(文中含手术标本展示,请谨慎点击阅读)
前言: 我们知道肺浸润性腺癌分为贴壁型、乳头型、腺泡型、实体型以及微乳头型五种主要形态,后来又提出了复杂腺体亚型,其中贴壁型对应高分化、乳头型与腺泡型对应中分化,余下的实体型、微乳头和复查腺体亚型分化差,恶性程度高,是高危亚型,也就是低分化腺癌。那么影像上其中的微乳头是长什么样的?手术后如果没有淋巴结淋巴结转移的早期高危亚型的肺腺癌,也就是如果ⅠA期早期肺癌中的高危亚型到底要不要术后辅助治疗,这是个网络问诊中以及临床中非常值得思考与讨论的问题。今天我们以一例微乳头为主型的病例来聊一聊这方面的事,希望对广大结友有所帮助,也希望大咖们能尽早提出更为合理的方案,以便让我们小医院基层的医生能够遵从处理与回答患者的疑惑。
金华的某A,男性,今年69岁,检查发现右肺结节3天入院,其在来我门诊前已经在杭州某医院就诊过,后来在朋友建议下仍来金华市人民医院找我手术,所以到门诊时直接就是说来住院手术治疗的。
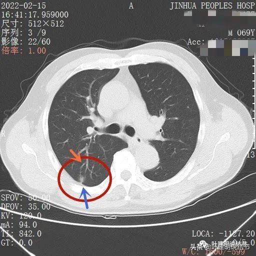
我们先来看下他的CT平扫5毫米层厚的图像:

病灶出现,有血管进入(桔色箭头),有轻微胸膜牵拉(蓝色箭头)

病灶基本实性,但边缘稍不平整,有的边比较平直,但仍是不光滑的

病灶的部分边缘呈锯齿状,不平整,更谈不上光滑

病灶下缘显示与叶裂相接触处
这样的病灶是个实性病灶,边缘不平整,收缩力不强,良性是不像的,普通炎症也是不像的,周边过于清晰了。基本上要考虑肿瘤范畴的。
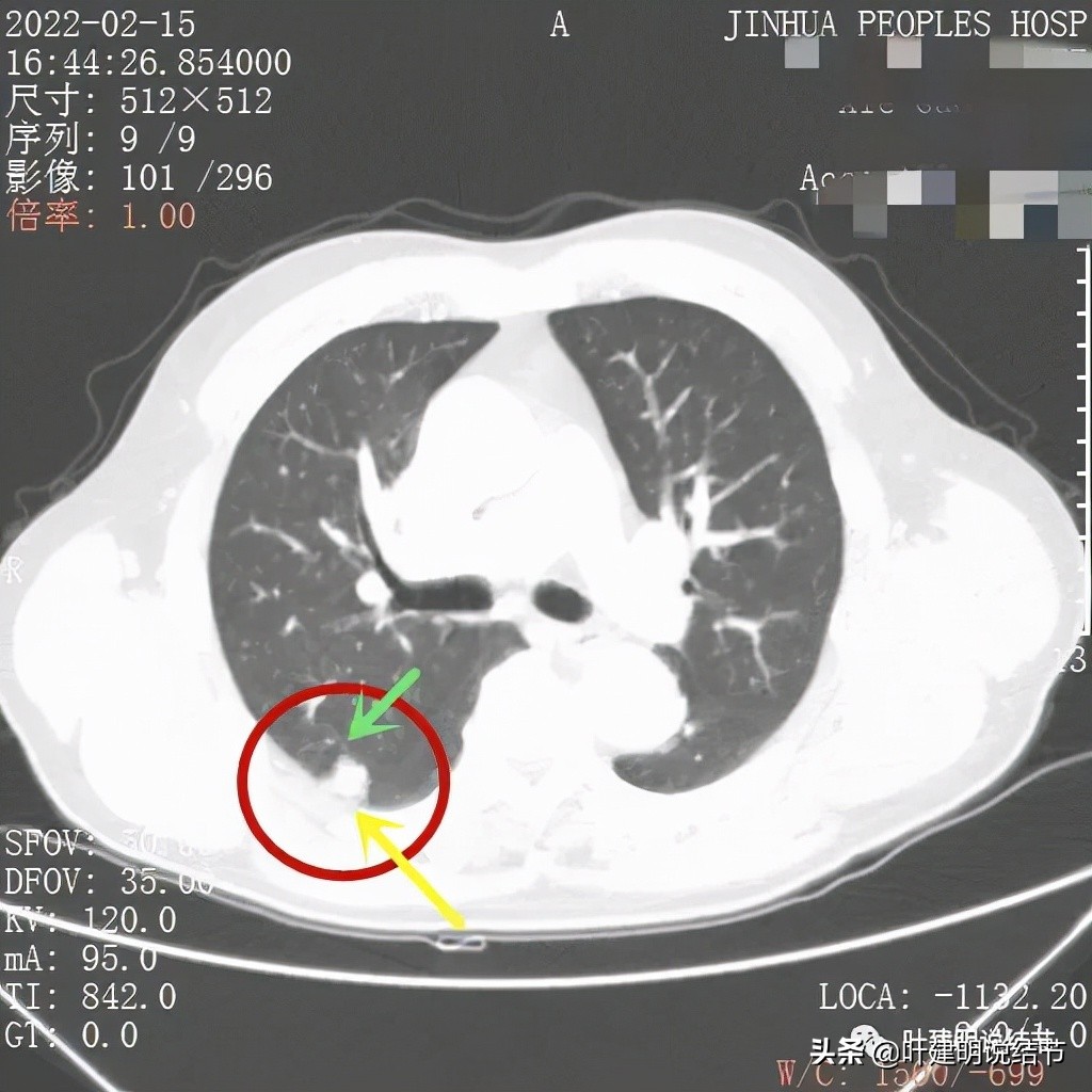
我们再来看薄层的CT图像:

病灶出现,虽然此层面还很小,但也是实性的,有微血管进入(桔色箭头)

上图更清楚显示血管进入病灶,病灶与胸膜间点状相接,感觉病灶有膨胀性,圆形或类圆形的

病赤边缘不平整,感觉毛糙(紫色箭头),此层也见血管征(桔色箭头)

病灶边缘不平,略模糊

边缘似见少许磨玻璃成分(绿色箭头),病灶与胸壁间离的这么近,但有低密度分界(黄色箭头),说明不是普通炎症性,如果炎症会有水肿,间隙一般不清

上图除了间隙以外,病灶有的地方有膨胀性,往外鼓出去一点(砖色箭头)

膨胀性以及与胸壁间隙

上图示病灶边缘毛糙(紫色箭头),以及与胸壁间的间隙存在(黄色箭头)

病灶边缘欠平整

叶间裂受到牵拉(蓝色箭头)

也示叶间裂牵拉

病灶边缘部位

纵隔窗病灶密度不均,有强化,与胸壁之间有低密度间隙

冠状位显示闰灶叶间裂处凹向病灶中心部位以及与胸壁间的界限

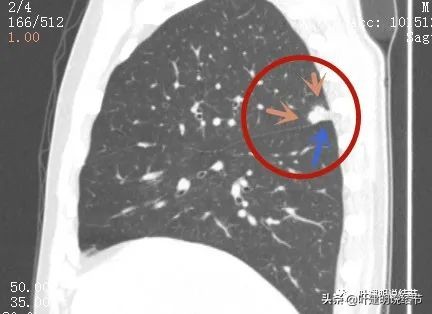
矢状位病灶叶间裂受牵拉(蓝色箭头)以及边缘不平膨胀浅分叶征(砖色箭头)

上图是轴位、冠状位与矢状位的图像
我们发现此病灶的影像特征有以下方面:
密度:实性且在纵隔窗上密度不均,强化不等;
边缘:边缘毛糙不平,有浅分叶,部分层面似有少许磨玻璃成分(薄薄的一层,不确切),对叶间胸膜有牵拉,但牵拉力并不强;
血管:有血管征,血管进入明显;
邻近:与胸壁紧贴,但两者之间有低密度的界限,表明一是没有水肿与糊墙征,二是肿瘤收缩力弱。
总体印象:右上叶此病灶基本可肯定为肺癌,不是贴壁为主型,也不似实体型(实体型的一般收缩力较强,毛刺征较为明显些),也不是很像腺泡型(腺泡型的密度不均,往往伴有贴壁成分,而且不是特别密实的那种),也不似粘液腺癌(粘液腺癌轮廓清,内部密度均匀)。大概会是乳头型或微乳头型,这两型我感觉影像上可能不一定看的出异常。
处理策略:因为病灶在上叶边缘部分,先胸腔镜下局部楔形切除,如果报浸润性腺癌,再进一步行单孔胸腔镜下右上叶切除加淋巴结清扫术。
标本展示:

病灶实性,密度高,略感觉有点显湿润,不是很密很干的那种


病理示:浸润性腺癌,微乳头为主型。淋巴结共清扫了N1组17枚均阴性;N2组共7枚也均阴性。按分期是ⅠA2期,早期。术后怎么办?要不要术后辅助治疗?如何治疗?下面我们来探讨一下:
肺癌术后辅助治疗指南的表述:

按指南这样的病例术后不需要辅助治疗,只需定期随访。至于术后是否需要基因检测,指南的说法是:

这是中华医学会的肺癌治疗指南表述的,看着感觉挺绕的,而且感觉不是说的很清楚,是所含腺癌成分的都检测,还是需要术后辅助治疗的要基因检测。其实它之所以分开来表述,是因为推荐证据的等级不一样。所以腺癌,术后基因检测是可以的,即使早期,只要含腺癌成分。但在《Ⅰ~ⅢB期非小细胞肺癌完全切除术后辅助治疗指南(2021版)》中是下面这样说的:

也就是说需要术后辅助治疗的非小细胞肺癌患者,需要进行EGFR基因突变检测。如有必要,可行ALK、ROS1、MET、HER2、RET、KRAS等基因检测。个人以为这个比较准确。假如术后反正不需要辅助治疗,花大几千或上万的费用检测了干嘛呢?用到时再检测也可以呀!当然对于本例这种ⅠA期期,却是高危亚型的是个纠结与例外的情况。对这类病人:
术后要不要化疗?

指南是这样表述的,我的想法是化疗一是效果有限,才提高5年生存率约5%,也不是预防复发或能治愈的手段;二是化疗副作用较大;三是虽高危并不表明一定要2-3年内肯定要复发转移。而且即使到时候复发转移,再来处理,可能最后的生存期或效果也相差不大。所以针对ⅠA期含高危亚型的个人建议不必化疗。
要不要靶向治疗?
如果基因检测阳性,有靶向药可吃。按指南虽不必吃,但临床上、上级医院建议病人吃的多了去了,指南是这样说的:


ⅠB期的早期肺癌若EFGR阳性是推荐吃奥悉替尼的。因为ⅠB期含高危因素而EGFR又是阴性的术后推荐辅助化疗的,所以许多医生将其参照应用到ⅠA期含高危因素的病例中来。个人以为:含高危亚型的ⅠA期早期肺腺癌,应该进行EGFR等基因检测,如果阳性,可考虑服用靶向药物治疗(虽然这是突破指南的),因为副作用相对较小、服用方便,如果医保费用能报销更可考虑。
回到今天这个病例,它不单是微乳头为主型,还有脉管侵犯、气管侵犯、气管播散,前些日子在郑于臻博士的公众号《郑正有词》中看到一篇专门关于气道播散方面的文章,我截图如下,以让大家对STAS有更好的了解:





因为研究显示:STAS阳性患者表现出更快的复发以及更短的生存时间。进一步的亚组分析显示,STAS这种不好的预后影响主要体现在I期肺癌患者,而在II、III期患者中没有意义。在I期患者中,5年内的肿瘤控制率,STAS阳性 vs STAS阴性=37.4% vs 68.4%,p=0.0006;5年内的总生存率,STAS阳性 vs STAS阴性=50.2% vs 70.1%,p=0.0078。在I期人群中,STAS的作用即便在校正其他潜在因素后依然显著。所以,STAS在肺癌患者中非常常见,出现STAS即意味着出现浸润性为,更容易出现短期复发,这种现象在早期肺癌尤为明显。所以本例如果基因检测阳性,个人以为该予以靶向治疗更为稳妥。
当然我们更希望,国家有关部门以及大医院的专家教授们尽快对这类早期肺癌进行更多的关注与研究,及早出台切实可行的,可操作性强的,能分层分析遵循的术后辅助治疗指南,来指导临床实践。因为没有指南的指引,医生的建议会处于非常尴尬的境地:推荐靶向治疗不合乎指南要求;不推荐靶向治疗可能不利于病人的长期预后。当然业内还需要更多研究证据来表明对于这类病人不单是术后需不需要辅助靶向治疗,还要回答术后辅助给药与随访复发转移后的给药有没有区别?以及术后辅助预防性给药对机体的长期影响如何?这都是我们这种小医生解决不了的,但又确实是临床遇到是困惑的。
(此处已添加医疗卡片,请到*今条头日**客户端查看)