌和小细胞未分化癌较多见。但发现时,85%均处于晚期阶段,失去手术治疗时机。

中央型肺癌的病因有哪些?
其病因至今尚不完全明确,但诸多研究数据均证明吸烟是导致肺癌的首要风险因素,即使被动吸烟,肺癌风险也会比生活在无烟环境中的人高出20%-30%。肺癌的其他危险因子包含石棉、氡、砷、电离辐射、遗传以及慢性肺疾病等。
中央型肺癌有哪些症状表现?
(一)肿瘤引起的局部和全身症状
和很多疾病一样,在早期时肺癌并无明显特异性症状表现 ,仅为一般呼吸系统疾病所共有的症状,如咳嗽、痰血、低热、胸痛、气闷等,很容易被忽略。
(二)肺癌外侵与转移的症状
1. 上腔静脉阻塞综合征 若肿瘤侵及纵膈右侧压迫上腔静脉,最初会使颈静脉因回流不畅而怒张,最后还会导致面、颈部甚至双上肢水肿,颈部和上胸部静脉怒张,毛细血管扩张等。
2. 声嘶 是最常见症状,当肿瘤压迫喉返神经时,会出现声音嘶哑。
3. Horner综合征 肺尖部肺癌或转移淋巴结易压迫颈部交感神经,从而引起病侧眼睑下垂、瞳孔缩小、眼球内陷,同侧额部与胸部少汗或无汗。
4. Pancoast综合征 在Horner综合征的基础上肿瘤进一步破坏第1、2肋骨和臂丛神经,引起嗓子疼痛。

管肺癌与颈交感通路
5. 其他 若病灶转移到脑,则可产生持续性头痛、视朦。继续发展可能导致意识模糊甚至癫痫;若癌症转移到骨,可引起骨痛或骨折;肺癌发生脊柱转移可引起疼痛;癌症可进一步转移到脊髓首先表现为背痛,继之传至下肢,可有下肢无力、大小便*禁失**,最终可导致转移点以下部位瘫痪。
(三)胸外表现
肺癌非转移性胸外表现又称副癌综合征。肺性肥大骨关节病多见于肺腺癌患者,其次也可见于肺鳞癌。临床主要表现为骨的大关节疼痛、杵状指/趾,X线见长骨骨膜增生或骨膜炎可作为诊断依据。高钙血症可由骨转移或肿瘤分泌过多甲状腺激素相关蛋白引起,常见于鳞癌,切除肿瘤后血钙水平可恢复正常。此外,非小细胞肺癌也可表现为Cushing综合征、重症肌无力、多发性肌肉神经痛等。
需要做哪些影像学检查,有哪些表现
1. 胸部X线片检查 是发现肺癌的重要方法。中央型肺癌表现为靠近肺门的类圆形或不规则团块,可有毛刺或分叶;肿瘤转移至肺门或纵膈淋巴结,可出现肺门增大、气管分叉角度异常;伴肺不张或阻塞性肺炎时,形成反“S”征,为肺癌的典型征象;不完全阻塞时刻出现局限性肺气肿,完全阻塞时可出现肺不张。体层摄片可见支气管管壁增厚、狭窄、中断或腔内肿物。
2. CT 是目前诊断肺癌和鉴别良恶性结节的最常用手段。通过CT可以发现X线检查难以发现的病变,如心脏后、脊柱旁沟、肺尖、肺底近膈面的病变。可更好的观察肺内结节影的密度、是否钙化、有无空洞、边缘和毛刺等特征。同时对病灶进行增强CT检查,还有助于区别肿块和血管的影像。
3. 核磁共振(MRI) 可以较好的显示中央型肺癌的基本征象,可作为影像学检查的一种有效补充手段,对区分肿瘤与炎症不张的肺组织优于CT。
4. PET-CT 对鉴别肺部孤立结节是否为恶性具有较高的敏感性和特异性。对纵膈淋巴结和远隔转移检出率高,有利于肿瘤分期。对肺不张的患者有助于鉴别肿瘤的位置。
5. CT仿真支气管镜(CTVB) 是一种气道3D成像新技术,但目前能清楚显示的中央型肺癌大多为晚期,对原位癌或癌前病变尚难发现。根据仿真支气管镜原理,现已研制成功虚拟支气管镜引导系统(VBN),可准确引导支气管镜检查和活检。
如何确诊?怎么判断病情轻重?
(一)诊断
病理诊断是确诊肺癌的金标准。
在肺癌高发人群中普查,通过胸部X线片和痰脱落细胞检查,如有结果出现异常,应仔细分析:
1. X线胸片阳性(有直接或间接征象)和脱落细胞阳性(找到癌细胞)者,在排除上呼吸道及口腔、食管癌之后应诊断为肺癌。
2. X线胸片阴性而痰脱落细胞阳性的隐性癌,在排除口鼻咽和食管癌之后,应进行气管镜检查,认真查找癌灶,对可疑部位进行活检、刷检和灌洗液找癌细胞或肿瘤标志物检测,有时需要反复进行多次才能确诊。若仍为阴性结果,可用光动力或自体荧*气光**管镜直接观察,对可疑部位进行活检。
3. X线胸片阳性,痰脱落细胞阴性者,对阻塞性肺炎、肺不张或肿块位于肺门的应尽早行支气管镜检查,对周边病变可进一步作CT等影像学检查外,应经皮或用气管镜经支气管肺活检。
4. X线胸片和痰脱落细胞检查均阴性的肺癌高发人群,如45岁以上的男性有大量吸烟史,有咯血痰史者,应直接做气管镜检查,以便早期获得诊断。

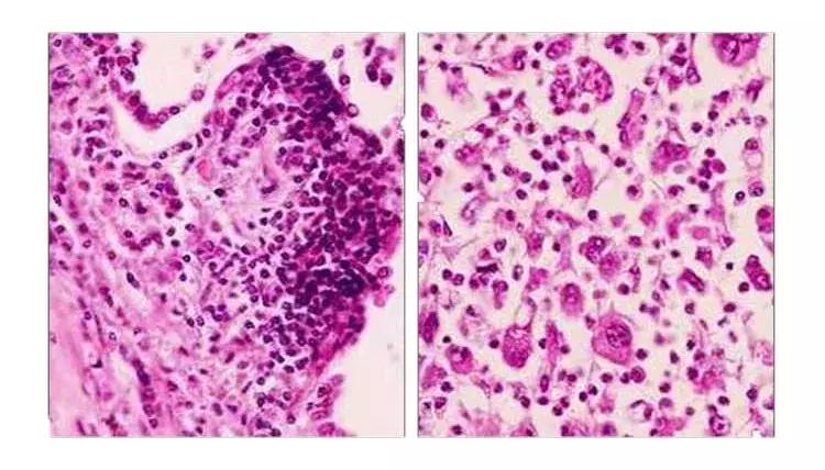
肺癌病理诊断(左为小细胞肺癌,右为非小细胞肺癌)
(二)分期
最常用于描述中央型肺癌生长和扩散的是TNM分期系统,T代表肿瘤(其大小以及在肺内和邻近器官的扩散程度),N代表淋巴结扩散,M代表转移(扩散到远处器官)。在TNM分期中,结合了有关肿瘤、附近淋巴结和远处器官转移的信息,而分期用来指特定的TNM分组。分组分期使用数字0和罗马数字I至IV来描述,数字越大一般提示病情越重。
怎么治疗?有哪些手段?
如果患者不适合手术切除或拒绝手术,采用合适的气管镜下介入治疗方案,并配合综合治疗手段,也可以达到根治效果。常用的方法有冷冻、热消融(高频刀、APC、激光、微波、射频等)、光动力治疗、近距离释放、内支架置入、粘膜下或瘤体内药物注射等。而对腔外的肿瘤则可在影响引导下经皮穿刺行血管介入治疗、氩氦刀、射频、微波、放射性粒子/化疗粒子植入等。
提醒:如果你是患者,具体治疗方法建议咨询医生,因为每个人的病情都是不同的,采取的治疗方法也会不同。