胸腰椎压缩骨折 选择何种治疗方式好?
针对这个疑问
首先我们来了解一下
什么是胸腰椎压缩骨折?

胸腰椎压缩性骨折,古称“腰骨损断” ,是指以椎体纵向高度被“压扁”为主要表现的一种脊柱骨折,也是脊柱骨折中最多见的一种类型。临床多以第11、12胸椎和第1、2腰椎最为多见, 老年人由于骨质疏松的缘故,发生率更高。


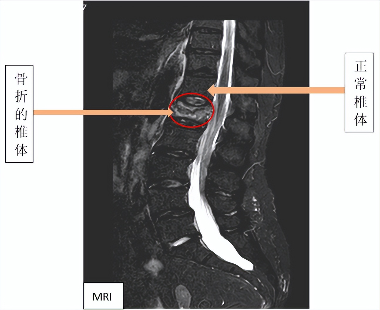
胸腰椎压缩性骨折如何诊断?
病史
有骨质疏松病史或轻微外伤史(如咳嗽、打喷嚏等)。
症状
可出现局部疼痛,活动受限、翻身困难、无法站立,还可能出现身高变矮或驼背畸形等表现。
体征
胸腰部活动受限,骨折责任椎体压痛、叩击痛,部分患者伴有神经受损。
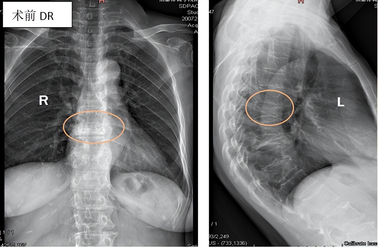
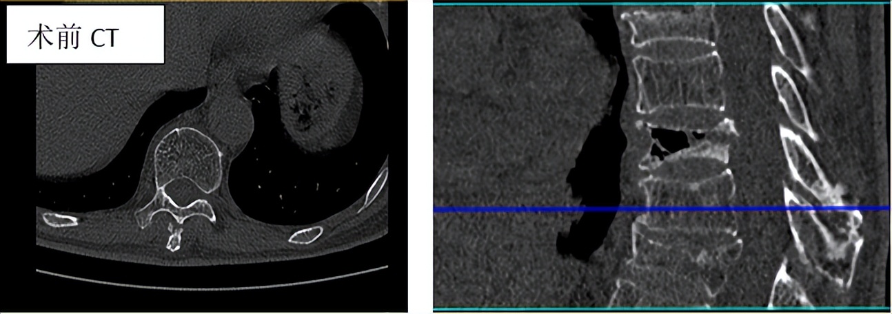
影像学检查
常用的有X线、CT、MRI、骨扫描。


治疗方式有哪些?
非手术治疗
非手术治疗适用于症状及体征较轻,椎体稳定性好,无椎管狭窄、脊髓及神经受压症状,疼痛不明显,影像学检查为轻度压缩骨折,全身状态差不能耐受手术者,以及拒绝手术者。

卧床休息 :非手术治疗行手法复位后,主张绝对卧床休息4-6周,卧床期间加强护理,预防便秘、褥疮、肺炎、静脉血栓、泌尿系结石等卧床并发症。

中西医结合治疗 :早期活血化瘀止痛、预防并发症,中期接骨续筋,后期补益肝肾等综合治疗。方法较多,常用的有针灸、手法、中频、熏药等。


腰背肌功能锻炼 :疼痛缓解后适当进行功能锻炼,治疗4-6周后佩戴支具下床活动。
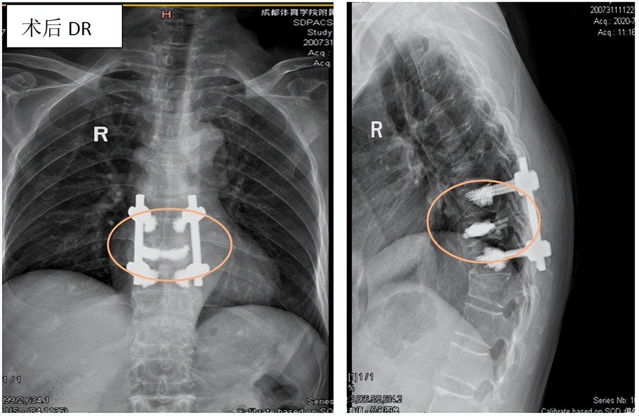
手术治疗
经过详细检查后,有明确手术指征者可行手术治疗。

※微创手术治疗

经皮椎体成形术(PVP) :通过向病变椎体内注入骨水泥达到强化椎体的技术。适用于非手术治疗无效、疼痛明显;不宜长时间卧床者;骨折不愈合或内部囊性病变、椎体坏死;能耐受手术者。


经皮椎体后凸成形术(PKP) :主要适用于出现后凸畸形的患者,在经皮椎体成形术的基础上,先将球囊输送到塌陷的椎体,将椎体撑高,再注入骨水泥。这样有助于椎体高度的恢复,矫正后凸畸形。


※开放手术

椎弓根钉-棒系统内固定 :主要适用于严重后凸畸形需要截除椎骨矫正,椎体后缘骨块碎裂后压迫脊髓,神经损伤症状、体征显著,以及不稳定椎体骨折患者。





药物治疗

消炎止痛药 :如双氯芬酸钠、美洛昔康等,以及外用药,以消除局部炎症,缓解疼痛。

对于骨质疏松性压缩骨折的患者,应抗骨折疏松治疗,常用药:
① 基础用药 :钙剂、维生素D
② 抑制破骨类药物 :双膦酸盐类
口服药:阿仑磷酸钠
注射药:唑来膦酸注射液;地舒单抗注射液
③ 促成骨生长类药物 :降钙素类:(注射药:鲑鱼降钙素注射液;外用药:鲑鱼降钙素喷鼻剂);特立帕肽注射液
④ 中成药 :骨疏康颗粒、腰痹通胶囊等

哪种治疗方式好呢?

非手术治疗
容易被患者接受, 但存在以下问题 :卧床期间可能并发褥疮、深静脉血栓、肺部感染、尿路感染、结石等并发症,甚至危及生命。

手术治疗
对于6周以内的胸腰椎骨质疏松骨折,是否需要手术,医生们多采用OTLICS(西安红会医院标准)评分作为参考:

注:OTLICS评分≤3分,一般采取非手术治疗;=4分,手术非手术均可;≥5分,建议采取手术治疗。
※微创手术治疗 :经皮穿刺无需开放手术,创伤小、操作简便、将穿刺针插入椎体即可;安全性高;疗效肯定,术后即刻或几天内腰背痛症状明显减轻或消失。尤其适合内科并发症多、不宜长期卧床的老年患者。
※开放手术治疗 :切开复位、经椎弓根螺钉内固定术,复位效果较好,可以矫正后凸畸形并增强脊柱稳定性。但手术创伤相对较大,恢复相对较慢。

具体选择何种治疗方式,还应及时到医院,由医生进行全面评估后再决定治疗方案。
