极重度慢性阻塞性肺疾病(慢阻肺)患者常因无法耐受支气管镜操作,而失去接受经支气管镜肺减容术(endoscopic lung volume reduction,ELVR)的机会。近日,空军军医大学西京医院呼吸与危重症医学科RICU宋立强教授团队(屈朔瑶博士、吴运福呼吸治疗师等)成功实施1例“无创通气辅助的经支气管镜肺减容术(NIV-ELVR)”,使得病情进行性恶化的无创通气依赖患者之呼吸困难症状、动脉血气指标及呼吸功能等显著改善,并成功脱离无创通气,避免了气管插管。该临床策略将呼吸危重症支持技术与气道介入治疗技术相结合,为此类患者的救治开拓了新思路,尚未检索到类似报道。

术中
经支气管镜肺减容术(ELVR)介绍
✚
●
○
ELVR方法主要包括经支气管镜置入气道内单向活瓣(endobronchial valve,EBV)、组织密封剂封堵术、气道旁路支架、经支气管镜置入弹簧圈和支气管镜热蒸汽消融术。其中,经支气管镜置入EBV技术在2002年首次使用,是目前最为成熟的技术。
EBV的作用原理(图1)是单向活瓣在呼气时打开,允许目标肺组织中的气体呼出,吸气时关闭,阻止新的气体进入目标肺组织,从而引起目标肺组织萎陷,一方面减少肺的总体容积,改善膈肌低平状态,增加膈肌收缩能力,改善呼吸困难症状,另一方面可减少对相对正常肺组织的压迫,减少死腔,改善通气/血流比值。

图1 EBV的结构(左)与作用原理(右)
2019年GOLD指南仍然推荐:对于当最佳药物治疗效果仍不佳的部分晚期慢阻肺患者,经支气管镜肺减容术介入治疗可能有益。临床常用的方法是置入气道内单向活瓣来减少呼气末肺容积,改善术后6-12个月内的运动耐受性、健康状态和肺功能。
2019年欧洲专家推荐的主要适应证是:重度异质性肺气肿,特别是高分别率CT提示主要病变在肺上叶;中至重度阻塞(20%<FEV1实/预≤45%);肺功能提示RV>175%预计值和RV/TLC>58%;运动能力受损但6分钟步行距离>140 m。
而对于有重度高碳酸血症(PaCO2>60 mmHg)、肺动脉高压(右室收缩压>50 mmHg)、充血性心力衰竭(左室射血分数<40%和需要通气支持的患者,则不推荐应用ELVR。
然而,由于多种因素包括患者对呼吸困难症状的耐受性高、医务人员关于ELVR的理念欠缺及经济条件落后等,使得我国的很多患者考虑接受ELVR时,肺功能破坏已经非常严重,超出了文献所推荐的适应证范围,甚至出现禁忌证,导致患者无法承受ELVR操作过程的风险而被迫放弃,或者操作过程由于氧合不足导致意外发生。基于此,本团队提出“无创通气辅助的经支气管镜肺减容术(NIV-ELVR)”的临床策略,试图治疗极重度甚至已经呼吸机依赖的慢阻肺患者。近期试用1例患者并取得成功。
术前情况
患者男性,61岁,主因“反复咳嗽、咳痰10余年,加重8月余”于2019年4月入院。
既往史
患者既往体质一般,有煤尘接触史(环卫工人)11年,脱离接触已8年;吸烟20余年,300包/年,已戒烟5年;无其他器官系统疾病。
患者拟行ELVR从外院利用转运无创呼吸机转入我科。
入院查体
体温 36℃,心率 61次/分,呼吸 35次/分,血压 139/96 mmHg;双肺呼吸音极低,未闻及明显干湿性啰音,余系统查体未见明显异常;患者呼吸困难症状明显[可见明显“三凹征”(图2)],持续无创通气无法脱机、不能耐受平卧。
辅助检查
入院时血气分析提示(无创通气,模式 S/T,EPAP 4 cmH2O IPAP 12 cmH2O,FiO240%):PH 7.407,PaO2 92.2 mmHg,PaCO252.1 mmHg,HCO3 -32.1 mmol/L。
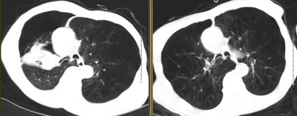
高分辨胸部CT提示:肺气肿以双肺上叶为著,右肺上叶肺大疱,中叶呈外压性条索状,右侧斜裂完整。
2018年5月肺功能提示:FEV1/FVC 39.02%,FEV1实际值/预计值 14%,FVC实际值/预计值 28.3%;此次无法完成肺功能检测。
初步诊断
慢性阻塞性肺疾病(极重度,D组)。
入院后治疗
药物治疗及无创辅助通气1周后,患者呼吸困难症状无缓解,血气分析进一步恶化(术晨,无创通气,模式 S/T,EPAP 4 cmH2O,IPAP 17 cmH2O,FiO240%):PH 7.19,PaO294.6 mmHg,PaCO276.8 mmHg,HCO3 -28.8 mmol/L。

图2 术前呼吸状态(左、中)与术后即刻呼吸状态(右)
介入方案
无创辅助通气下转运患者从呼吸监护室至气管镜室;持续无创呼吸机辅助呼吸下静脉推注丙泊酚40 mg至患者呈意识模糊(RASS -3~-4)状态,并摆平卧位;经无创通气面罩工作孔实施支气管镜介入治疗(图3),于右肺上叶尖、后、前段支气管开口置入4枚EBV(图4);基于对CT影像学的评估及缩短手术时间,未实施Chartis旁路通气检测;术中给予丙泊酚持续镇静(2 mg/kg/h),2%利多卡因局部麻醉;术中持续心电监测生命体征(心率、血压、呼吸频率和血氧饱和度),呼吸机持续监测呼吸参数(潮气量、分钟通气量、呼吸频率、呼吸波形),持续评估镇静状态;术后患者即刻清醒并辅助通气下安返病房。

图3 经无创面罩工作孔行支气管镜介入模拟图

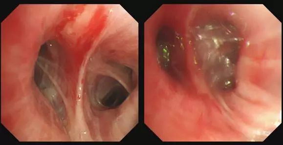
图4 右肺上叶镜下术前(左)与术后对比(右)
治疗效果
术中患者心率 60-105次/分,呼吸频率16-27次/分,潮气量4-12 ml/kg,SpO292%-97%,镇静评分(RASS)-3~-4;EBV放置到位,开合良好;术后即刻患者自述气短症状有所减轻,能仰卧并短暂脱机,术后1天PaCO2恢复正常(无创通气情况下,从76 mmHg降至45 mmHg)并能长时间脱离呼吸机, 呼吸困难症状明显减轻(图2),术后2天即能下床缓慢行走(图5)。
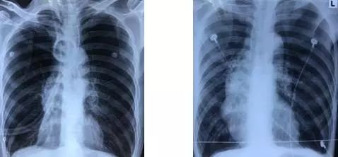
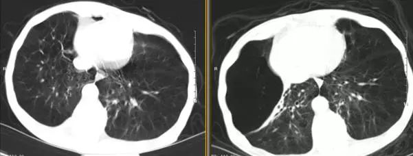
术后3天复查胸部平片(图6)提示:右肺容积较前减少,纵隔右移,膈肌穹顶较前提高。
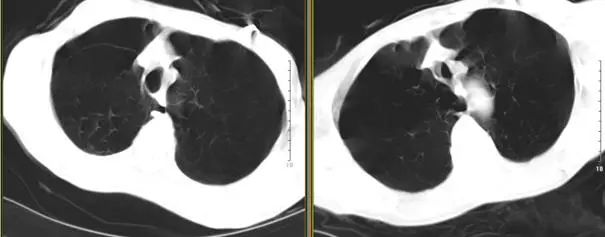
术后5天胸部CT(图7)显示右肺上叶局灶性气胸,肺大疱明显缩小,中叶未能复张,血气分析(鼻导管吸氧2L/min)提示:PH 7.425,PaO261.8 mmHg,PaCO246.8 mmHg,HCO3 -30.0 mmol/L,遂出院观察。住院期间无院内获得性肺炎、咯血、单向活瓣移位等并发症。

图5 术后2天离床活动

图6 ELVR术前(左)与术后3天(右)床边胸部平片

图7 术前2天(右)与术后5天(左)胸部CT对比
启示与思考
EBV技术可显著改善患者肺功能和生存率,是治疗终末期肺气肿患者的一种可行且安全的技术;肺功能极差(FEV1<20%预计值,有重度高碳酸血症(PaCO2>60 mmHg),需要通气支持的患者,是ELVR的禁忌证。该例患者FEV1实际值/预计值为14%,PaCO2高达76 mmHg,且需要持续无创通气支持,无法脱机,存在理论上的禁忌证。
在无创通气辅助情况下,该团队成功实施经支气管镜置入单向活瓣肺减容术,取得以下三个方面的疗效与经验:
(1)无创通气保障ELVR操作过程的安全性;
(2)ELVR的顺利实施促进呼吸机依赖患者脱机;
(3)ELVR避免患者从无创通气失败转为有创通气。
总而言之,该例成功病例验证了“无创通气辅助的经支气管镜肺减容术(NIV-ELVR)”临床策略的可行性、有效性和安全性,使极重度甚至已经呼吸机依赖的慢阻肺患者获得ELVR的治疗机会。文献检索尚未发现类似报道,NIV-ELVR的规范化操作流程及意外情况的应急预案需要进一步摸索和完善。
【参考文献】
-
Global Initiative for Chronic Obstructive Lung Disease. Globalstrategy for the diagnosis, management and prevention of chronic obstructive pulmonary disease 2019 report[EB/OL]. https://goldcopd.org/gold-reports/.
-
Felix J.F,Dirk-Jan Slebos. Endoscopic Lung Volume Reduction: An Expert Panel Recommendation – Update 2019.Respiration 2019; 5:1-10.
-
Gompelmann D, HerthFJ.Novel technologies in endoscopiclung volume reduction.ThoracSurgClin, 2016, 26:177-186.
-
Toma TP, et al. Bronchoscopic volume reduction with valve implants in patients with severe emphysema. Lancet 2003;361:931–933.
-
Venuta F, et al. Long-term follow-up after bronchoscopic lung volume reduction in patients with emphysema. EurRespir J 2012;39: 1084–1089.