
头痛欲吐是生活中很常见的临床症状,比如在感冒发热的时候你可能会有头痛欲吐的感觉,比如在偏头痛发作时你可能会头痛欲吐的感觉,比如在醉酒时你也可能会有头痛欲吐的感觉。
但是,如果是毫无征兆的突然出现了头痛欲吐呢?
有一天我接连诊治了三位这样的病人,虽然他们的病情有着某些共同点,但是结果却完全不一样。
我们需要知道的是,人体是一整套非常复杂的运转程序,相同的疾病在不同的人身上会有不同的症状,而相同的症状在不同的病患身上则完全有可能是风马牛不相及的疾病。

第一位患者是一位70岁的老太太,老人家是被子女搀扶着走进诊室的,她毫无章法的向我描述自己的病情:“从上午九点钟就突然开始出现头痛,一直想吐,但是却始终吐不出来,而且行走不稳。”
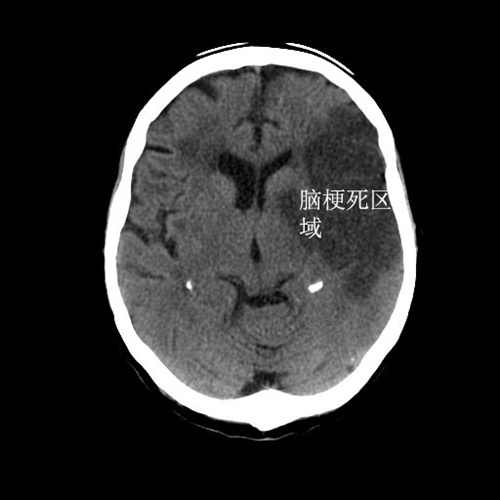
看着这位既往患有20年高血压,现在血压为160/90mmHg的老人,我非常担心会不会是急性脑梗死或者脑出血。不仅是因为老人上一次脑梗塞时也是同样的症状,更加是因为老人已经开始出现右侧肢体肌力下降!
最后检查结果果然提示导致老人出现头痛欲吐的罪魁祸首:脑梗塞!最后这位老人住进了神经内科病房,经过十余天的治疗后康复出院!
在这位老人之后,我又遇见了一位年仅30岁的男性患者。他同样对我说:“我现在头痛难忍,感觉脑袋很胀,而且吐了两次!”。
“以前有过这样的头痛吗?”我问道。
患者回答:“以前从来没有过头痛,这一次也是突然发生的,不仅痛,而且觉得发胀!”

这位年轻的患者既往没有任何慢性病史,近期也没有头部外伤史,更加没有醉酒、发热等情况发生。
“还是去做一个头颅CT吧?”我是这么建议患者的,但是患者却有些顾虑:“我最近在备孕,做CT有影响吗?”
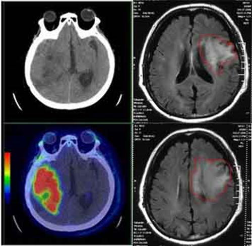
CT虽然有些辐射,但是现在头痛难忍的情况更加紧急!最终头颅CT揭示了答案:脑部胶质瘤!
在患者的大脑里不仅存在着一个可能是胶质瘤的东西,而且已经出现了脑水肿,所以患者才会突然出现头痛呕吐!
最后这位脑胶质瘤患者住进了脑外科病房,在经历过一系列手术等治疗后同样康复出院!
但是,当天的最后一位患者却没有如此幸运。

这是一位36岁的年轻女性患者,因为头痛难忍1小时被120送入抢救室。根据患者的同事介绍,患者在1个小时前休息时突然发生剧烈的头痛,面色苍白,呕吐数次。开始大家以为是常见的偏头痛,直到患者不能言语后才慌慌张张的将其送进医院!
送进医院的时候,患者的病情已经相当严重,她两侧的瞳孔已经不等大,而且对光反射很弱!立刻完善了头颅CT等检查,结果却是蛛网膜下腔出血!
直到现在,这位被同事认为只是偏头痛的患者已经住在重症监护病房里,虽然花费了很多费用,但是依旧生死未卜!
其实在生活中我们面对这种头痛欲吐,特别是没有明显诱因的头痛欲吐,我们往往不会重视。我们会认为自己年轻体壮而放纵危险的存在,我们会因为自己既往没有任何病史而放任疾病的发展。
最大的悲剧就是,和那就经常因为头痛欲吐就诊的老人相比,年轻人更加不重视自己的疾病,病情也更加严重、更加迅猛!
让更多人了解更多一点!
我的微信公众号:最后一支多巴胺