直结肠癌在我国发病率排在第三位,是常见多发肿瘤,结直肠癌根治手术后5年内肝脏转移率约为25%-50%。根据《NCCN2018版结肠癌-直肠癌指南》,外科治疗的原则转移瘤可切除和手术中局部治疗的标准,肝转移消融技术可单独应用或与切除相结合。超声引导下射频消融对结肠癌肝转移瘤的微创治疗, 已成为临床结肠癌肝转移治疗领域中不可缺少的技术。
病例分享
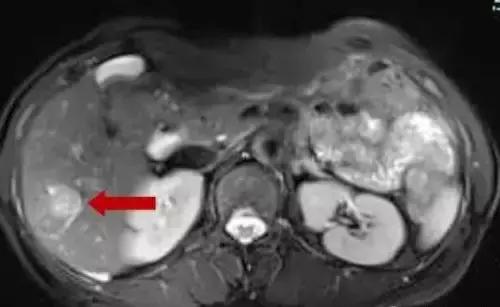
患者,女性,60岁,因反复右下腹疼痛3月,阵发性,可自行缓解,无呕吐,无发热,无胸闷、心悸,大便每日一次,无便血,无血尿,今我院肠镜检查提示:升结肠占位。门诊以“升结肠肿瘤”收治入院进一步诊治。入院后实验室检查:CEA:23.23ng/ml,行CE-MR和PET-CT均提示伴肝右叶后下段转移,大小约2cm。


肝右后叶转移灶
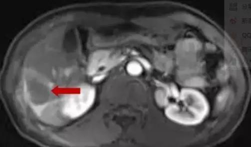
术前MDT讨论,拟行超声引导下肝转移瘤射频消融术+腹腔镜下右半结肠癌根治术。在超声引导下肝转移射频消融术前讨论,考虑肝内转移病灶临近肝包膜下,病灶边缘可见肝右静脉及其分支环绕,拟行双针多点重叠消融,术中遵循消融范围至少≥癌周1cm,先深后浅原则,先沿肝静脉布针,两针间距不超过2cm。
视频加载中...
布针及射频消融
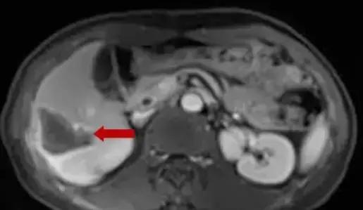
术后50天复查CE-MR,肝转移瘤消融后病灶未见明显活性。


转移性肝癌RFA适应证
1、肝内单发转移癌<5cm;
2、肝内多发转移癌,肿瘤数目≤3个,最大灶≤3cm;
3、多发转移灶数目4-6个,肿瘤最大灶≤3cm者可酌情分批分期治疗或者联合其他方法治疗;
4、肿瘤RFA治疗后复发灶重复治疗。
转移性肝癌RFA禁忌证
1、不能控制的广泛转移;
2、肿瘤负荷≥全肝70%,不能控制原发瘤;
3、肿瘤范围>5cm、呈多结节浸润状并侵及大血管;
4、位于肝脏脏面>4cm且1/3以上瘤体突出肝表面,肝尾状叶较大肿瘤;
5、明显重要脏器功能衰竭;
6、活动性感染。
在结肠癌伴有肝转移联合治疗中,超声引导下肝转移瘤射频消融术可以达到原发病灶和转移瘤一期切除的目的,超声引导射频治疗肝转移癌是一种有效的微创手段, 与手术相比其优势是创伤小, 治疗周期短, 可反复治疗,并可保存更多的正常肝组织,对肿瘤分化好、直径≤3cm,且无复发转移的肝转移癌有较好的远期疗效。
温馨提示:有关肿瘤问题可以点击左下方“了解更多”或私信免费咨询,平时身体有其他不适的话,都可以咨询我。↓↓↓