2020年10月12日,广东省人民医院迎来一位“特殊”的病人。病人是位68岁女性,初步诊断为二叶瓣畸形,主动脉瓣重度狭窄合并轻度二尖瓣反流。考虑到患者病情复杂,后续仍然存在冠脉介入治疗可能性,广东省人民医院罗建方教授团队共同讨论后,将目光移向了2020年6月通过国家药品监督管理总局(NMPA)批准上市的SAPIEN 3经导管主动脉瓣膜系统。
广东省人民医院心脏团队的这一想法是非常“大胆”的决定,与在国内已经广泛使用的自膨式TAVR瓣膜不同,SAPIEN 3瓣膜采用了球囊扩张式技术,为应对复杂且差异化大的心脏解剖结构提供了一种全新的选择。
尽管国际上SAPIEN 3瓣膜拥有丰富的二叶瓣治疗临床数据,然而在国内,本次手术是SAPIEN 3瓣膜成功植入的第一个Type 0二叶瓣病例,实现了“0”的突破。
“将才不打无准备之仗”,广东省人民医院心脏团队在术前做好了周密的准备,与临床专家面对面探讨球扩式瓣膜的相关事宜,力求术中做到“万无一失”。这场手术初期非常顺利,在瓣膜植入释放的关键过程中,患者出现紧急情况命悬一线。也正是得益于术者团队充分的术前准备,以及精湛高深的手术技巧和临危不乱、胸有成竹的气度,成功挽救了患者的生命。

广东省医心脏团队
患者情况
病例特点
基本情况:68岁,女性
现病史:患者3年前开始出现活动后胸闷,位于心前区,伴心悸,无胸痛,无气促,休息约5分钟后可缓解,无咳嗽咳痰,无夜间阵发性呼吸困难,至当地医院就诊,查心脏彩超示:中度主动脉瓣狭窄。予药物治疗后症状好转,但仍反复出现。1月前复查心脏彩超示:主动脉瓣重度狭窄(具体未见报告)。在广东省人民医院南海医院就诊,予药物抗心衰治疗。今为进一步诊治收入我科。发病以来,患者精神、胃纳、睡眠尚可,大小便正常,近期体重无明显变化。
既往史:无特殊。
入院体检:T:36.2℃,P:88次/分,R:18次/分,BP:104/74mmHg,体重:46kg,身高:154cm。双肺呼吸音正常,未闻及干湿啰音,心律齐,心率88次/分,心音正常,可闻及主动脉瓣区收缩期3/6级喷射样杂音,未闻及心包摩擦音。腹软,全腹无压痛,肝脾肋下无触及,移动性浊音阴性。双下肢无水肿。
术前评估
血化验:NT-proBNP 1349pg/mL,肌酐49.90umol/L。
心超:

主动脉瓣峰值流速5.8m/s,平均跨瓣压差80mmHg,峰值跨瓣压差134mmHg。
主动脉瓣返流,彩束面积:2.0cm²。
二尖瓣返流,彩束面积:1.0cm²。
左室舒张末内径39mm ,左室射血分数 61%。
CT:
主动脉瓣Type 0型二叶瓣,瓣叶瓣缘结节样增厚伴中度钙化,开放受限。冠脉高度可。法式窦结构可,心脏角度约52°,左室较小,升主动脉未见明显扩张,右股动脉直径大于5.5mm,可作为主入路。患者为中度钙化的,重度主动脉瓣狭窄,呈鱼嘴型,结合主动脉根部结构,考虑植入Sapien 3瓣膜。


主动脉瓣环

左室流出道

法式窦

窦管结合部

升主动脉

左冠高度

右冠高度

钙化情况

心脏角度

入路情况
手术过程
患者穿刺左侧股动脉成功,置入6F血管鞘,沿泥鳅导丝送6F JR4.0造影管至右侧髂总动脉,造影明确右侧股动脉穿刺点,成功穿刺右侧股动脉,植入6F血管鞘,血管鞘内给予肝素3000u。
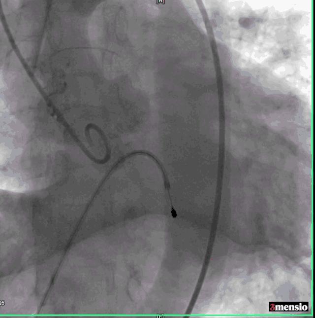
左侧穿刺股静脉,植入6F血管鞘,预留临时起搏器。追加肝素3000u,右侧预留2把ProGlide缝合器,并更换8F血管鞘。左侧股动脉经泥鳅送6F猪尾导管到升主动脉,行主动脉根部造影示主动脉瓣钙化,重度狭窄。

第一次造影
右侧股动脉鞘经Amplatz Super Stiff导丝引导更换为14F 导引鞘,经右侧股动脉用直头导丝带AL2造影管至升主动脉,在直头导丝引导下成功跨越主动脉瓣。
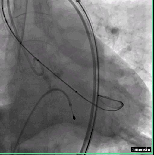
交换Amplatz Super Stiff导丝,再送猪尾导管至左心室,测量左室压力142/6mmHg,升主动脉压力254/58mmHg,跨瓣压差112mmHg,交换Amplatz Super Stiff导丝至左室,撤出猪尾导管,在临时起搏器控制性降压下用20mm球囊扩张主动脉瓣。

球囊扩张
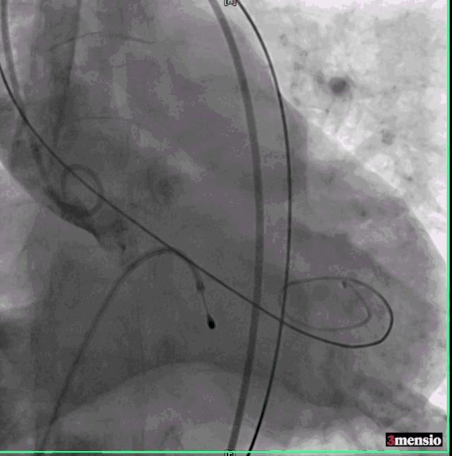
危险在此时发生了,球囊扩张后,患者出现血压下降,造影发现钙化的瓣膜扩开后出现大量反流,手术团队当即决定马上植入已经预装好的23号瓣膜,且因为预扩张球囊的反馈情况,把原有定额17ml减少2ml至15ml,成功跨瓣后精确定位并在临时起搏器180次/分起搏控制血压下于高位释放,过程顺利。

球囊扩张后重度返流

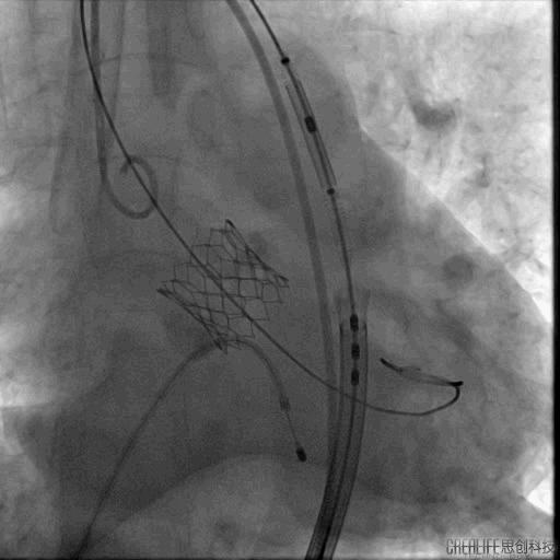
瓣膜定位

瓣膜释放
然而瓣膜释放后患者出现室颤,再次面临命悬一线的险境,术者团队处危不惊,快速予以除颤处理,患者成功恢复为窦性心律,转危为安。
复查造影示轻度主动脉瓣返流,同时行床边经食道心脏彩超,未见明显瓣周漏,瓣膜功能良好。升主动脉压力156/92mmHg,跨瓣压差<10mmHg。患者生命体征平稳,送返病房,密切监测生命体征变化。

最后造影
术后总结
手术宣告圆满成功的那一刻,导管室内的众人都长舒了一口气,紧随而来的就是激动的心情,手术的成功预示着使用SAPIEN 3瓣膜行TAVR治疗二叶瓣患者有了强而有力的实践依据,也为更多的心脏介入术者提供了宝贵的经验借鉴。
罗建方教授在术后也为大家总结出了这场手术的要点:
- SAPIEN 3瓣膜瓣架为钴铬合金,相对现有自展瓣有更强的径向支撑力,对于type0的二叶瓣能更好地维持一个圆形,有利于植入瓣叶正常开合功能,带来更好的长期预后;
- SAPIEN 3瓣架高度较现有自展瓣短,主动脉端的网孔大,对于这位68岁的患者潜在后期冠脉介入治疗提供更有利的条件;
- 瓣架外裙缘设计能够更好地防止此类患者瓣周漏;
- 由于SAPIEN 3瓣膜可以通过球囊容积调整瓣架大小,让瓣膜更加适应患者的解剖结构;
- SAPIEN 3瓣膜在释放前明确定位后,释放的位置与预期高度 吻和 度高,出现位置偏移的几率非常小,为此病例精准释放提供可靠的保障。
罗建方教授同时也指出,尽管SAPIEN 3在此例TAVR有良好表现,但操作过程中必须要关注一些技术关键要领:
首先,SAPIEN 3瓣膜定位是基于输送系统的中心标记带与窦底共平面的相对位置,因此对瓣膜的对位以及对投照角度共平面的要求也比较高。
另外,SAPIEN 3瓣膜系统释放要求很高的稳定性,对临时起搏以及团队配合要求比较高,需要团队在明确指令下应用有效的快速起搏让血压低于50mmHg后,先缓慢释放瓣膜,待瓣架”腰”征出现后,快速完全释放。
罗建方教授最后表示,“SAPIEN 3瓣膜给中国心脏介入医生带来更多的选择和更多的思路,这对于中国整体瓣膜病治疗水平的提高非常重要。”#瓣膜病# #瓣膜# #心血管#