病毒性肺炎常表现为双肺多发磨玻璃密度影及实变影,新型冠状病毒(2019-nCoV)感染的肺炎部分病例早期影像表现不典型,症状与普通感冒类似,临床诊断困难,认识CT不典型病变征象,结合临床表现和流行病学史可以尽快诊断,避免病例漏诊。

截至2020年1月31日15时,国家卫生健康委员会累计报告新型冠状病毒(Novel coronavirus,2019-nCoV)感染的肺炎患者9737例,已治愈出院178例,死亡213例,累计报告疑似病例15238例。然而,自2020年1月12日WHO确认此次不明原因肺炎的病原体为2019-nCoV时起,直到1月24日24时报告病例才1287例,可能存在对早期影像表现认识不足。因此,本文对14例不典型(早期)病例进行总结。
1 材料与方法
回顾性分析符合临床诊断标准的14例2019-nCoV感染的肺炎患者的影像学资料,观察分析肺部CT影像表现。其中男性8例、女性6例,年龄22-63岁。全部病例均无基础疾病,否认到过华南海鲜市场。临床表现为发热、咳嗽,部分伴有头痛、乏力、气促、全身酸痛不适等。

检查设备:采用西门子及GE 64排128层螺旋CT进行扫描;患者采取仰卧位,扫描范围从胸廓入口至双侧肋弓下缘;扫描参数:120KV,210mA,采用高分辨HRCT扫描技术,层厚1mm,层距1.25mm。
2 结果
14例患者发热立即检查,4例胸部CT未发现病变。
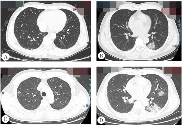
病例1,男,42岁,3天前受凉后开始出现发热,体温最高39.3℃。早期胸部CT未见异常(图1A);5天后出现局限性病变,病变边缘模糊,伴空气支气管征(图1B);5天后继续复查,出现左下肺实变、双肺多发斑片状磨玻璃影(图1C-D)。

图1 病例1胸部CT影像表现
病例2,男,53岁,于1周前无明显诱因开始出现发热,最高体温达39.5°C,伴咽痛。早期胸部CT未发现异常(图2A),1周后左下肺出现局限性磨玻璃密度影(图2B)。

图2 病例2胸部CT影像表现
病例3,男,30岁,5天前无明显诱因出现间断发热,最高体温不详,伴全身乏力,偶有干咳,无意识障碍、胸痛、咯血等异常。双肺多发结节及磨玻璃影(图3),治疗1周后出院。

图3 病例3胸部CT影像表现
病变部位分布情况:8例病变局限性分布、累及单侧肺,6例累及双肺。以双肺下叶及外周多见;或者呈现单肺单发亚实性磨玻璃影,伴小叶间隔增厚。
3 讨论
2020年1月28日2019-nCoV感染的肺炎诊断指南第4版正式发布,2019-nCoV感染的肺炎明确具备人传人的特点。此次肺炎起病特征不典型,高热起病者少,部分患者可无发热。无基础疾病者一般临床表现多为发热、干咳、乏力,很少有上呼吸道感染(打喷嚏或喉咙痛)的症状,表明病变主要累及下呼吸道。

根据《新型冠状病毒感染的肺炎诊疗方案(试行第4版)》,同时符合以下2条即可定义为疑似病例:
(1)流行病学史:发病前两周内有武汉市旅行史或居住史;或发病前14天内曾经接触过来自武汉的发热伴有呼吸道症状的患者,或有聚集性发病。
(2)临床表现:①发热;②具有典型肺炎影像学特征;③发病早期白细胞总数正常或降低,或淋巴细胞计数减少。确诊病例:符合疑似病例标准的基础上,痰液、咽拭子、下呼吸道分泌物等标本行实时荧光RT-PCR检测2019-nCoV核酸阳性;或病毒基因测序,与已知的新型冠状病毒高度同源。

胸部影像学检查作为早期确诊疑似病例的手段之一,由于其方便快捷,在临床上应用广泛。对于典型双肺多发磨玻璃密度影,诊断比较容易,但此次2019-nCoV感染的肺炎为新出现的病毒,人们对其临床特征一无所知。是否具有一般病毒肺炎的影像学特点?我们比较发现其与H1N1肺炎有所不同。
H1N1胸部CT表现呈现一定的发展规律:①病变早期,多表现为肺内散在小片状,胸膜下分布或沿支气管树分布的局灶性磨玻璃密度、实变影;②进展期,多数患者在发病8-14天达到肺部浸润最严重的阶段,磨玻璃密度影可融合成散在多发的实变影,其内可见充气支气管征;③病变恢复期,以肺间质改变为主。部分可伴有纵隔内淋巴结肿大、胸腔积液与纵隔气肿等。

与2003年发生严重急性呼吸综合征(SARS)相比,SARS的主要表现为:发病初期(发病2-3天)发热明显,影像常表现为肺内小片状异常影像,磨玻璃影常见,以下肺及周边分布多见。在发病3-7天内进行性加重,发病后2-3周进入最严重的阶段,称为病变进展期。磨玻璃影实变,可出现网格影,合并小叶间隔增厚。小片状发展为大片状,单发进展为多发或弥漫性病变。发展迅速、变化快,受累肺叶数多快速增加,病变可由一个肺叶进展为多个肺叶,由一侧肺发展为双肺,甚至出现“白肺”。发病2-3周后,进入吸收期,由多发、弥漫性病变向局限性转变,密度开始减低,范围逐渐缩小甚至消失,有的病人炎症吸收后,遗留一些肺间质纤维化的表现 。

此次新型病毒性肺炎来势凶猛,已明确有人传人的特点,“早发现、早报告、早隔离、早治疗”十分重要。认识不典型影像学表现,对2019-nCoV感染的肺炎的早期识别发挥着重要的作用,建议及时多次检查及影像学追踪随访,可以快速、简便地了解确诊,观察病情变化。