民间有个说法:牙疼不是病,疼起来真要命,话真如此,牙疼是一种常见疾病,发作起来主要有牙龈红肿、遇冷热刺激痛、面颊部肿胀等症状,大多数牙疼与牙龈炎和牙周炎、龋齿(蛀牙)或折裂牙导致的牙髓(牙神经)感染脱不了干系。

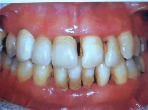
在所有的牙齿疾病中,牙周炎又最为普遍,早期牙周炎患者只有继发性牙龈出血或口臭的表现,而一旦恶化就需要拔牙,据流行病学调查显示,因患牙周炎而拔牙的患者占拔牙总数的40%左右,已经接近于总患者人数的一半,牙周炎严重影响到了人们的正常生活。

牙周炎主要是由局部因素引起的牙周支持组织的慢性炎症,早期多没有明显自觉症状而易被忽忽视,如果炎症未能及时治疗,就会由牙龈向深层扩散到牙周膜、牙槽骨和牙骨质而发展为牙周炎,这时候已经较严重。
既然牙周炎早期是炎症,而我们又难以察觉,要怎么去预防呢?
早在1996年,市面上就已经出现了防龋除臭牙膏、口香糖等口腔护理产品去对抗牙周炎,而这些产品的主要成分与茶叶中的内含物质有着一定的关系,茶叶中的茶多酚有着一定的抗炎症功能。
另外,也有相关的研究已经证明:茶叶中的茶多酚可以预防和治疗牙周炎。 在云南农业大学盛军校长《喝茶与抗炎症》一文中介绍到,通过观察试验,使用1%茶多酚牙膏的牙周炎患者,从其牙周袋内细菌检查结果中发现,细菌的总数、杆菌和螺旋体的数量有明显下降趋势,茶多酚对抑制菌斑和致病细菌造成的牙周炎有明显的预防和治疗效果。
茶多酚和茶色素是一种天然的强氧化剂,除了能预防牙齿炎症以外,口服或者外用茶多酚能够抵抗紫外线对皮肤的损伤,并且可以尽快的清除皮肤中所产生的多余自由基,减缓对皮肤的衰老进程,从而保持皮肤年轻健康。同时,茶多酚和茶色素可以抑制皮肤中致炎菌和致炎因子,对皮肤炎也症有一定的治疗和抑制作用。

以上提到的牙周炎和皮肤炎症都是平时人们所说的“发炎”,通常人体内发生炎症是有益的,是对外界刺激的一种防御反应。但有些炎症会对人体自身组织进行攻击而影响正常生活,成为很多疾病的祸根,并与一些肿瘤的发病有着密切的关系。
所以常喝茶,茶叶中的茶多酚可以帮助我们消除身体表面的一些炎症(牙周炎和皮肤炎),同时也可以预防癌症等重大疾病的发生,赶紧放下手中的碳酸饮料,来杯茶吧!
来自:深圳茶友圈(微信号:szchaa)
分享与茶、深圳生活相关的文章,长按 szchaa 复制到微信里搜索订阅哦!