一、急性根尖周炎
1.急性浆液性根尖周炎
病理及临床:牙周膜充血,牙骨质和牙槽骨无明显改变。患牙伸长,叩痛明显。
X线表现:根尖区牙周膜间隙略有增宽。
2.急性化脓性根尖周炎
病理及临床:牙周膜渗出物增多,白细胞坏死溶解形成脓液。症状明显,有自发性、持续性搏动性疼痛,叩痛明显。
X线表现:根尖部不规则,小区域的透射影,边界不整齐,范围局限。
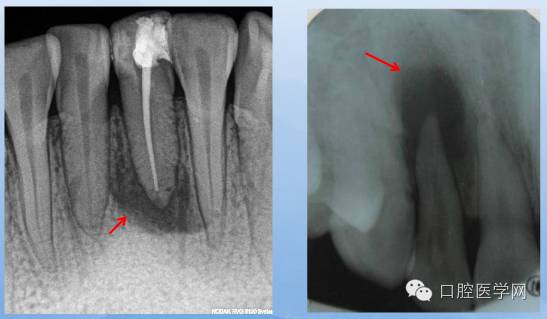
二、慢性根尖周炎
1.慢性根尖脓肿

病理及临床:根尖部脓液被纤维组织包围,或由根尖肉芽肿得中央细胞坏死、液化形成。多无自觉症状,时有龈瘘。
X线表现:根尖区边界不清楚但不锐利的透射区,密度不规则。
2.根尖肉芽肿

病理及临床:致密的结缔组织包绕根尖的肉芽组织。常无症状,咬合无力,牙伸长感。
X线表现:范围较小,周界清晰,无致密骨壁线。
3.根尖囊肿

病理及临床:囊肿内棕黄色液体,常含胆固醇结晶。早期无症状,囊肿长大使骨皮质变薄,可扪及乒乓感,明显增大可致骨质完全吸收,扪及波动感。
X线表现:可见病原牙,透射区边界清晰锐利,边缘有致密的骨硬板。


鉴别
根尖脓肿 根尖囊肿 根尖肉芽肿 密度 不均匀 均匀 较均匀 边界 较清楚 清楚且锐利 清楚 形态 不规则 规则 较规则 大小 可大可小 比较大 <=1cm
周界 骨质增生很慢,边界不清 有骨硬板产生 边界无骨硬板形成
致密性骨炎
临床表现:好发于年青人,常见下颌第一磨牙,常有大龋坏,无症状。
X线表现:骨小粱增粗、变密,骨髓腔变窄、消失;
硬化区与正常组织无明显分界;
牙周膜间隙增宽,根尖无增粗。
牙骨质增生
临床表现:多无症状,发现于拔牙困难或X片
X线表现:牙根粗大;牙周膜间隙变窄或消失。
牙骨质结构不良
临床表现:好发于20岁以上女性,好发于下颌切牙的根尖部位。
X线表现:
早期:边界清楚、累及多个牙
第二期:骨质破坏区可见点状或团状钙化影
第三期:根尖区界限清楚、高致密度钙化影,牙周膜间隙及骨硬板清楚。
转自口腔医网