2022年6月30日下午,宜宾市第三人民医院肺小结节MDT专家团队开展定期讨论活动。
参加本次活动的专家有胸外科主任刘建超、肿瘤科主任胡钧文、呼吸与危重症医学科游通主任、放射科主任赖宇林及相关科室的医生护士共10人。本次会诊共讨论两例肺小结节病人。
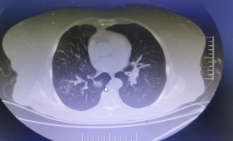
病例一:72岁的曾女士,因反复咳嗽、喘息、气促30年,加重2+月于6月27日入院。查体: 体温:36.7℃ 脉搏:90次/分,呼吸:22次/分,血压:126/79mmHg。全身浅表淋巴结未扪及肿大。口腔内见少许真菌斑。胸廓对称呈桶状,肋间隙增宽,双肺叩诊为过轻音,双肺呼吸音低,闻及大量哮鸣音,双下肺闻及少许湿啰音。入院诊断:1.慢性阻塞性肺疾病急性加重期; 2.双肺支气管扩张伴感染;3.慢性肺源性心脏病(失代偿期)。胸部CT:右肺下叶内基底段亚实性结节,最大横截面约2.0cm*1.4cm,边缘可见血管影(如图所示)

经过几位专家的认真分析讨论,认为该病人肺癌可能性大,因病人肺功能差,慢阻肺严重,不能耐受胸腔镜手术治疗。建议肿瘤科行穿刺活检,诊断明确后可行射频消融术等保守治疗。
该病人经肿瘤科穿刺证实为肺微浸润腺癌,行射频消融术,手术顺利。
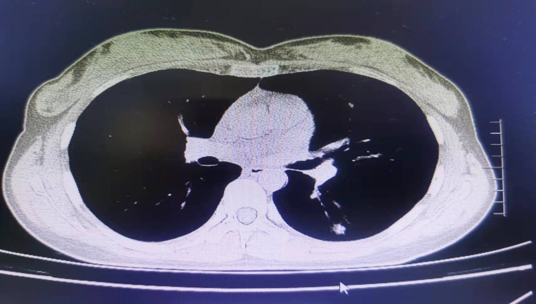
病例二:张X,女,27岁,未婚,体检发现左下肺结节半天就诊于 2022年6月28日 。查体:生命体征正常,一般良好。锁骨上的淋巴结不大。胸部CT见左肺下叶背段结节,大小约1cm*0.8cm,内见支气管截断样改变(见图),经过几位专家仔细认真讨论,认为该病人感染性病变可能性大,建议行抗炎治疗1-2周后再行复查。
该病人经抗炎治疗后结节明显缩小,考虑炎症的可能性大。

宜宾市第三人民医院肺小结节MDT专家团队是由胸外科、肿瘤科、呼吸与危重症学科、放射科副主任医师以上的专家组成,每周四下午定期举行会诊,对疑难肺小结节进行讨论,用顺畅的就诊流程、精益求精的医疗技术,为肺小结节患者提供更加精准的治疗方案。