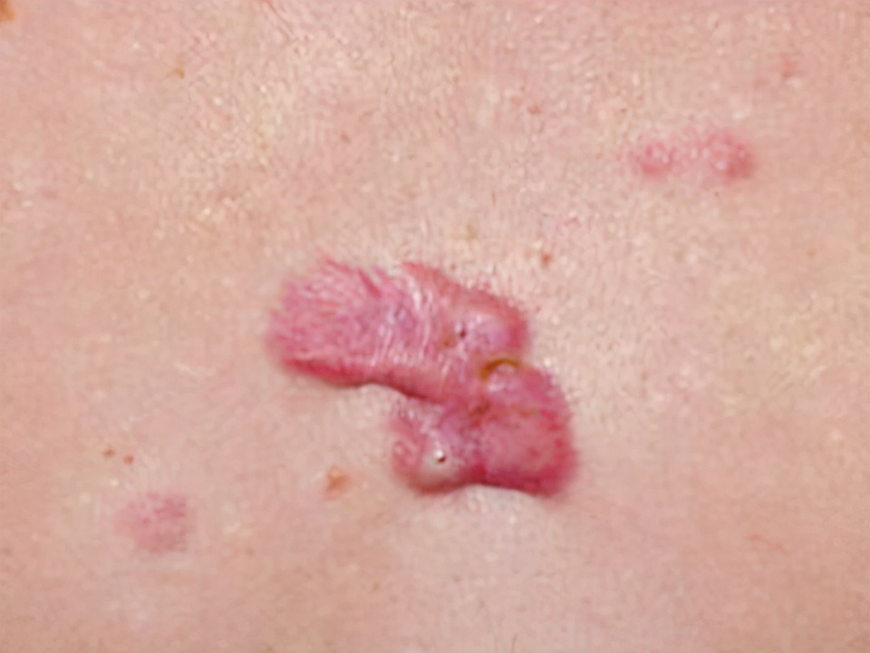
疤痕疙瘩是病理性疤痕的一种,严重创伤、皮肤张力、炎症感染、免疫和遗传等都是可能引起疤痕疙瘩的因素。那为什么胸口的疤痕疙瘩会越长越大呢?应该如何去治疗呢?

胸前疤痕疙瘩越长越大一个重要的原因就是目前一些不当的除疤手段和方法造成的,胸前疤痕部位组织细胞比较敏感,使用外部切除或磨削的方法虽然可以祛除疤痕增生部位的疤痕,但却丝毫阻止不了疤痕细胞的蔓延,在外部手术的刺激下,疤痕相反会报复性生长,致使胸前疤痕疙瘩越长越大。另一个原因就是由于疤痕体质所引起的疤痕疙瘩,疤痕体质的人因为蚊子的叮咬就会产生增生性疤痕疙瘩,如不及时治疗,疤痕面积就会越来越大。

那胸口瘢痕疙瘩越长越大要怎么办呢?
治疗胸口疤痕疙瘩这一种疾病的方法比较多,但是我们大家都应该要知道,采用手术切除胸口疤痕疙瘩这一种方法其实是很容易就会再次复发的,而且在复发之后,患病会发现患处比起以往还会有所增大。所以要多种方法联合治疗,在手术切除后结合激光,浅层放射一起,这样才能够取得一个比较理想的效果。

温馨提示:
1.在治疗期间要注意,不要吃辛辣,刺激的食物。
2.疤痕结痂属于正常现象,千万不要性急用手去撕动,要让它自然脱落。
3.还有一点,可以多吃些海带,因为海带能改善疤痕的体质和组织, 运输营养,滋润皮肤。